The nucleus is normally around 5-10 μm in diameter and is the largest organelle in the cell. A cell nucleus is the main characteristic that distinguishes eukaryotic from prokaryotic cells. The main functions of the nucleus include gene transcription, pre-mRNA splicing, DNA replication and the assembly of ribosomes. The nucleus is separated from the cytoplasm by the nuclear envelope, which comprises the inner nuclear membrane (INM) and the outer nuclear membrane (ONM). The outer nuclear membrane (ONM) is continuous with the endoplasmic reticulum and faces the cytoplasm. The nuclear lamina lies on the inner surface of the inner nuclear membrane where it provides structural support for the nucleus. The main proteins of the nuclear lamina are lamins belonging to the intermediate filament protein superfamily. Mammals express A and B type lamins. The B-type lamins include lamin B1, lamin B2 and lamin B3, whilst the main A type lamins are lamins A and C. Transport between the cytoplasm and the nucleus occurs through nuclear pores, which are specialized channels in the nuclear envelope. A nuclear pore is composed of a collection of proteins called nucleoporins (Nups) that together make up a nuclear pore complex. Such a complex exhibits a diameter of approximately 120 nm. DNA is packaged in the nucleus with the aid of histones (core histones: H2A, H2B, H3, H4 and linker histones: H1/H5) and is situated in the nucleoplasm along with sub-nuclear bodies. Numerous sub-nuclear bodies have been reported including nucleoli, splicing speckles, Cajal bodies (CB), gems and promyelocytic leukaemia (PML) bodies. Unlike cytoplasmic organelles, sub-nuclear bodies do not possess a delineating membrane separating them from the nucleoplasm. However, the expression of characteristic resident proteins and other factors in these distinct sub-nuclear bodies is indicative of their specific nuclear functions. The most prominent sub-nuclear body in the nucleus is the nucleolus and is involved in ribosome biogenesis. We offer a large range of nuclear markers including c-Myc antibodies, CENPA antibodies, Histone H3 antibodies, and SIRT1 antibodies, covering various antibody formats, host species, and conjugates. Nuclear marker antibodies can be used in various laboratory applications, including subcellular fractionation to identify specific nuclear fraction markers, thus verifying preparation purity, and to probe other subcellular fractions for nuclear contamination.
Anti-GAPDH Antibody [1D4] (A85382) | |
10µl - 100µl/$190 – $5451 Citation | |
| Description: | Mouse monoclonal [1D4] antibody to GAPDH. |
| Applications: | WB, ICC/IF, IHC |
| Reactivity: | Human, Rat, Mouse, Bovine, Porcine, Horse, Monkey, Canine, Chicken |
| Conjugate: | Unconjugated |
Anti-GAPDH Antibody [GA1R] (A85271) | |
10µg - 200µg/$200 – $6202 Citations | |
| