Primary Antibodies
Secondary Antibodies
Proteins & Peptides
ELISA Kits
About Us
Contact Us
Sign In/Register
0
ISO 9001:2015 Certified
Live Customer Support
4.5/5 on Trustpilot
100% Quality Guarantee
Home
Primary Antibodies
NPY1R Antibodies
Anti-NPY1R Antibody (A38149)
Anti-NPY1R Antibody (A38149)
Overview
Specifications
Images
Enlarge Image
Enlarge Image
$390
Rabbit polyclonal antibody to NPY1R for WB and IHC.
100% Guarantee
Price Match Guarantee
Product Size:
50µl
100µl
Quantity:
1
2
3
4
5
6
7
8
9
10
Add To Cart
Request a Quotation
Custom or Bulk Request
Shipping Information
Freight/Packing Charges:
$40
Dispatched from St. Louis, MO.
Lead Time: 6-9 business days.
Specifications
Name
Anti-NPY1R Antibody
Description
Rabbit polyclonal antibody to NPY1R
Specificity
The antibody detects endogenous level of total NPY1R antibody.
Applications
WB
,
IHC
Reactivity
Human, Mouse
Immunogen
A synthetic peptide of human NPY1R.
Host
Rabbit
Clonality
Polyclonal
Conjugate
Unconjugated
Purification
Antibodies were purified by affinity purification using immunogen.
Concentration
1 mg/ml
Formulation
Supplied at 1.0mg / mL in phosphate buffered saline (without Mg2+ and Ca2+), pH 7.4, 150mM NaCl, 0.02% sodium azide and 50% glycerol.
Storage
Store at -20˚C
Synonyms
Neuropeptide Y receptor type 1, NPY1-R, NPYR, NPYY1
Suitable Secondaries
Goat Anti-Rabbit IgG H&L Antibody (AP) (A294874)
Goat Anti-Rabbit IgG H&L Antibody (Biotin) (A294795)
Goat Anti-Rabbit IgG H&L Antibody (FITC) (A294887)
Goat Anti-Rabbit IgG H&L Antibody (HRP) (A294888)
See all Anti-Rabbit IgG Secondaries →
Disclaimer
This product is for research use only. It is not intended for diagnostic or therapeutic use.
Scientific Validation Data
Validation Data
(2)
Enlarge Image
Anti-NPY1R Antibody (A38149)
Western blot analysis of extracts of mouse fetal brain cell line, using NPY1R antibody.
Enlarge Image
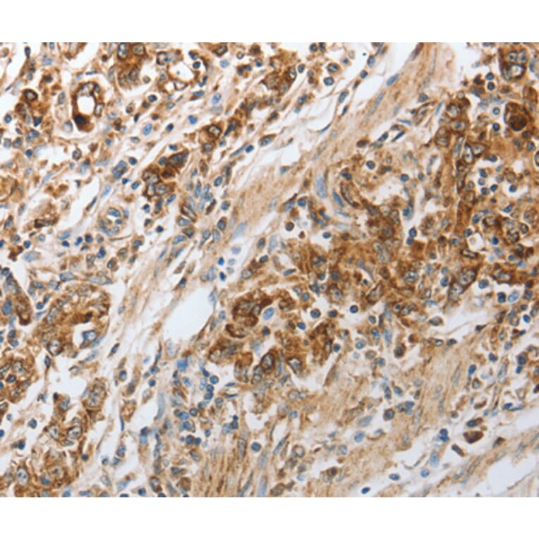
Immunohistochemistry - Anti-NPY1R Antibody (A38149)
Immunohistochemistry analysis of paraffin-embedded human gastric cancer tissue using NPY1R antibody.
Publishing research using Anti-NPY1R Antibody (A38149)? Please
let us know
so that we can list the citation on this page.
Alternative products to Anti-NPY1R Antibody (A38149)
(2)
A97383
Anti-NPY1R Antibody
Rabbit polyclonal antibody to NPY1R for WB and ELISA.
A121662
Anti-NPY1R Antibody
Goat polyclonal antibody to NPY1R for WB.
A26411
Anti-NPY1-R (R254) Antibody
Rabbit polyclonal antibody to NPY1-R (R254) for WB and IF.
(2)
A48158
Anti-NPY1R Antibody
Rabbit polyclonal antibody to NPY1R for E, WB and IHC.
A54714
Anti-NPY1R Antibody
Rabbit polyclonal antibody to NPY1R for ELISA, IP and WB.
A97384
Anti-NPY1R Antibody
Rabbit polyclonal antibody to NPY1R for WB and ELISA.
A282853
Anti-NPY1R Antibody
Sheep polyclonal antibody to NPY1R for WB, IHC-P, ELISA and IF.
(2)
A97383
Anti-NPY1R Antibody
Rabbit polyclonal antibody to NPY1R for WB and ELISA.
A121662
Anti-NPY1R Antibody
Goat polyclonal antibody to NPY1R for WB.
A26411
Anti-NPY1-R (R254) Antibody
Rabbit polyclonal antibody to NPY1-R (R254) for WB and IF.
(2)
A48158
Anti-NPY1R Antibody
Rabbit polyclonal antibody to NPY1R for E, WB and IHC.
A54714
Anti-NPY1R Antibody
Rabbit polyclonal antibody to NPY1R for ELISA, IP and WB.
A97384
Anti-NPY1R Antibody
Rabbit polyclonal antibody to NPY1R for WB and ELISA.
A282853
Anti-NPY1R Antibody
Sheep polyclonal antibody to NPY1R for WB, IHC-P, ELISA and IF.
See all NPY1R Antibodies
Proteins predicted to interact with NPY1R
Predicted protein interactions based upon String database. Revelancy score correlates with probability of interaction.
Peptide YY Antibodies
99.9% Relevancy Score
Neuropeptide Y Antibodies
99.9% Relevancy Score
GNAI1 Antibodies
99.2% Relevancy Score
Pancreatic Polypeptide Antibodies
97.2% Relevancy Score
Ghrelin Antibodies
92.1% Relevancy Score
GNAI3 Antibodies
91.7% Relevancy Score
GNAI2 Antibodies
91.4% Relevancy Score
NPY5R Antibodies
89.1% Relevancy Score
GNG2 Antibodies
82.7% Relevancy Score
Top