The epitope for this antibody was mapped using protein cleavage to the extreme C-terminal sequence, amino acids 762-845, of rat NF-M. This epitope corresponds to amino acids 833-916 of the slightly larger human NF-M sequence.
Applications
WB, ICC/IF, IHC
Dilutions
WB: 1:5,000, ICC/IF: 1:2,000, IHC: 1:10,000
Reactivity
Human, Horse, Cow, Porcine, Chicken, Rat, Mouse
Immunogen
Recombinant fusion protein containing the extreme C-terminus, amino acids 677-845, of rat NF-M, expressed in and purified from E. coli
Host
Mouse
Clonality
Monoclonal
Clone ID
3H11
Isotype
IgG1
Conjugate
Unconjugated
Purification
Immunogen affinity purification.
Concentration
1 mg/ml
Molecular Weight
145-160 kDa
Product Form
Liquid
Formulation
Supplied in Phosphate Buffered Saline with 50% Glycerol and 5mM Sodium Azide.
Storage
Shipped at 4°C. Upon delivery aliquot and store at -20°C. Avoid freeze/thaw cycles.
Synonyms
160 kDa neurofilament protein, NEF3, NEFM, Neurofilament 3, Neurofilament medium polypeptide, Neurofilament triplet M protein, NFM
Immunofluorescence analysis of adult rat frontal cortex section stained with Anti-NF-M Antibody, at a dilution of 1:5,000, in green, and Anti-NF-H Antibody (A85337 | 1:5,000, in red. Following transcardial perfusion of rat with 4% paraformaldehyde, brain was post fixed for 24 hours, cut to 45µM, and free-floating sections were stained with the above antibodies. Anti-NF-M Antibody labels neuron cell bodies and dendrites of pyramidal neurons, as well as dendrites and axons of other neuronal cells, while the Anti-NF-H Antibody stains the network of neuronal axons only.
Culture of adult neural cells. Mature neurons can be identified by their morphology and because they stain strongly with antibodies to NF-L, NF-M and NF-H. The surrounding stellate red cells are stained with Anti-Alpha-Internexin Antibody (A85441). These are mitotic neuronal progenitor cells and express many other neuronal markers.
Western blot analysis of neuronal tissue lysates using Anti-NF-M Antibody, at a dilution of 1:10,000, in green,: [Lane 1] protein standard (red), [Lane 2] rat spinal cord, [Lane 3] mouse spinal cord, [Lane 4] cow spinal cord, [Lane 5] rat sciatic nerve. Strong bands at ~145 kDa corresponds to rodent NF-M while that at about 160 kDa corresponds to the significantly larger bovine NF-M protein.
Rat spinal cord homogenate showing the major intermediate filament proteins of the nervous system (Lane 1). The remaining lanes show blots of this material stained with various antibodies including Anti-NF-M Antibody (Lane 3).
Immunofluorescence of a section of spinal cord from a rat given a C4 contusion injury 3 days previously. The section was stained with Anti-NF-M Antibody [3H11] (A85325) (green) and counterstained with Anti-NF L Antibody (A333279) at a dilution of 1:1,000 (red). The Anti-NF L Antibody (A333279) does not stain the undamaged axons which are strongly positive for the NF-M antibody. However, linear arrays of swollen profiles which originated from damaged axons are strongly positive for the Anti-NF L Antibody (A333279) antibody but not the NF-M antibody, although there is clearly some staining. The Anti-NF-M Antibody [3H11] (A85325) epitope, which is in the C-terminal “tail” of NF-M, has either been partially removed or destroyed.
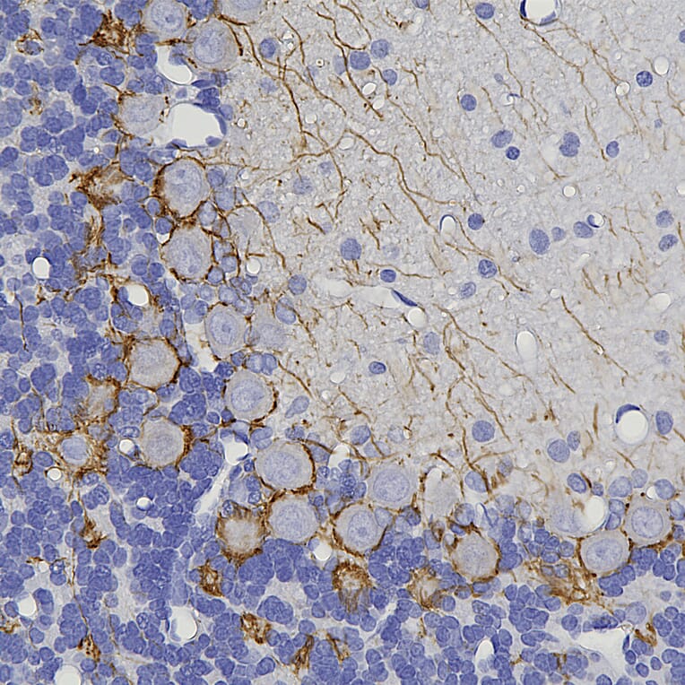
Immunohistochemistry analysis of a 4% PFA fixed paraffin embedded rat cerebellum section with Anti-NF-M Antibody [3H11] (A85325) at a dilution of 1:10,000 detected with DAB (brown) using the Vector Labs ImmPRESS method and reagents with citra buffer retrieval. Counterstained with Hematoxylin (blue). Note: this antibody performs well in testing with both 4% PFA and standard NBF fixed tissues but does not stain long term NBF fixed tissue effectively.