Primary Antibodies
Secondary Antibodies
Proteins & Peptides
ELISA Kits
About Us
Contact Us
Sign In/Register
0
ISO 9001:2015 Certified
Live Customer Support
4.5/5 on Trustpilot
100% Quality Guarantee
Home
Primary Antibodies
MyoD1 Antibodies
Anti-MYOD1 Antibody (A46106)
Anti-MYOD1 Antibody (A46106)
Overview
Specifications
Images
Enlarge Image
Enlarge Image
$430
Product Datasheet
Rabbit polyclonal antibody to MYOD1 for WB and IHC.
100% Guarantee
Price Match Guarantee
Product Size:
100µl
Quantity:
1
2
3
4
5
6
7
8
9
10
Add To Cart
Request a Quotation
Custom or Bulk Request
Shipping Information
Freight/Packing Charges:
$40
Dispatched from St. Louis, MO.
Lead Time: 6-9 business days.
Specifications
Name
Anti-MYOD1 Antibody
Description
Rabbit polyclonal antibody to MYOD1
Specificity
The antibody detects endogenous levels of total MYOD1 protein.
Applications
WB
,
IHC
Reactivity
Human, Mouse, Rat
Immunogen
Synthetic peptide corresponding to residues near the C terminal of human myogenic differentiation 1
Host
Rabbit
Clonality
Polyclonal
Conjugate
Unconjugated
Purification
Antigen affinity purification.
Concentration
4 mg/mL
Formulation
Supplied in PBS, pH 7.3, containing 0.05% sodium azide and 50% glycerol.
Storage
Shipped at 4°C. Upon delivery aliquot and store at -20°C. Avoid freeze/thaw cycles.
Synonyms
BHLHC1, Class C basic helix-loop-helix protein 1, Myf-3, MYF3, Myoblast determination protein 1, MYOD, Myogenic factor 3
Suitable Secondaries
Goat Anti-Rabbit IgG H&L Antibody (AP) (A294874)
Goat Anti-Rabbit IgG H&L Antibody (Biotin) (A294795)
Goat Anti-Rabbit IgG H&L Antibody (FITC) (A294887)
Goat Anti-Rabbit IgG H&L Antibody (HRP) (A294888)
See all Anti-Rabbit IgG Secondaries →
Disclaimer
This product is for research use only. It is not intended for diagnostic or therapeutic use.
Scientific Validation Data
Validation Data
(2)
Enlarge Image
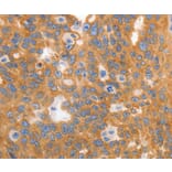
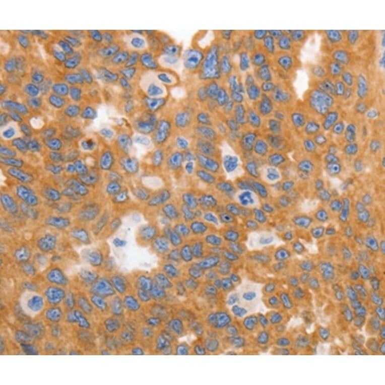
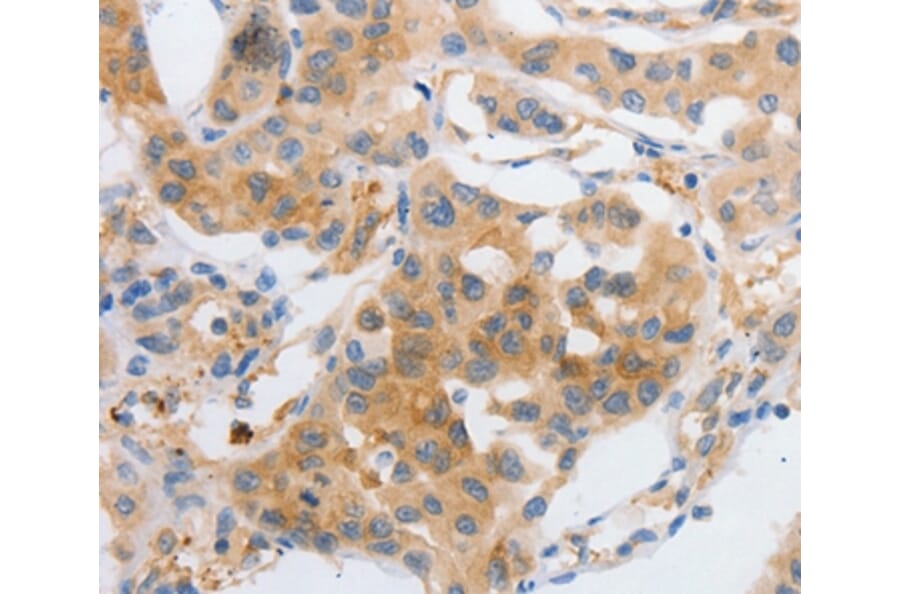
Immunohistochemistry - Anti-MYOD1 Antibody (A46106)
Immunohistochemical analysis of paraffin-embedded Human ovarian cancer tissue using #36992 at dilution 1/120.
