ISO 9001:2015 Certified
Live Customer Support
4.5/5 on Trustpilot
100% Quality Guarantee

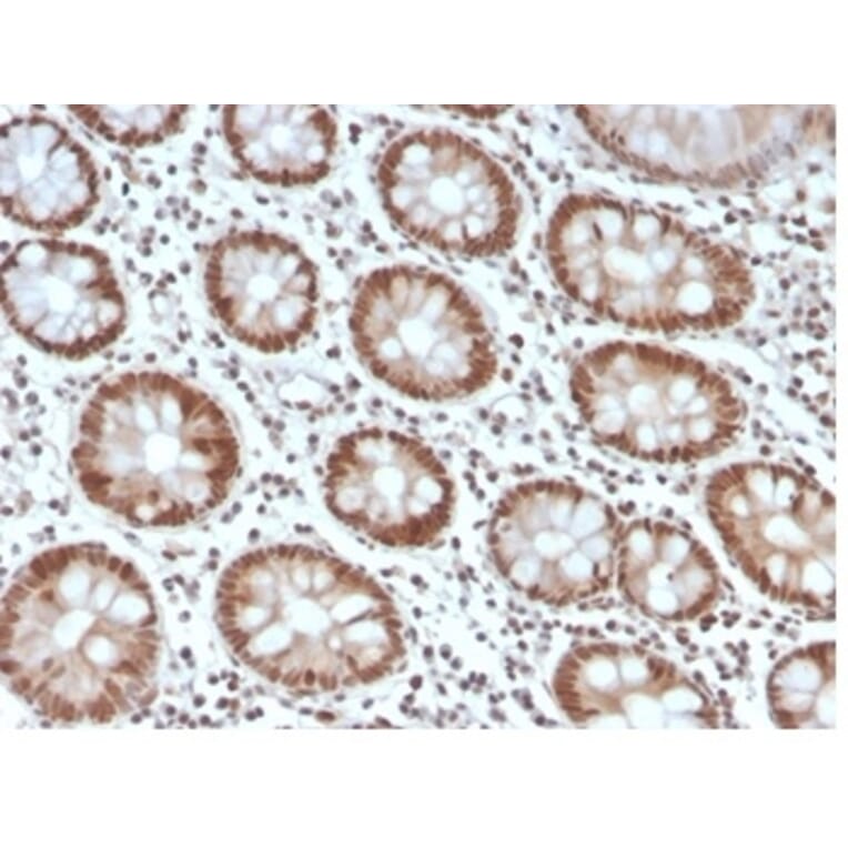
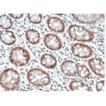
Recombinant Anti-MSH6 Antibody [MSH6/4592R] - BSA and Azide free (A278580)

Recombinant rabbit monoclonal [MSH6/4592R] antibody to MSH6 for ELISA, WB and IHC-P.

Alternative Formats and ConjugatesAlternative Formats

Shipping Information

$40
Dispatched from St. Louis, MO.
Lead Time: 5-8 business days.
Name
Anti-MSH6 Antibody [MSH6/4592R] - BSA and Azide free
Description
Recombinant rabbit monoclonal [MSH6/4592R] antibody to MSH6.
Specificity
The finding that mutations in DNA mismatch repair genes are associated with hereditary nonpolyposis colorectal cancer (HNPCC) has resulted in considerable interest in the understanding of the mechanism of DNA mismatch repair. Initially, inherited mutations in the MSH2 and MLH1 homologs of the bacterial DNA mismatch repair genes mutS and mutL were demonstrated at high frequency in HNPCC and were shown to be associated with microsatellite instability. A member of the mismatch repair family, GTBP (also designated MSH6), is an MSH2-related protein that binds to DNA containing G/T mismatches. Findings suggest that the mismatch-binding factor in human cells is composed of a heterodimer of GTBP and MSH2.
Applications
ELISA, WB, IHC-P
Dilutions
WB: 1-2 µg/ml, IHC-P: 1-2 µg/ml
Reactivity
Human
Immunogen
Recombinant fragment, around amino acids 374-540, of human MSH6 protein. The exact sequence is proprietary.
Host
Rabbit
Clonality
Monoclonal
Clone ID
MSH6/4592R
Isotype
IgG
Conjugate

Unconjugated

Purification
Protein A/G chromatography.
Concentration
1 mg/ml
Molecular Weight
163 kDa
Product Form
Liquid
Formulation
Supplied in 10mM Phosphate Buffered Saline; without Sodium Azide and carrier free.
Storage
Shipped at 4°C. Upon delivery aliquot and store at -20°C. Avoid freeze / thaw cycles.
General Notes
This monoclonal antibody is also available in a different formulation with BSA and Sodium Azide - Anti-MSH6 Antibody [MSH6/4592R] (A277992).
Synonyms
DNA mismatch repair protein Msh6, G/T mismatch-binding protein, GTBP, GTMBP, hMSH6, MutS protein homolog 6, MutS-alpha 160 kDa subunit, p160
Disclaimer
This product is for research use only. It is not intended for diagnostic or therapeutic use.
Publishing research using Recombinant Anti-MSH6 Antibody [MSH6/4592R] - BSA and Azide free (A278580)? Please let us know so that we can list the citation on this page.

Alternative products to Anti-MSH6 Antibody [MSH6/4592R] - BSA and Azide free (A278580)

Proteins predicted to interact with MSH6

Predicted protein interactions based upon String database. Revelancy score correlates with probability of interaction.
99.9% Relevancy Score
99.9% Relevancy Score
99.9% Relevancy Score
99.9% Relevancy Score
99.9% Relevancy Score
99.9% Relevancy Score
99.9% Relevancy Score
99.8% Relevancy Score
99.6% Relevancy Score