Primary Antibodies
Secondary Antibodies
Proteins & Peptides
ELISA Kits
About Us
Contact Us
Sign In/Register
0
ISO 9001:2015 Certified
Live Customer Support
4.5/5 on Trustpilot
100% Quality Guarantee
Home
Primary Antibodies
Myostatin Antibodies
Anti-MSTN Antibody (A46840)
Anti-MSTN Antibody (A46840)
Overview
Specifications
Images
Enlarge Image
Enlarge Image
$430
Product Datasheet
Rabbit polyclonal antibody to MSTN for IHC.
100% Guarantee
Price Match Guarantee
Product Size:
100µl
Quantity:
1
2
3
4
5
6
7
8
9
10
Add To Cart
Request a Quotation
Custom or Bulk Request
Shipping Information
Freight/Packing Charges:
$40
Dispatched from St. Louis, MO.
Lead Time: 6-9 business days.
Specifications
Name
Anti-MSTN Antibody
Description
Rabbit polyclonal antibody to MSTN
Specificity
The antibody detects endogenous levels of total MSTN protein.
Applications
IHC
Reactivity
Human, Mouse, Rat
Immunogen
Synthetic peptide corresponding to a region derived from internal residues of human myostatin
Host
Rabbit
Clonality
Polyclonal
Conjugate
Unconjugated
Purification
Antigen affinity purification.
Concentration
0.3 mg/mL
Formulation
Supplied in PBS, pH 7.3, containing 0.05% sodium azide and 50% glycerol.
Storage
Shipped at 4°C. Upon delivery aliquot and store at -20°C. Avoid freeze/thaw cycles.
Synonyms
GDF-8, GDF8, Growth/differentiation factor 8
Suitable Secondaries
Goat Anti-Rabbit IgG H&L Antibody (AP) (A294874)
Goat Anti-Rabbit IgG H&L Antibody (Biotin) (A294795)
Goat Anti-Rabbit IgG H&L Antibody (FITC) (A294887)
Goat Anti-Rabbit IgG H&L Antibody (HRP) (A294888)
See all Anti-Rabbit IgG Secondaries →
Disclaimer
This product is for research use only. It is not intended for diagnostic or therapeutic use.
Scientific Validation Data
Validation Data
(2)
Enlarge Image
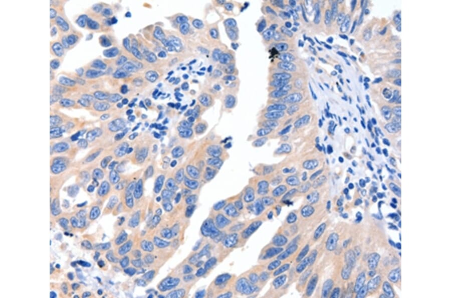
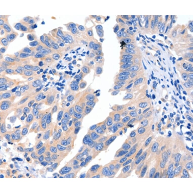
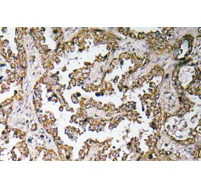
Immunohistochemistry - Anti-MSTN Antibody (A46840)
Immunohistochemical analysis of paraffin-embedded Human breast cancer tissue using #36897 at dilution 1/8.