Enlarge Image
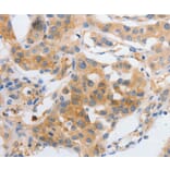
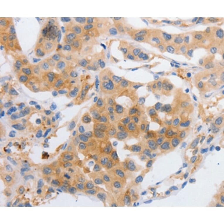
Immunohistochemistry - Anti-MYOD1 Antibody (A46106)
Immunohistochemical analysis of paraffin-embedded Human lung cancer tissue using #36992 at dilution 1/120.
Publishing research using Anti-MYOD1 Antibody (A46106)? Please
let us know
so that we can list the citation on this page.
Alternative products to Anti-MYOD1 Antibody (A46106)
(3)
A277720
Anti-MyoD1 Antibody [5.8A]
Mouse monoclonal [58A] antibody to MyoD1 for Flow Cytometry, IF and IHC-P.
(2)
A98670
Anti-MyoD1 Antibody
Mouse monoclonal (ABT-MYOD1) antibody to MyoD1 for IHC, IF and ELISA.
A252645
Anti-MyoD1 Antibody [SPM427] - BSA and Azide free
Mouse monoclonal [SPM427] antibody to MyoD1 for Flow Cytometry, IF and IHC-P.
A249465
Anti-MyoD1 Antibody [SPM427]
Mouse monoclonal [SPM427] antibody to MyoD1 for Flow Cytometry, IF and IHC-P.
A94036
Anti-MYOD (phospho Ser200) Antibody
Rabbit polyclonal antibody to MYOD (phospho Ser200) for WB, IHC, IF and ELISA.
A97856
Anti-MyoD Antibody
Rabbit polyclonal antibody to MyoD for WB and IHC.
A54708
Anti-MyoD1 Antibody
Rabbit polyclonal antibody to MyoD1 for ELISA and WB.
A40738
Anti-MyoD Antibody
Rabbit polyclonal antibody to MyoD for ELISA and WB.
A40763
Anti-MyoD Antibody
Rabbit polyclonal antibody to MyoD for ELISA and WB.
(4)
A249467
Anti-MyoD1 Antibody [MYOD1/2075R]
Recombinant rabbit monoclonal [MYOD1/2075R] antibody to MyoD1 for IHC-P.
(4)
A252647
Anti-MyoD1 Antibody [MYOD1/2075R] - BSA and Azide free
Recombinant rabbit monoclonal [MYOD1/2075R] antibody to MyoD1 for IHC-P.
(3)
A252646
Anti-MyoD1 Antibody [rMYD712] - BSA and Azide free
Recombinant mouse monoclonal [rMYD712] antibody to MyoD1 for IHC-P.
(3)
A277720
Anti-MyoD1 Antibody [5.8A]
Mouse monoclonal [58A] antibody to MyoD1 for Flow Cytometry, IF and IHC-P.
(2)
A98670
Anti-MyoD1 Antibody
Mouse monoclonal (ABT-MYOD1) antibody to MyoD1 for IHC, IF and ELISA.
A252645
Anti-MyoD1 Antibody [SPM427] - BSA and Azide free
Mouse monoclonal [SPM427] antibody to MyoD1 for Flow Cytometry, IF and IHC-P.
A249465
Anti-MyoD1 Antibody [SPM427]
Mouse monoclonal [SPM427] antibody to MyoD1 for Flow Cytometry, IF and IHC-P.
A94036
Anti-MYOD (phospho Ser200) Antibody
Rabbit polyclonal antibody to MYOD (phospho Ser200) for WB, IHC, IF and ELISA.
A97856
Anti-MyoD Antibody
Rabbit polyclonal antibody to MyoD for WB and IHC.
A54708
Anti-MyoD1 Antibody
Rabbit polyclonal antibody to MyoD1 for ELISA and WB.
A40738
Anti-MyoD Antibody
Rabbit polyclonal antibody to MyoD for ELISA and WB.
A40763
Anti-MyoD Antibody
Rabbit polyclonal antibody to MyoD for ELISA and WB.
(4)
A249467
Anti-MyoD1 Antibody [MYOD1/2075R]
Recombinant rabbit monoclonal [MYOD1/2075R] antibody to MyoD1 for IHC-P.
(4)
A252647
Anti-MyoD1 Antibody [MYOD1/2075R] - BSA and Azide free
Recombinant rabbit monoclonal [MYOD1/2075R] antibody to MyoD1 for IHC-P.
(3)
A252646
Anti-MyoD1 Antibody [rMYD712] - BSA and Azide free
Recombinant mouse monoclonal [rMYD712] antibody to MyoD1 for IHC-P.
See all MYOD1 Antibodies
Proteins predicted to interact with MyoD1
Predicted protein interactions based upon String database. Revelancy score correlates with probability of interaction.
E2A Antibodies
99.3% Relevancy Score
p300 Antibodies
99.1% Relevancy Score
SMARCD3 Antibodies
99% Relevancy Score
TCF12 Antibodies
98.9% Relevancy Score
TCF4 Antibodies
97.2% Relevancy Score
PCAF Antibodies
97.2% Relevancy Score
MEF2A Antibodies
96.7% Relevancy Score
TBP Antibodies
96% Relevancy Score
BRG1 Antibodies
95.7% Relevancy Score
Top