Immunohistochemistry analysis of a NBF fixed paraffin embedded human brain cortex section with Anti-Nuclear Pore Complex Proteins Antibody [39C7] (A85460) supernatant, dilution 1:2, detected in DAB (brown) following the ImmPress method with citra buffer retrieval. Counterstained with Hematoxylin (blue). The nuclear pore complex antibody labels nuclei in a granular pattern that concentrates at the nuclear membrane. Note: this antibody performs well in testing with both 4% PFA and standard NBF fixed tissues.
Human HeLa cells were stained with Anti-Nuclear Pore Complex Antibody (green), which binds to a nuclear pore complex antigen, and Anti-Vimentin Antibody (A85421 | red). Note the close apposition of cytoplasmic vimentin intermediate filaments with the nuclear membrane, revealed by the Anti-Nuclear Pore Complex Antibody binding to the nuclear pores.
Immunofluorescent analysis of HeLa cells stained with Anti-Nuclear Pore Complex Antibody [39C7] (A85460), at a dilution of 1:100, in red, and co-stained with Anti-Vimentin Antibody (A85421), at a dilution of 1:10,000, in green. The blue is DAPI staining of nuclear DNA. Anti-Nuclear Pore Complex Antibody [39C7] (A85460) reveals strong granular staining of the nuclei corresponding to the NPC, while the Anti-Vimentin Antibody (A85421) specifically labels intermediate filaments in these cells.
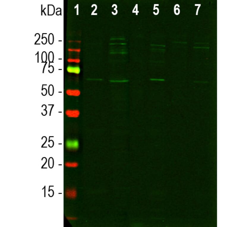
Western Blot - Anti-Nuclear Pore Complex Proteins Antibody [39C7] (A85460)
Western blot analysis of different cell lysates, cytosol or nuclear enriched fractions using Anti-Nuclear Pore Complex Antibody [39C7] (A85460), at a dilution of 1:100, in green. The lanes contain samples of: [Lane 1] Protein standards, in red, [Lane 2] HEK293 cytosol, [Lane 3] HEK293 nuclear, [Lane 4] NIH-3T3 cytosol, [Lane 5] NIH-3T3 nuclear, [Lane 6] HeLa cytosol, and [Lane 7] HeLa nuclear fraction lysate. The band at about 68 kDa represents a currently unidentified NPC protein which is detected predominantly in the nuclear enriched fractions of all cell lines.
Publishing research using Anti-Nuclear Pore Complex Proteins Antibody [39C7] (A85460)? Please let us know so that we can list the citation on this page.