ISO 9001:2015 Certified
Live Customer Support
4.5/5 on Trustpilot
100% Quality Guarantee

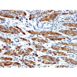
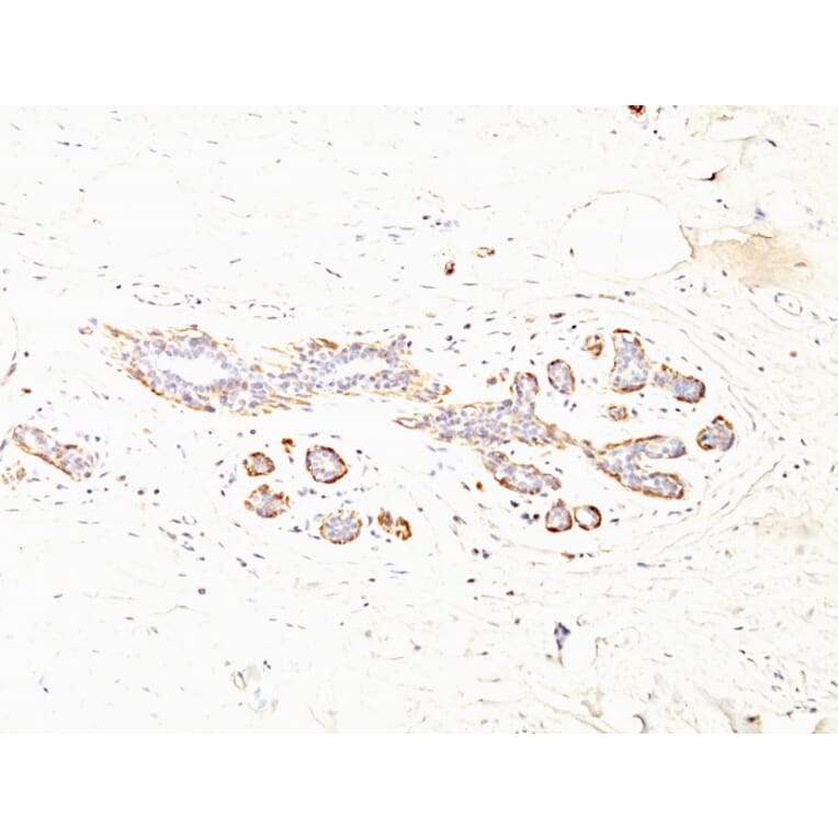
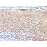
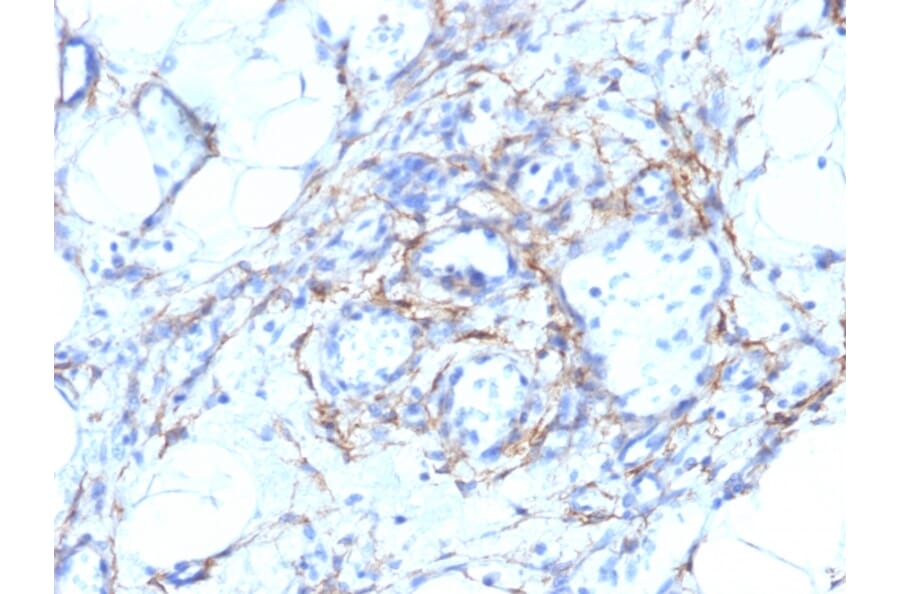
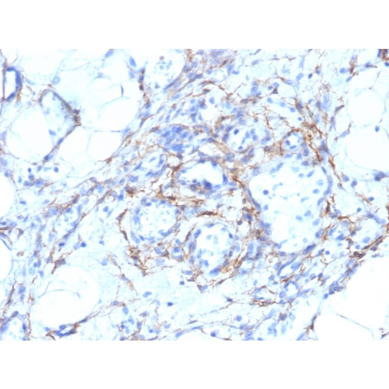
