ISO 9001:2015 Certified
Live Customer Support
4.5/5 on Trustpilot
100% Quality Guarantee

Anti-MyoD1 Antibody [5.8A] (A277720)

Mouse monoclonal [5.8A] antibody to MyoD1 for Flow Cytometry, IF and IHC-P.

Alternative Formats and ConjugatesAlternative Formats

Shipping Information

$40
Dispatched from St. Louis, MO.
Lead Time: 5-8 business days.
Name
Anti-MyoD1 Antibody [5.8A]
Description
Mouse monoclonal [5.8A] antibody to MyoD1.
Specificity
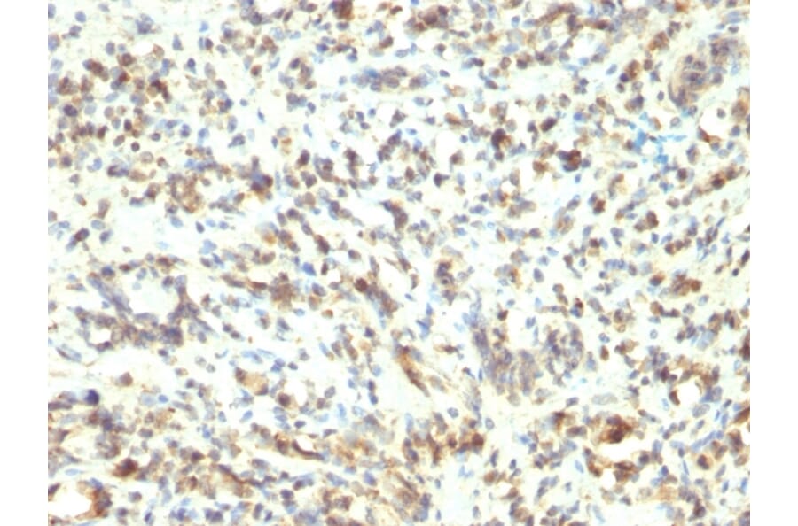
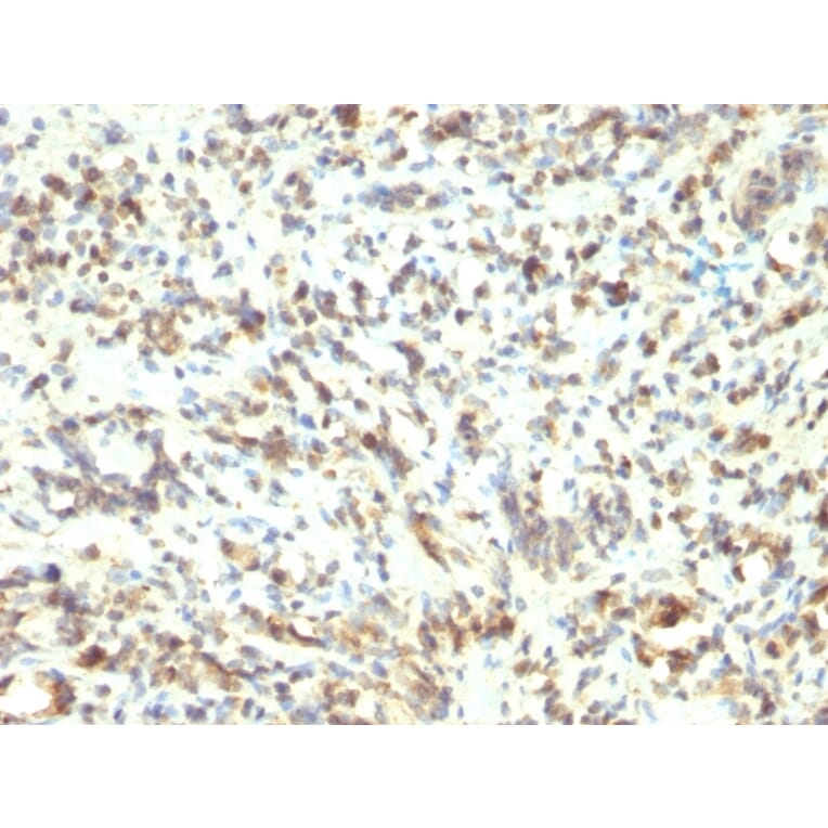
This antibody recognizes a phosphor-protein of 45kDa, identified as MyoD1. The epitope of this MAb maps between amino acid 180-189 in the C-terminal of mouse MyoD1 protein. It does not cross react with myogenin, Myf5, or Myf6. Antibody to MyoD1 labels the nuclei of myoblasts in developing muscle tissues. MyoD1 is not detected in normal adult tissue, but is highly expressed in the tumor cell nuclei of rhabdomyosarcomas. Occasionally nuclear expression of MyoD1 is seen in ectomesenchymoma and a subset of Wilm s tumors. Weak cytoplasmic staining is observed in several non-muscle tissues, including glandular epithelium and also in rhabdomyosarcomas, neuroblastomas, Ewing s sarcomas and alveolar soft part sarcomas.
Applications
Flow Cytometry, IF, IHC-P
Dilutions
Flow Cytometry: 1-2 µg/million cells, IF: 1-2 µg/ml, IHC-P: 1-2 µg/ml
Reactivity
Human, Mouse, Rat, Chicken
Immunogen
Recombinant full-length mouse MyoD1 protein.
Host
Mouse
Clonality
Monoclonal
Clone ID
5.8A
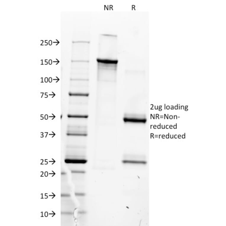
Isotype
IgG1
Light Chains
kappa
Conjugate

Unconjugated

Purification
Protein A/G chromatography.
Concentration
200 µg/ml
Molecular Weight
45 kDa
Product Form
Liquid
Formulation
Supplied in 10mM Phosphate Buffered Saline with 0.05% BSA and 0.05% Sodium Azide.
Storage
Shipped at 4°C. Upon delivery aliquot and store at -20°C. Avoid freeze / thaw cycles.
General Notes
This monoclonal antibody is also available in a different formulation without BSA and Sodium Azide - Anti-MyoD1 Antibody [5.8A] - BSA and Azide free (A278308).
Synonyms
BHLHC1, Class C basic helix-loop-helix protein 1, Myf-3, MYF3, Myoblast determination protein 1, MYOD, Myogenic factor 3
Disclaimer
This product is for research use only. It is not intended for diagnostic or therapeutic use.
Publishing research using Anti-MyoD1 Antibody [5.8A] (A277720)? Please let us know so that we can list the citation on this page.

Alternative products to Anti-MyoD1 Antibody [5.8A] (A277720)

Proteins predicted to interact with MyoD1

Predicted protein interactions based upon String database. Revelancy score correlates with probability of interaction.
99.3% Relevancy Score
99.1% Relevancy Score
99% Relevancy Score
98.9% Relevancy Score
97.2% Relevancy Score
97.2% Relevancy Score
96.7% Relevancy Score
96% Relevancy Score
95.7% Relevancy Score