Enlarge Image
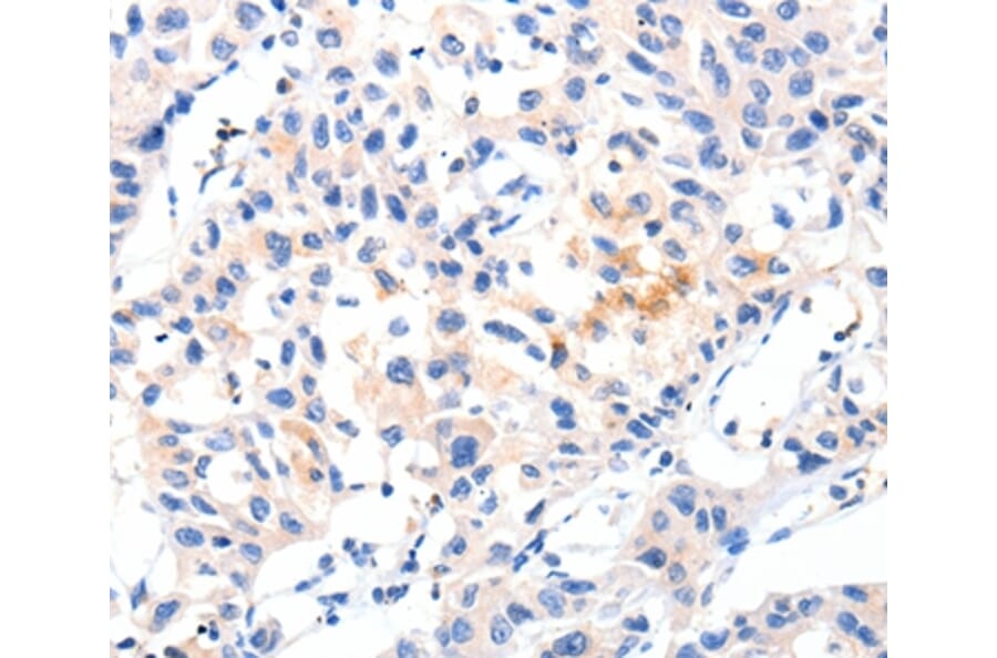
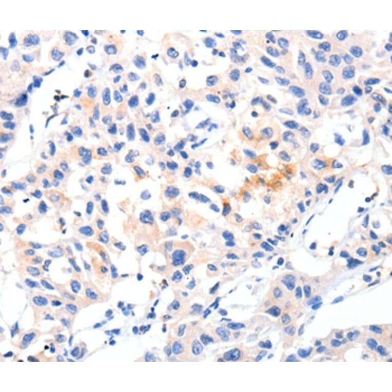
Immunohistochemistry - Anti-MSTN Antibody (A46840)
Immunohistochemical analysis of paraffin-embedded Human lung cancer tissue using #36897 at dilution 1/8.
Publishing research using Anti-MSTN Antibody (A46840)? Please
let us know
so that we can list the citation on this page.
Alternative products to Anti-MSTN Antibody (A46840)
(3)
A53150
Anti-GDF8 / Myostatin Antibody
Rabbit polyclonal antibody to GDF8 / Myostatin for ELISA, IHC, IP and WB.
(3)
A338775
Landogrozumab Biosimilar - Anti-Myostatin Antibody - BSA and Azide free
Humanized monoclonal antibody to Myostatin Research grade Landogrozumab biosimilar for ELISA, Flow Cytometry, Functional Studies and in vivo Research.
(2)
A338776
Trevogrumab Biosimilar - Anti-Myostatin Antibody - BSA and Azide free
Human monoclonal antibody to Myostatin Research grade Trevogrumab biosimilar for ELISA, Flow Cytometry, Functional Studies and in vivo Research.
(2)
A338777
Domagrozumab Biosimilar - Anti-Myostatin Antibody - BSA and Azide free
Humanized monoclonal antibody to Myostatin Research grade Domagrozumab biosimilar for ELISA, Flow Cytometry, Functional Studies and in vivo Research.
(2)
A338778
Stamulumab Biosimilar - Anti-Myostatin Antibody - BSA and Azide free
Human monoclonal antibody to Myostatin Research grade Stamulumab biosimilar for ELISA, Flow Cytometry, Functional Studies and in vivo Research.
A339245
Apitegromab Biosimilar - Anti-Myostatin Antibody - BSA and Azide free
Human monoclonal antibody to Myostatin Research grade Apitegromab biosimilar for ELISA, Flow Cytometry, Functional Studies and in vivo Research.
(2)
A339856
Ramatercept Biosimilar - Anti-Myostatin Antibody - BSA and Azide free
Antibody to Myostatin Research grade Ramatercept biosimilar for ELISA, Functional Studies and in vivo Research.
(2)
A339876
Efmitermant alfa Biosimilar - Anti-Myostatin Antibody - BSA and Azide free
Human antibody to Myostatin Research grade Efmitermant alfa biosimilar for ELISA, Functional Studies and in vivo Research.