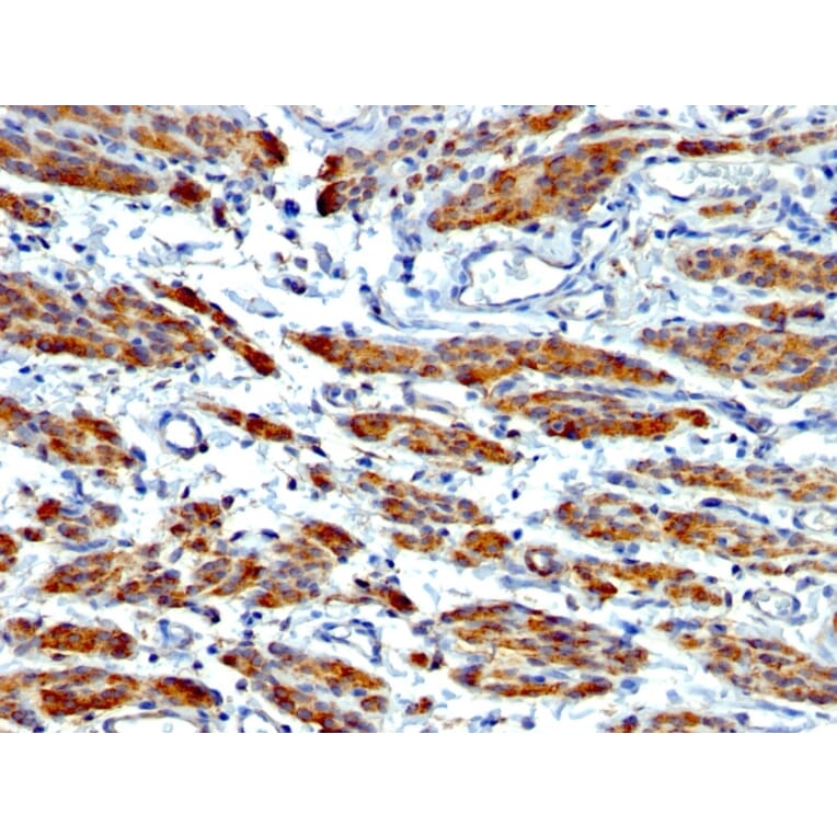
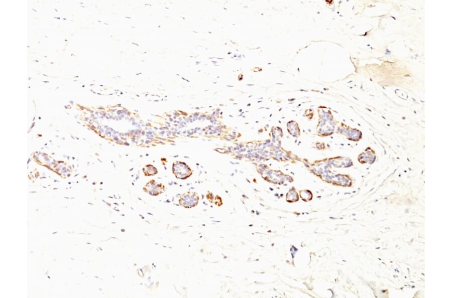
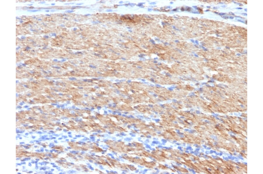
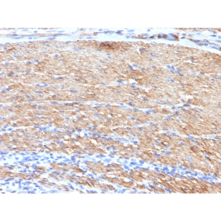
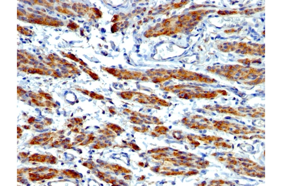
Anti-MYH11 Antibody [MYH11/923 + SMMS-1] - BSA and Azide free (A252643)

