Primary Antibodies
Secondary Antibodies
Proteins & Peptides
ELISA Kits
About Us
Contact Us
Sign In/Register
0
ISO 9001:2015 Certified
Live Customer Support
4.5/5 on Trustpilot
100% Quality Guarantee
Home
Primary Antibodies
NOX3 Antibodies
Anti-NOX3 Antibody (A97774)
Anti-NOX3 Antibody (A97774)
Overview
Specifications
Images
Enlarge Image
Enlarge Image
Enlarge Image
$200
Product Datasheet
Rabbit polyclonal antibody to NOX3 for WB, IHC, IF and ELISA.
100% Guarantee
Price Match Guarantee
Product Size:
10µg
100µg
Quantity:
1
2
3
4
5
6
7
8
9
10
Add To Cart
Request a Quotation
Custom or Bulk Request
Shipping Information
Freight/Packing Charges:
$40
Dispatched from St. Louis, MO.
Lead Time: 6-8 business days.
Specifications
Name
Anti-NOX3 Antibody
Description
Rabbit polyclonal antibody to NOX3.
Applications
WB
,
IHC
,
IF
,
ELISA
Dilutions
IHC: 1:50~1:100, ELISA: 1:40000
Reactivity
Human, Mouse, Rat
Cross Reactivity
No reported cross-reactivity.
Immunogen
Synthetic peptide derived from human NOX3 (amino acids 287-336).
Host
Rabbit
Clonality
Polyclonal
Isotype
IgG
Conjugate
Unconjugated
Purification
Purified from rabbit serum by antigen affinity chromatography using the immunizing peptide.
Molecular Weight
64kDa
Product Form
Liquid
Formulation
Supplied in Phosphate Buffered Saline (without Mg2+ and Ca2+), pH 7.4, with 150mM NaCl, 0.02% Sodium Azide, and 50% Glycerol.
Storage
Shipped at 4°C. Upon delivery aliquot and store at -20°C. Avoid freeze / thaw cycles.
Synonyms
GP91-3, gp91phox homolog 3, Mitogenic oxidase 2, MOX-2, MOX2, NADPH oxidase 3
Isotype Controls
Rabbit IgG (A82272)
Rabbit IgG (A17360)
Suitable Secondaries
Goat Anti-Rabbit IgG H&L Antibody (AP) (A294874)
Goat Anti-Rabbit IgG H&L Antibody (Biotin) (A294795)
Goat Anti-Rabbit IgG H&L Antibody (FITC) (A294887)
Goat Anti-Rabbit IgG H&L Antibody (HRP) (A294888)
See all Anti-Rabbit IgG Secondaries →
Disclaimer
This product is for research use only. It is not intended for diagnostic or therapeutic use.
Scientific Validation Data
Validation Data
(3)
Enlarge Image
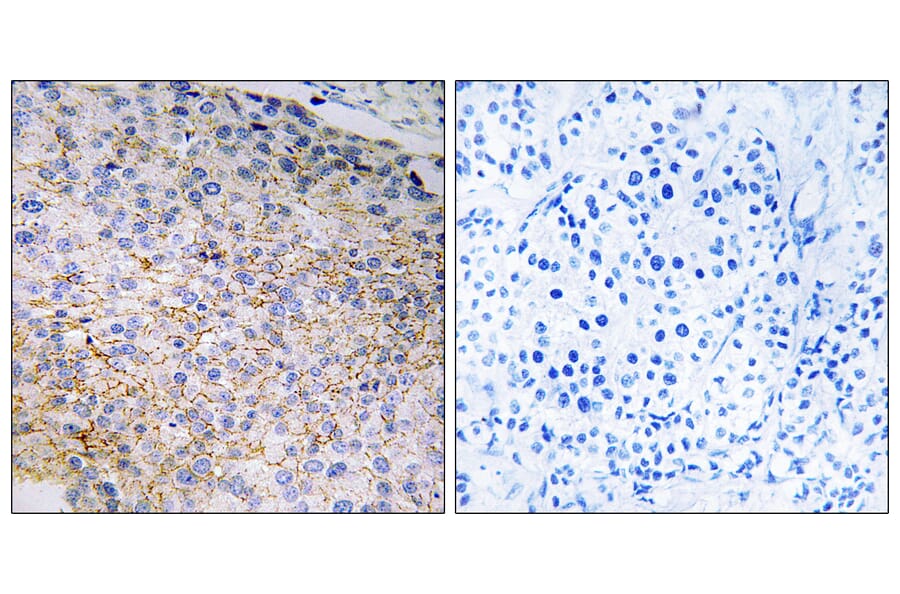
Immunohistochemistry - Anti-NOX3 Antibody (A97774)
Immunohistochemical analysis of paraffin-embedded human breast carcinoma tissue using Anti-NOX3 Antibody. The right hand panel represents a negative control, where the antibody was pre-incubated with the immunising peptide.
Enlarge Image
Western Blot - Anti-NOX3 Antibody (A97774)
Western blot analysis of various cells using Anti-NOX3 Antibody.
Enlarge Image
Western Blot - Anti-NOX3 Antibody (A97774)
Western blot analysis of various cell Lysate using Anti-NOX3 Antibody.
Publishing research using Anti-NOX3 Antibody (A97774)? Please
let us know
so that we can list the citation on this page.
Alternative products to Anti-NOX3 Antibody (A97774)
(2)
A35935
Anti-MOX-2 Antibody
Rabbit polyclonal antibody to MOX-2 for ELISA, WB and IHC.
A25982
Anti-MOX-2 (N184) Antibody
Rabbit polyclonal antibody to MOX-2 (N184) for WB and IHC.
(2)
A46955
Anti-NOX3 Antibody
Rabbit polyclonal antibody to NOX3 for IHC.
(2)
A35935
Anti-MOX-2 Antibody
Rabbit polyclonal antibody to MOX-2 for ELISA, WB and IHC.
A25982
Anti-MOX-2 (N184) Antibody
Rabbit polyclonal antibody to MOX-2 (N184) for WB and IHC.
(2)
A46955
Anti-NOX3 Antibody
Rabbit polyclonal antibody to NOX3 for IHC.
Proteins predicted to interact with NOX3
Predicted protein interactions based upon String database. Revelancy score correlates with probability of interaction.
p22phox Antibodies
99.9% Relevancy Score
NOXO1 Antibodies
99.6% Relevancy Score
NOX4 Antibodies
99.2% Relevancy Score
p47phox Antibodies
99.1% Relevancy Score
NOX2 Antibodies
99.1% Relevancy Score
NOX1 Antibodies
99.1% Relevancy Score
DUOX1 Antibodies
99% Relevancy Score
NOXA1 Antibodies
98.9% Relevancy Score
NOX5 Antibodies
98.6% Relevancy Score
Top