ISO 9001:2015 Certified
Live Customer Support
4.5/5 on Trustpilot
100% Quality Guarantee

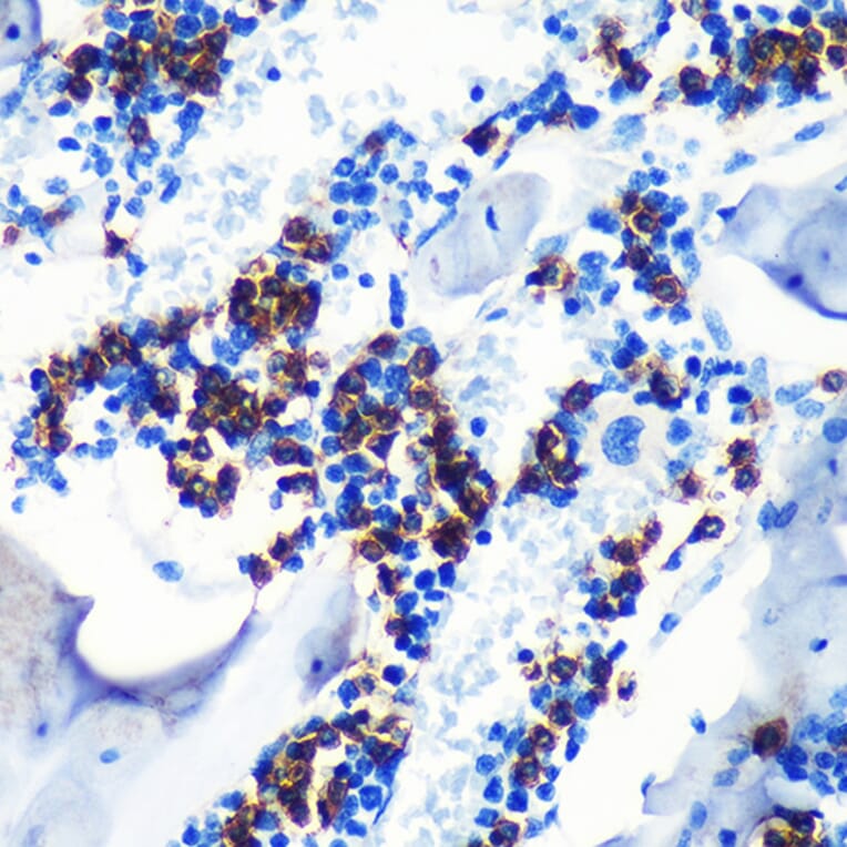
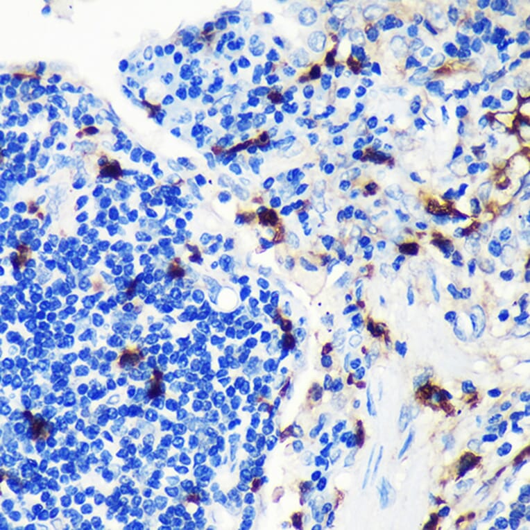
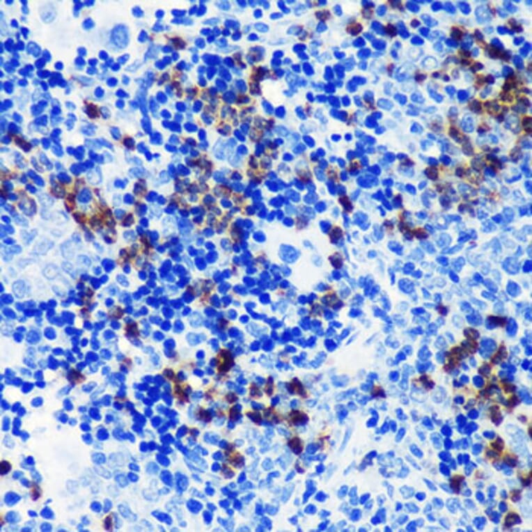
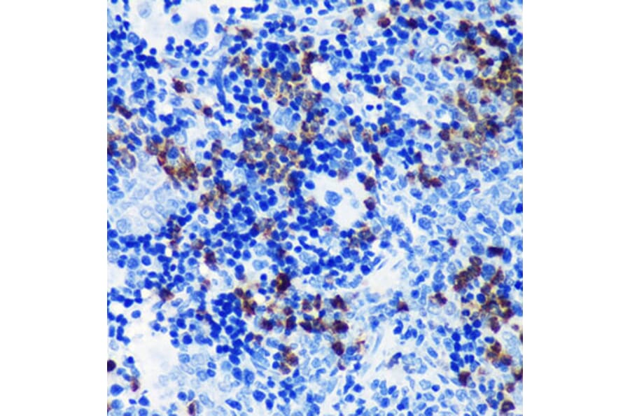
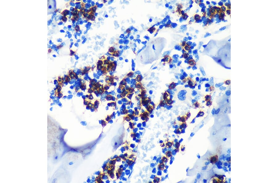
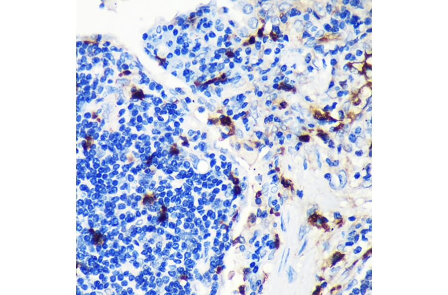
Anti-MRP8 Antibody [ARC0478] (A307526)