Mouse monoclonal [MYH11/923 + SMMS-1] antibody to MYH11 for Flow Cytometry, IF and IHC-P.

Alternative Formats and ConjugatesAlternative Formats

Shipping Information

$40
Dispatched from St. Louis, MO.
Lead Time: 5-8 business days.
Name
Anti-MYH11 Antibody [MYH11/923 + SMMS-1] - BSA and Azide free
Description
Mouse monoclonal [MYH11/923 + SMMS-1] antibody to MYH11.
Specificity
Smooth muscle myosin heavy chain (SM-MHC) is a cytoplasmic structural protein, which is a major component of the contractile apparatus in smooth muscle cells. Expression of smooth muscle myosin is developmentally regulated, appearing early in smooth muscle development, and is specific for smooth muscle development. Two isoforms of smooth muscle myosin heavy chain have been identified, designated MHC-1 and MHC-2. The antibody may be useful for the study of breast tumors as the presence of an intact layer of myoepithelial cells is an important feature, which may distinguish benign breast lesions and carcinoma in situ from invasive tumors.
Applications
Flow Cytometry, IF, IHC-P
Dilutions
Flow Cytometry: 1-2 µg/million cells, IF: 1-2 µg/ml, IHC-P: 1-2 µg/ml
Reactivity
Human, Rat
Immunogen
Clone MYH11/923: Recombinant human MYH11 protein. Clone SMMS-1: Human uterus extract.
Host
Mouse
Clonality
Oligoclonal
Clone ID
MYH11/923 + SMMS-1
Isotype
IgG1, kappa + IgG1, kappa
Conjugate

Unconjugated

Purification
Protein A/G chromatography.
Concentration
1 mg/ml
Molecular Weight
205 kDa (MHC-1) / 200 kDa (MHC-2)
Product Form
Liquid
Formulation
Supplied in 10mM Phosphate Buffered Saline; without Sodium Azide and carrier free.
Storage
Shipped at 4°C. Upon delivery aliquot and store at -20°C. Avoid freeze / thaw cycles.
General Notes

Please note, this product is an oligoclonal antibody; it is a cocktail of monoclonal antibodies that have been carefully selected. Oligoclonal antibodies not only have the specificity and batch-to-batch consistency of a monoclonal antibody, but they also have the advantage of the sensitivity of a polyclonal antibody due to their ability to recognize multiple epitopes on an antigen.

This oligoclonal antibody is also available in a different formulation with BSA and Sodium Azide - Anti-MYH11 Antibody [MYH11/923 + SMMS-1] (A249463).

Synonyms
KIAA0866, Myosin heavy chain 11, Myosin heavy chain, smooth muscle isoform, Myosin-11, SMMHC
Disclaimer
This product is for research use only. It is not intended for diagnostic or therapeutic use.
Publishing research using Anti-MYH11 Antibody [MYH11/923 + SMMS-1] - BSA and Azide free (A252643)? Please let us know so that we can list the citation on this page.

Alternative products to Anti-MYH11 Antibody [MYH11/923 + SMMS-1] - BSA and Azide free (A252643)

Proteins predicted to interact with MYH11

Predicted protein interactions based upon String database. Revelancy score correlates with probability of interaction.
99.3% Relevancy Score
98.6% Relevancy Score
98.1% Relevancy Score
97.8% Relevancy Score
96.8% Relevancy Score
96.8% Relevancy Score
96.1% Relevancy Score