ISO 9001:2015 Certified
Live Customer Support
4.5/5 on Trustpilot
100% Quality Guarantee

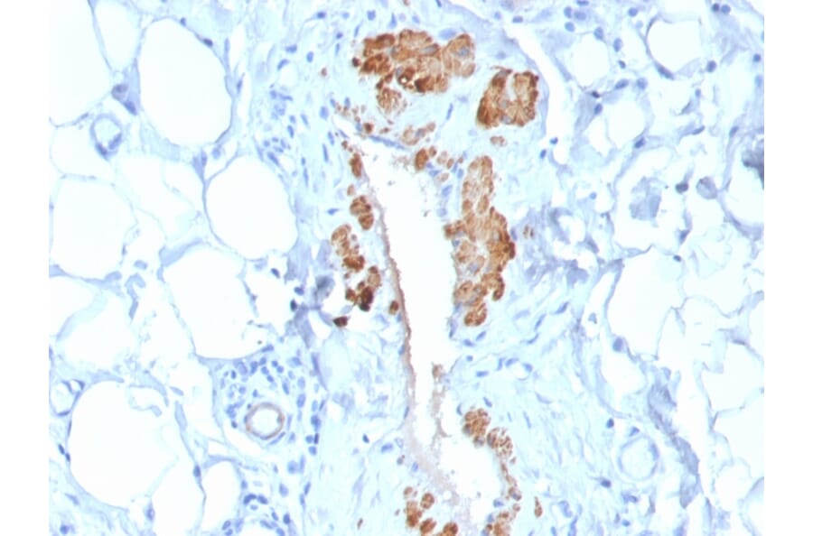
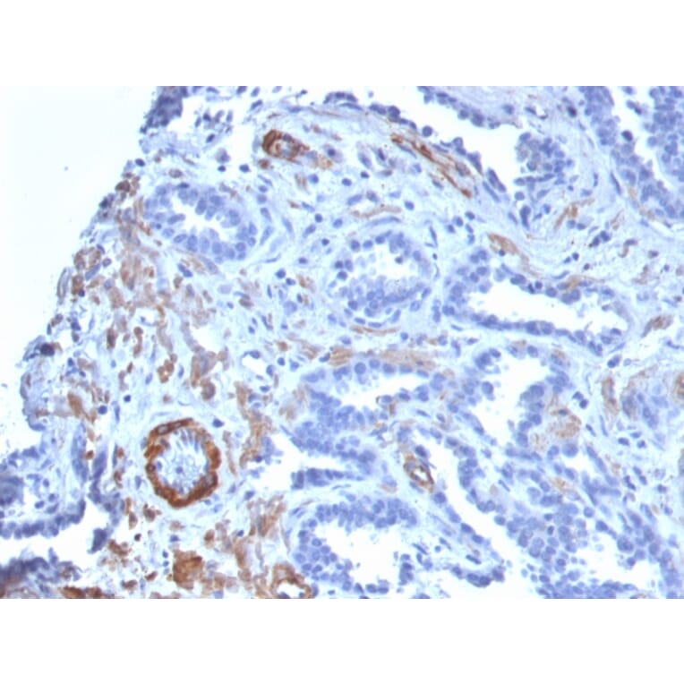
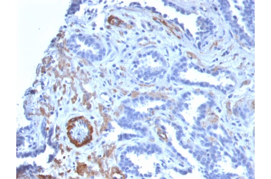
Recombinant Anti-MYH11 Antibody [MYH11/2303R] - BSA and Azide free (A252644)