Rabbit monoclonal [ARC0478] antibody to MRP8 for WB and IHC.

Shipping Information

$40
Dispatched from St. Louis, MO.
Lead Time: 7-10 business days.
Name
Anti-MRP8 Antibody [ARC0478]
Description
Rabbit monoclonal [ARC0478] antibody to MRP8.
Applications
WB, IHC
Dilutions
WB: 1:500-1:1,000, IHC: 1:50-1:200
Reactivity
Human, Mouse, Rat
Immunogen
A synthetic peptide corresponding to a sequence within amino acids 1-93 of human S100A8 (P05109).
Sequence
MLTELEKALNSIIDVYHKYSLIKGNFHAVYRDDLKKLLETECPQYIRKKGADVWFKELDINTDGAVNFQEFLILVIKMGVAAHKKSHEESHKE
Host
Rabbit
Clonality
Monoclonal
Clone ID
ARC0478
Isotype
IgG
Conjugate

Unconjugated

Purification
Affinity purification.
Concentration
Lot Specific
Molecular Weight
10 kDa
Product Form
Liquid
Formulation
Supplied in Phosphate Buffered Saline, pH 7.3, with 50% Glycerol, 0.05% BSA, and 0.02% Sodium Azide.
Storage
Shipped at 4°C. Upon delivery aliquot and store at -20°C. Avoid freeze/thaw cycles.
Synonyms
60B8Ag, AI323541, B8Ag, BEE11, CAGA, Calgranulin-A, Calprotectin L1L subunit, Calprotectin, included, CFAG, CGLA, Chemotactic cytokine CP-10, CP-10, Cystic fibrosis antigen, L1Ag, Leukocyte L1 complex light chain, MA387, MIF, Migration inhibitory factor-related protein 8, MRP-8, Myeloid-related protein 8, Neutrophil cytosolic 7 kDa protein, NIF, p8, Pro-inflammatory S100 cytokine, Protein S100-A8, S100 calcium binding protein A8, S100 calcium binding protein A8 (calgranulin A), S100 calcium-binding protein A8, S100A8, S100A8/S100A9 complex, included, S10A8_HUMAN, Urinary stone protein band A
Disclaimer
This product is for research use only. It is not intended for diagnostic or therapeutic use.
Publishing research using Anti-MRP8 Antibody [ARC0478] (A307526)? Please let us know so that we can list the citation on this page.

Alternative products to Anti-MRP8 Antibody [ARC0478] (A307526)