Immunofluorescent analysis of rat cerebellum section stained with Anti-NF-M Antibody, at a dilution of 1:1,000, in red, and Anti-CNPase Antibody (A85413 | 1:500, in green. The blue is DAPI staining of nuclear DNA. Following transcardial perfusion of rat with 4% paraformaldehyde, brain was post fixed for 24 hours, cut to 45µM, and free floating sections were stained with the above antibodies. The Anti-NF-M Antibody labels the axons of basket and other neurons, while the Anti-CNPase Antibody stains oligodendrocytes, cells that form the myelin sheathes around axons.
Immunofluorescent analysis of rat neuron/glial cell cultures stained with Anti-NF-M Antibody (red). The NF-M protein is assembled into neurofilaments which are found throughout the axons, dendrites, and perikarya of neurons. The blue is DAPI staining of nuclear DNA.
Western blot analysis of different neuronal tissue and cell lysates using Anti-NF-M Antibody, at a dilution of 1:2,000, in green,: [Lane 1] protein standard (red), [Lane 2] rat brain [Lane 3] rat spinal cord, [Lane 4] mouse brain, [Lane 5] mouse spinal cord, [Lane 6] NIH/3T3 cells, [Lane 7] HEK293, [Lane 8] HeLa, [Lane 9] SH-SY5Y, and [Lane 10] C6 cells. Strong band at 145kDa corresponds to rodent NF-M, and about 160kDa band corresponds to human NF-M protein, visible in SHSY-5Y and HEK293 cells which have neuronal properties. NF-M is not expressed in HeLa and other cell lines tested.
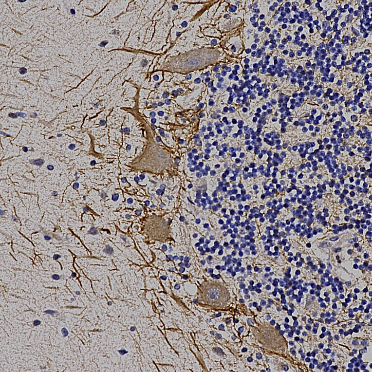
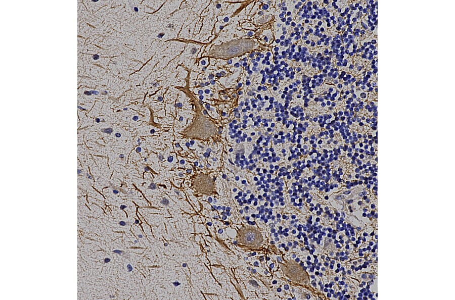
Immunohistochemistry analysis of a formalin fixed paraffin embedded human cerebellum with Anti-NF-M Antibody (A85324) at a dilution of 1:2,000 detected in DAB (brown) following the ABC method. Counterstained with Hematoxylin (blue). The NF-M antibody detects perikarya and dendrites of neuronal Purkinje cells, and is strongly expressed in the axons of basket and other kinds of neuron.
Western blots of homogenates of SH-SY5Y cells, a human neuroblastoma cell line. Lane A shows blotting with Anti-NF-M Antibody which reveals a strong NF-M band at ~150kDa. Lanes B and C are homogenates of SH-SY5Y cells which were treated with maitotoxin to activate caspase family enzymes - now a ~100kDa band is seen in addition to the major NF-M band. This corresponds to the C-terminal segment of NF-M which is an in vivo calpain degradation product of human NF-M.