A340893
Emugrobart Biosimilar - Anti-Myostatin Antibody - BSA and Azide free
Human monoclonal antibody to Myostatin Research grade emugrobart biosimilar for ELISA, Flow Cytometry, Functional Studies and in vivo Research.
A98867
Anti-Myostatin Proprotein Antibody
Rabbit polyclonal antibody to Myostatin Proprotein for IHC and ELISA.
A339875
Taldefgrobep alfa Biosimilar - Anti-Myostatin Antibody - BSA and Azide free
Human antibody to Myostatin Research grade Taldefgrobep alfa biosimilar for ELISA, Functional Studies and in vivo Research.
A248702
Anti-GDF8 Antibody [GDF9/4261]
Mouse monoclonal [GDF9/4261] antibody to GDF8 for ELISA and WB.
(3)
A53150
Anti-GDF8 / Myostatin Antibody
Rabbit polyclonal antibody to GDF8 / Myostatin for ELISA, IHC, IP and WB.
(3)
A338775
Landogrozumab Biosimilar - Anti-Myostatin Antibody - BSA and Azide free
Humanized monoclonal antibody to Myostatin Research grade Landogrozumab biosimilar for ELISA, Flow Cytometry, Functional Studies and in vivo Research.
(2)
A338776
Trevogrumab Biosimilar - Anti-Myostatin Antibody - BSA and Azide free
Human monoclonal antibody to Myostatin Research grade Trevogrumab biosimilar for ELISA, Flow Cytometry, Functional Studies and in vivo Research.
(2)
A338777
Domagrozumab Biosimilar - Anti-Myostatin Antibody - BSA and Azide free
Humanized monoclonal antibody to Myostatin Research grade Domagrozumab biosimilar for ELISA, Flow Cytometry, Functional Studies and in vivo Research.
(2)
A338778
Stamulumab Biosimilar - Anti-Myostatin Antibody - BSA and Azide free
Human monoclonal antibody to Myostatin Research grade Stamulumab biosimilar for ELISA, Flow Cytometry, Functional Studies and in vivo Research.
A339245
Apitegromab Biosimilar - Anti-Myostatin Antibody - BSA and Azide free
Human monoclonal antibody to Myostatin Research grade Apitegromab biosimilar for ELISA, Flow Cytometry, Functional Studies and in vivo Research.
(2)
A339856
Ramatercept Biosimilar - Anti-Myostatin Antibody - BSA and Azide free
Antibody to Myostatin Research grade Ramatercept biosimilar for ELISA, Functional Studies and in vivo Research.
(2)
A339876
Efmitermant alfa Biosimilar - Anti-Myostatin Antibody - BSA and Azide free
Human antibody to Myostatin Research grade Efmitermant alfa biosimilar for ELISA, Functional Studies and in vivo Research.
A340893
Emugrobart Biosimilar - Anti-Myostatin Antibody - BSA and Azide free
Human monoclonal antibody to Myostatin Research grade emugrobart biosimilar for ELISA, Flow Cytometry, Functional Studies and in vivo Research.
A98867
Anti-Myostatin Proprotein Antibody
Rabbit polyclonal antibody to Myostatin Proprotein for IHC and ELISA.
A339875
Taldefgrobep alfa Biosimilar - Anti-Myostatin Antibody - BSA and Azide free
Human antibody to Myostatin Research grade Taldefgrobep alfa biosimilar for ELISA, Functional Studies and in vivo Research.
A248702
Anti-GDF8 Antibody [GDF9/4261]
Mouse monoclonal [GDF9/4261] antibody to GDF8 for ELISA and WB.
See all MSTN Antibodies
Proteins predicted to interact with Myostatin
Predicted protein interactions based upon String database. Revelancy score correlates with probability of interaction.
Follistatin Antibodies
99.9% Relevancy Score
TGF beta Receptor I Antibodies
99.9% Relevancy Score
ACVR2B Antibodies
99.9% Relevancy Score
Activin Receptor Type IIA Antibodies
99.7% Relevancy Score
ALK-4 Antibodies
99.5% Relevancy Score
Smad2 Antibodies
91.5% Relevancy Score
Decorin Antibodies
88.7% Relevancy Score
MYF5 Antibodies
87.7% Relevancy Score
Fbx32 Antibodies
87.4% Relevancy Score
Top