ISO 9001:2015 Certified
Live Customer Support
4.5/5 on Trustpilot
100% Quality Guarantee

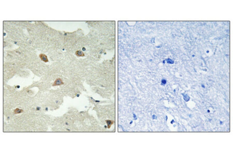
Anti-NSG1 Antibody (A97994)

Rabbit polyclonal antibody to NSG1 for WB, IHC, IF and ELISA.

Shipping Information

$40
Dispatched from St. Louis, MO.
Lead Time: 6-8 business days.
Name
Anti-NSG1 Antibody
Description
Rabbit polyclonal antibody to NSG1.
Applications
WB, IHC, IF, ELISA
Dilutions
WB: 1:500~1:1000, ELISA: 1:20000
Reactivity
Human, Mouse, Rat
Cross Reactivity
No reported cross-reactivity.
Immunogen
Synthetic peptide derived from human NSG1 (amino acids 112-161).
Host
Rabbit
Clonality
Polyclonal
Isotype
IgG
Conjugate

Unconjugated

Purification
Purified from rabbit serum by antigen affinity chromatography using the immunizing peptide.
Molecular Weight
20kDa
Product Form
Liquid
Formulation
Supplied in Phosphate Buffered Saline (without Mg2+ and Ca2+), pH 7.4, with 150mM NaCl, 0.02% Sodium Azide, and 50% Glycerol.
Storage
Shipped at 4°C. Upon delivery aliquot and store at -20°C. Avoid freeze / thaw cycles.
Synonyms
D4S234, NEEP21, Neuron-enriched endosomal protein of 21 kDa, Neuron-specific protein family member 1, Neuronal vesicle trafficking-associated protein 1, NSG1
Disclaimer
This product is for research use only. It is not intended for diagnostic or therapeutic use.
Publishing research using Anti-NSG1 Antibody (A97994)? Please let us know so that we can list the citation on this page.

Alternative products to Anti-NSG1 Antibody (A97994)

Proteins predicted to interact with D4S234E

Predicted protein interactions based upon String database. Revelancy score correlates with probability of interaction.
80.6% Relevancy Score
78.4% Relevancy Score
74.9% Relevancy Score
73.9% Relevancy Score
64.5% Relevancy Score
57.9% Relevancy Score
55.7% Relevancy Score
50.2% Relevancy Score
49.6% Relevancy Score