ISO 9001:2015 Certified
Live Customer Support
4.5/5 on Trustpilot
100% Quality Guarantee

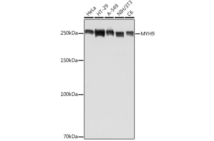
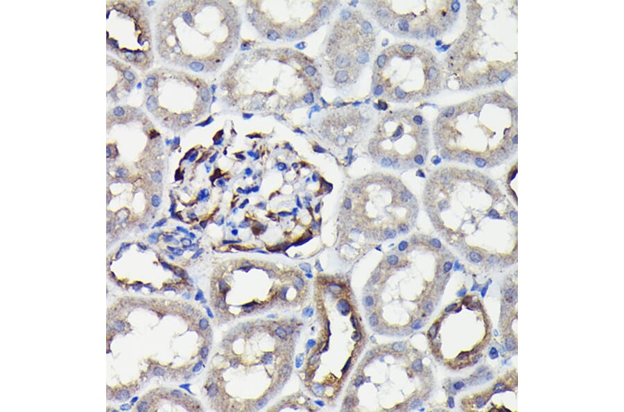
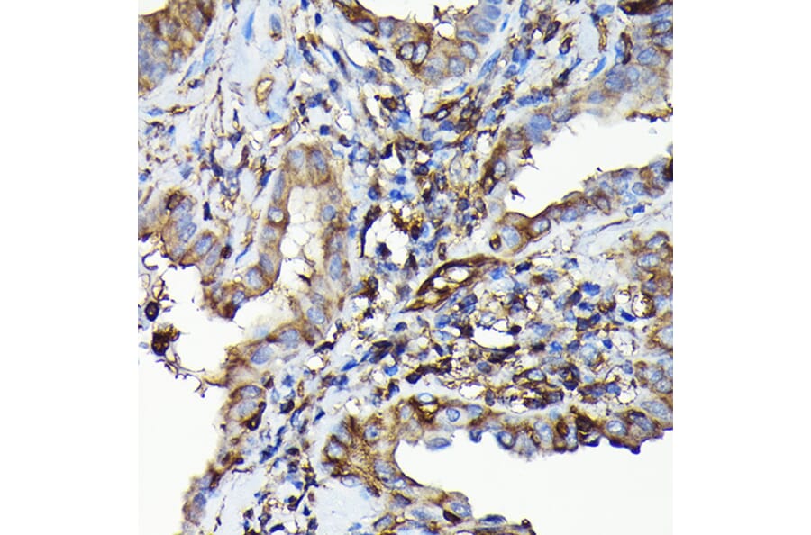
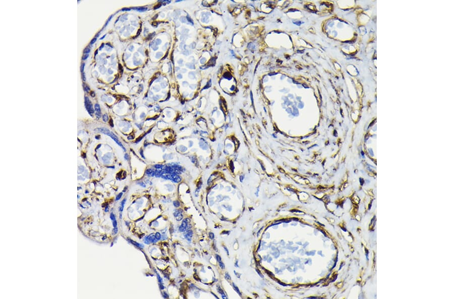
Anti-non-muscle Myosin IIA Antibody (A88762)

This product is discontinued

Anti-non-muscle Myosin IIA Antibody (A88762) has been discontinued and is no longer available.

View all Primary Antibodies.

Name
Anti-non-muscle Myosin IIA Antibody
Description
Rabbit polyclonal antibody to non-muscle Myosin IIA.
Applications
WB, IHC, ICC/IF
Dilutions
WB: 1:100-1:500, IHC: 1:50-1:200, ICC/IF: 1:50-1:200
Reactivity
Human, Mouse, Rat
Immunogen
Recombinant fusion protein containing a sequence corresponding to amino acids 1801-1960 of human MYH9 (NP_002464.1).
Sequence
VKSKYKASITALEAKIAQLEEQLDNETKERQAACKQVRRTEKKLKDVLLQVDDERRNAEQYKDQADKASTRLKQLKRQLEEAEEEAQRANASRRKLQRELEDATETADAMNREVSSLKNKLRRGDLPFVVPRRMARKGAGDGSDEEVDGKADGAEAKPAE
Host
Rabbit
Clonality
Polyclonal
Isotype
IgG
Conjugate

Unconjugated

Purification
Affinity purification.
Molecular Weight
250 kDa
Product Form
Liquid
Formulation
Supplied in Phosphate Buffered Saline, pH 7.3, with 50% Glycerol and 0.01% Thiomersal.
Storage
Shipped at 4°C. Upon delivery aliquot and store at -20°C. Avoid freeze / thaw cycles.
Synonyms
BDPLT 6, BDPLT6, Cellular myosin heavy chain, Cellular myosin heavy chain type A, DFNA 17, DFNA17, EPSTS, FTNS, MGC104539, MHA, MYH 2A, MYH 9, MYH2A, MYH9, MYH9_HUMAN, MYHas8, MyHC 2A, MyHC IIa, MyHC2A, MyHCIIa, MYHSA 2, MYHSA2, Myosin 9, Myosin heavy chain, Myosin heavy chain 9, Myosin heavy chain 9 non muscle, Myosin heavy chain non muscle IIa, Myosin heavy chain nonmuscle IIa, Myosin heavy polypeptide 2, Myosin heavy polypeptide 9 non muscle, Myosin-9, Myosin9, NMHC II A, NMMHC A, NMMHC II a, NMMHC II-a, NMMHC IIA, NMMHC-A, NMMHC-IIA, NMMHCA, Non muscle myosin heavy chain, Non muscle myosin heavy chain A, Non muscle myosin heavy chain II A, Non muscle myosin heavy polypeptide 9, non-muscle IIa, Non-muscle myosin heavy chain A, Non-muscle myosin heavy chain IIa, Nonmuscle myosin heavy chain A, Nonmuscle myosin heavy chain II A, type A
Disclaimer
This product is for research use only. It is not intended for diagnostic or therapeutic use.

Alternative products to Anti-non-muscle Myosin IIA Antibody (A88762)