Primary Antibodies
Secondary Antibodies
Proteins & Peptides
ELISA Kits
About Us
Contact Us
Sign In/Register
0
ISO 9001:2015 Certified
Live Customer Support
4.5/5 on Trustpilot
100% Quality Guarantee
Home
Primary Antibodies
NCK1 Antibodies
Anti-NCK1 Antibody (A38678)
Anti-NCK1 Antibody (A38678)
Overview
Specifications
Images
Enlarge Image
Enlarge Image
$430
Product Datasheet
Rabbit polyclonal antibody to NCK1 for WB and IHC.
100% Guarantee
Price Match Guarantee
Product Size:
100µl
Quantity:
1
2
3
4
5
6
7
8
9
10
Add To Cart
Request a Quotation
Custom or Bulk Request
Shipping Information
Freight/Packing Charges:
$40
Dispatched from St. Louis, MO.
Lead Time: 6-9 business days.
Specifications
Name
Anti-NCK1 Antibody
Description
Rabbit polyclonal antibody to NCK1
Specificity
The antibody detects endogenous levels of total NCK1 protein.
Applications
WB
,
IHC
Reactivity
Human
Immunogen
Fusion protein corresponding to residues near the C terminal of human NCK adaptor protein 1
Host
Rabbit
Clonality
Polyclonal
Conjugate
Unconjugated
Purification
Antigen affinity purification.
Concentration
1.2 mg/mL
Formulation
Supplied in PBS, pH 7.3, containing 0.05% sodium azide and 50% glycerol.
Storage
Shipped at 4°C. Upon delivery aliquot and store at -20°C. Avoid freeze/thaw cycles.
Synonyms
Cytoplasmic protein NCK1, NCK, NCK adapter protein 1, Nck-1, SH2/SH3 adapter protein NCK-alpha, SH2/SH3 adapter protein NCK1
Suitable Secondaries
Goat Anti-Rabbit IgG H&L Antibody (AP) (A294874)
Goat Anti-Rabbit IgG H&L Antibody (Biotin) (A294795)
Goat Anti-Rabbit IgG H&L Antibody (FITC) (A294887)
Goat Anti-Rabbit IgG H&L Antibody (HRP) (A294888)
See all Anti-Rabbit IgG Secondaries →
Disclaimer
This product is for research use only. It is not intended for diagnostic or therapeutic use.
Scientific Validation Data
Validation Data
(2)
Enlarge Image
Anti-NCK1 Antibody (A38678)
Gel: 10% SDS-PAGE Lysates (from left to right): Jurkat and K562 cell Amount of lysate: 40ug per lane Primary antibody: 1/600 dilution Secondary antibody dilution: 1/8000 Exposure time: 1 minute
Enlarge Image
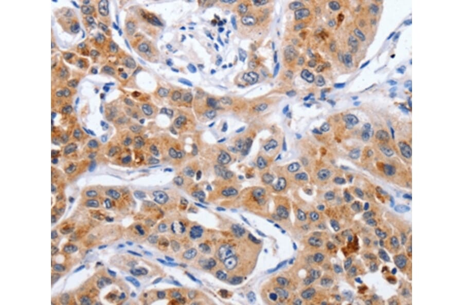
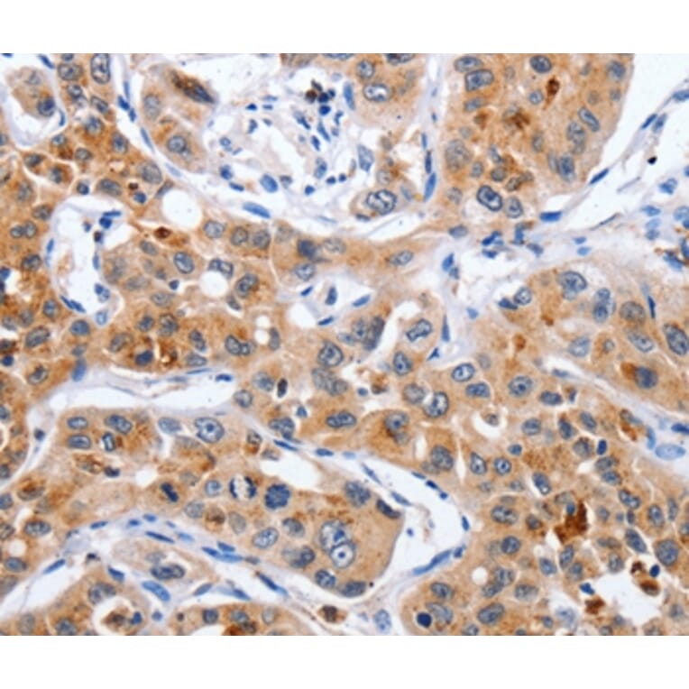
Immunohistochemistry - Anti-NCK1 Antibody (A38678)
Immunohistochemical analysis of paraffin-embedded Human lung cancer tissue using #35832 at dilution 1/30.
Publishing research using Anti-NCK1 Antibody (A38678)? Please
let us know
so that we can list the citation on this page.
Alternative products to Anti-NCK1 Antibody (A38678)
(3)
A308147
Anti-Nck Antibody [ARC1441]
Rabbit monoclonal [ARC1441] antibody to Nck for WB, IHC and ICC/IF.
A29099
Anti-NCK1 Antibody
Rabbit polyclonal antibody to NCK1 for WB and IHC.
A86308
Anti-NCK1 Antibody [EM-06]
Mouse monoclonal [EM-06] antibody to NCK1 for WB and ICC.
A347320
Anti-NCK1 Antibody [24GB705]
Recombinant rabbit monoclonal [24GB705] antibody to NCK1 for WB, Flow Cytometry and ICC/IF.
A12756
Anti-Nck Antibody
Rabbit polyclonal antibody to Nck for WB and IHC.
A43980
Anti-NCK1 Antibody
Rabbit polyclonal antibody to NCK1 for WB and IHC.
(3)
A308147
Anti-Nck Antibody [ARC1441]
Rabbit monoclonal [ARC1441] antibody to Nck for WB, IHC and ICC/IF.
A29099
Anti-NCK1 Antibody
Rabbit polyclonal antibody to NCK1 for WB and IHC.
A86308
Anti-NCK1 Antibody [EM-06]
Mouse monoclonal [EM-06] antibody to NCK1 for WB and ICC.
A347320
Anti-NCK1 Antibody [24GB705]
Recombinant rabbit monoclonal [24GB705] antibody to NCK1 for WB, Flow Cytometry and ICC/IF.
A12756
Anti-Nck Antibody
Rabbit polyclonal antibody to Nck for WB and IHC.
A43980
Anti-NCK1 Antibody
Rabbit polyclonal antibody to NCK1 for WB and IHC.
See all NCK1 Antibodies
Proteins predicted to interact with NCK1
Predicted protein interactions based upon String database. Revelancy score correlates with probability of interaction.
SLP76 Antibodies
99.9% Relevancy Score
WASP Antibodies
99.9% Relevancy Score
N-WASP Antibodies
99.9% Relevancy Score
WIPF1 Antibodies
99.9% Relevancy Score
PAK1 Antibodies
99.8% Relevancy Score
VAV1 Antibodies
99.7% Relevancy Score
Nephrin Antibodies
99.7% Relevancy Score
GRB2 Antibodies
99.3% Relevancy Score
TNIK Antibodies
98.9% Relevancy Score
Top