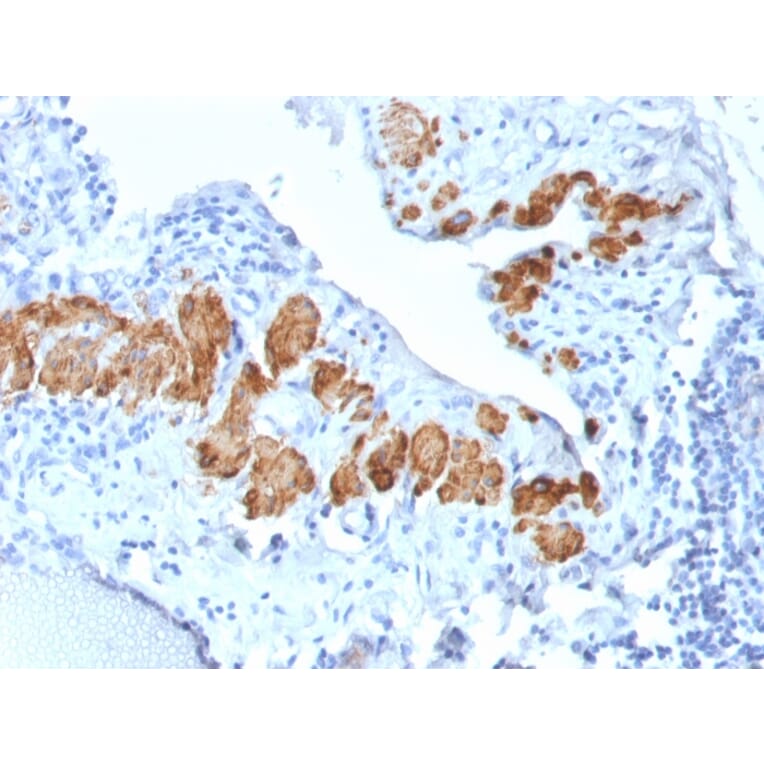
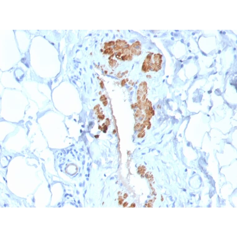
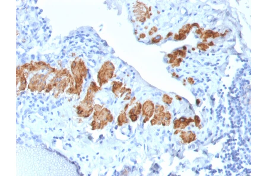
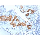
Recombinant rabbit monoclonal [MYH11/2303R] antibody to MYH11 for IHC-P.

Alternative Formats and ConjugatesAlternative Formats

Shipping Information

$40
Dispatched from St. Louis, MO.
Lead Time: 5-8 business days.
Name
Anti-MYH11 Antibody [MYH11/2303R] - BSA and Azide free
Description
Recombinant rabbit monoclonal [MYH11/2303R] antibody to MYH11.
Specificity
Smooth muscle myosin heavy chain (SM-MHC) is a cytoplasmic structural protein, which is a major component of the contractile apparatus in smooth muscle cells. Expression of smooth muscle myosin is developmentally regulated, appearing early in smooth muscle development, and is specific for smooth muscle development. Two isoforms of smooth muscle myosin heavy chain have been identified, designated MHC-1 and MHC-2. The antibody may be useful for the study of breast tumors as the presence of an intact layer of myoepithelial cells is an important feature, which may distinguish benign breast lesions and carcinoma in situ from invasive tumors.
Applications
IHC-P
Dilutions
IHC-P: 1-2 µg/ml
Reactivity
Human, Bovine, Porcine, Canine, Feline, Rabbit, Rat, Guinea Pig, Chicken
Immunogen
Recombinant full-length human MYH11 protein.
Host
Rabbit
Clonality
Monoclonal
Clone ID
MYH11/2303R
Isotype
IgG
Conjugate

Unconjugated

Purification
Protein A/G chromatography.
Concentration
1 mg/ml
Molecular Weight
205 kDa (MHC-1) / 200 kDa (MHC-2)
Product Form
Liquid
Formulation
Supplied in 10mM Phosphate Buffered Saline; without Sodium Azide and carrier free.
Storage
Shipped at 4°C. Upon delivery aliquot and store at -20°C. Avoid freeze / thaw cycles.
General Notes
This monoclonal antibody is also available in a different formulation with BSA and Sodium Azide - Anti-MYH11 Antibody [MYH11/2303R] (A249464).
Synonyms
KIAA0866, Myosin heavy chain 11, Myosin heavy chain, smooth muscle isoform, Myosin-11, SMMHC
Disclaimer
This product is for research use only. It is not intended for diagnostic or therapeutic use.
Publishing research using Recombinant Anti-MYH11 Antibody [MYH11/2303R] - BSA and Azide free (A252644)? Please let us know so that we can list the citation on this page.

Alternative products to Anti-MYH11 Antibody [MYH11/2303R] - BSA and Azide free (A252644)

Proteins predicted to interact with MYH11

Predicted protein interactions based upon String database. Revelancy score correlates with probability of interaction.
99.3% Relevancy Score
98.6% Relevancy Score
98.1% Relevancy Score
97.8% Relevancy Score
96.8% Relevancy Score
96.8% Relevancy Score
96.1% Relevancy Score