Primary Antibodies
Secondary Antibodies
Proteins & Peptides
ELISA Kits
About Us
Contact Us
Sign In/Register
0
ISO 9001:2015 Certified
Live Customer Support
4.5/5 on Trustpilot
100% Quality Guarantee
Home
Primary Antibodies
NOX3 Antibodies
Anti-NOX3 Antibody (A46955)
Anti-NOX3 Antibody (A46955)
Overview
Specifications
Images
Enlarge Image
Enlarge Image
$430
Product Datasheet
Rabbit polyclonal antibody to NOX3 for IHC.
100% Guarantee
Price Match Guarantee
Product Size:
100µl
Quantity:
1
2
3
4
5
6
7
8
9
10
Add To Cart
Request a Quotation
Custom or Bulk Request
Shipping Information
Freight/Packing Charges:
$40
Dispatched from St. Louis, MO.
Lead Time: 6-9 business days.
Specifications
Name
Anti-NOX3 Antibody
Description
Rabbit polyclonal antibody to NOX3
Specificity
The antibody detects endogenous levels of total NOX3 protein.
Applications
IHC
Reactivity
Human
Immunogen
Synthetic peptide corresponding to a region derived from internal residues of human NADPH oxidase 3
Host
Rabbit
Clonality
Polyclonal
Conjugate
Unconjugated
Purification
Antigen affinity purification.
Concentration
2.7 mg/mL
Formulation
Supplied in PBS, pH 7.3, containing 0.05% sodium azide and 50% glycerol.
Storage
Shipped at 4°C. Upon delivery aliquot and store at -20°C. Avoid freeze/thaw cycles.
Synonyms
GP91-3, gp91phox homolog 3, Mitogenic oxidase 2, MOX-2, MOX2, NADPH oxidase 3
Suitable Secondaries
Goat Anti-Rabbit IgG H&L Antibody (AP) (A294874)
Goat Anti-Rabbit IgG H&L Antibody (Biotin) (A294795)
Goat Anti-Rabbit IgG H&L Antibody (FITC) (A294887)
Goat Anti-Rabbit IgG H&L Antibody (HRP) (A294888)
See all Anti-Rabbit IgG Secondaries →
Disclaimer
This product is for research use only. It is not intended for diagnostic or therapeutic use.
Scientific Validation Data
Validation Data
(2)
Enlarge Image
Immunohistochemistry - Anti-NOX3 Antibody (A46955)
Immunohistochemical analysis of paraffin-embedded Human brain tissue using #37773 at dilution 1/40.
Enlarge Image
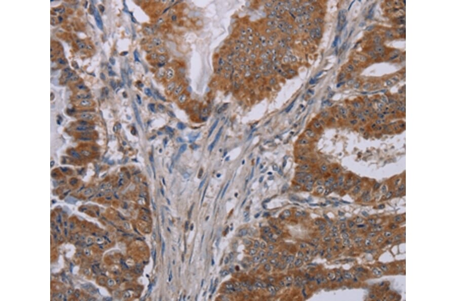
Immunohistochemistry - Anti-NOX3 Antibody (A46955)
Immunohistochemical analysis of paraffin-embedded Human oesophagus cancer tissue using #37773 at dilution 1/40.
Publishing research using Anti-NOX3 Antibody (A46955)? Please
let us know
so that we can list the citation on this page.
Alternative products to Anti-NOX3 Antibody (A46955)
(3)
A97774
Anti-NOX3 Antibody
Rabbit polyclonal antibody to NOX3 for WB, IHC, IF and ELISA.
(2)
A35935
Anti-MOX-2 Antibody
Rabbit polyclonal antibody to MOX-2 for ELISA, WB and IHC.
A25982
Anti-MOX-2 (N184) Antibody
Rabbit polyclonal antibody to MOX-2 (N184) for WB and IHC.
(3)
A97774
Anti-NOX3 Antibody
Rabbit polyclonal antibody to NOX3 for WB, IHC, IF and ELISA.
(2)
A35935
Anti-MOX-2 Antibody
Rabbit polyclonal antibody to MOX-2 for ELISA, WB and IHC.
A25982
Anti-MOX-2 (N184) Antibody
Rabbit polyclonal antibody to MOX-2 (N184) for WB and IHC.
Proteins predicted to interact with NOX3
Predicted protein interactions based upon String database. Revelancy score correlates with probability of interaction.
p22phox Antibodies
99.9% Relevancy Score
NOXO1 Antibodies
99.6% Relevancy Score
NOX4 Antibodies
99.2% Relevancy Score
p47phox Antibodies
99.1% Relevancy Score
NOX2 Antibodies
99.1% Relevancy Score
NOX1 Antibodies
99.1% Relevancy Score
DUOX1 Antibodies
99% Relevancy Score
NOXA1 Antibodies
98.9% Relevancy Score
NOX5 Antibodies
98.6% Relevancy Score
Top