ISO 9001:2015 Certified
Live Customer Support
4.5/5 on Trustpilot
100% Quality Guarantee

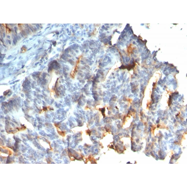
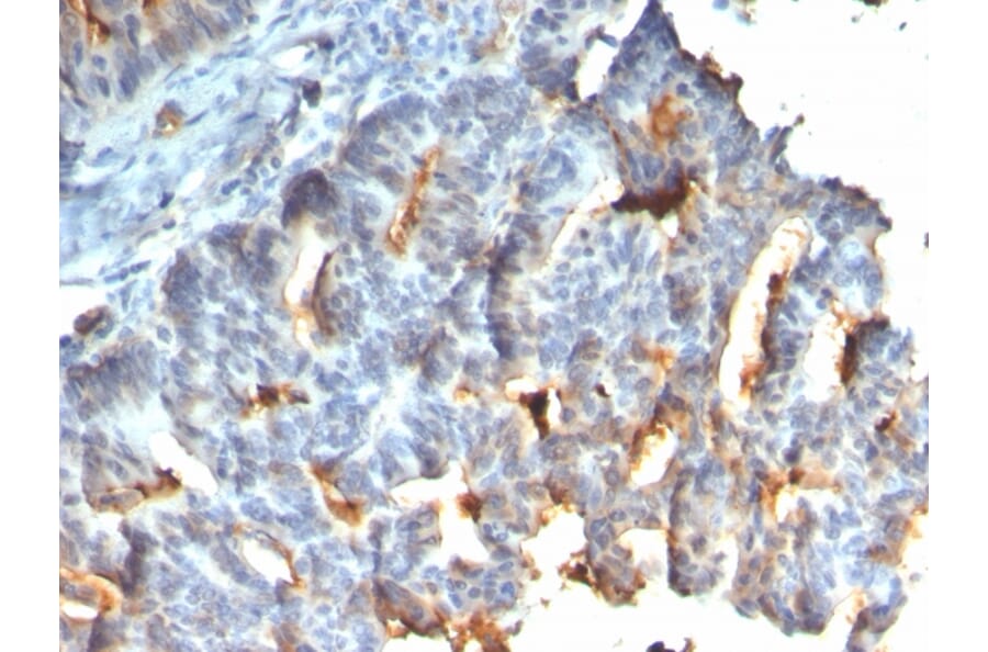
Recombinant Anti-MUC1 Antibody [rMUC1/955] - BSA and Azide free (A252582)

Recombinant mouse monoclonal [rMUC1/955] antibody to MUC1 for WB and IHC-P.

Alternative Formats and ConjugatesAlternative Formats

Shipping Information

$40
Dispatched from St. Louis, MO.
Lead Time: 5-8 business days.
Name
Anti-MUC1 Antibody [rMUC1/955] - BSA and Azide free
Description
Recombinant mouse monoclonal [rMUC1/955] antibody to MUC1.
Specificity
This antibody reacts with MUC1. The dominant epitope of This antibody has not yet been determined. MUC1 is a large cell surface mucin glycoprotein expressed by most glandular and ductal epithelial cells and some hematopoietic cell lineages. It is expressed on most secretory epithelium, including mammary gland and some hematopoietic cells. It is expressed abundantly in lactating mammary glands and over expressed abundantly in 90% breast carcinomas and metastases. Transgenic MUC1 has been shown to associate with all four c-erbB receptors and localize with c-erbB1 (EGFR) in lactating glands. The MUC1 gene contains seven exons and produces several different alternatively spliced variants. The major expressed form of MUC1 uses all seven exons and is a type 1 transmembrane protein with a large extracellular tandem repeat domain. The tandem repeat domain is highly O glycosylated and alterations in glycosylation have been shown in epithelial cancer cells. Antibody to EMA is useful as a pan-epithelial marker for detecting early metastatic loci of carcinoma in bone marrow or liver.
Applications
WB, IHC-P
Dilutions
WB: 1-2 µg/ml, IHC-P: 0.5-1 µg/ml
Reactivity
Human, Mouse
Immunogen
Recombinant full-length human MUC1 protein.
Host
Mouse
Clonality
Monoclonal
Clone ID
rMUC1/955
Isotype
IgG1
Light Chains
kappa
Conjugate

Unconjugated

Purification
Protein A/G chromatography.
Concentration
1 mg/ml
Molecular Weight
265-400 kDa
Product Form
Liquid
Formulation
Supplied in 10mM Phosphate Buffered Saline; without Sodium Azide and carrier free.
Storage
Shipped at 4°C. Upon delivery aliquot and store at -20°C. Avoid freeze / thaw cycles.
General Notes
This monoclonal antibody is also available in a different formulation with BSA and Sodium Azide - Anti-MUC1 Antibody [rMUC1/955] (A249402).
Synonyms
Breast carcinoma-associated antigen DF3, CA 15-3, Cancer antigen 15-3, Carcinoma-associated mucin, CD227, Episialin, H23AG, MUC-1, Mucin-1, PUM
Disclaimer
This product is for research use only. It is not intended for diagnostic or therapeutic use.
Publishing research using Recombinant Anti-MUC1 Antibody [rMUC1/955] - BSA and Azide free (A252582)? Please let us know so that we can list the citation on this page.

Alternative products to Anti-MUC1 Antibody [rMUC1/955] - BSA and Azide free (A252582)

Proteins predicted to interact with MUC1

Predicted protein interactions based upon String database. Revelancy score correlates with probability of interaction.
99.9% Relevancy Score
99.8% Relevancy Score
99.5% Relevancy Score
99.4% Relevancy Score
99.3% Relevancy Score
99% Relevancy Score
98.7% Relevancy Score
98.2% Relevancy Score
97.9% Relevancy Score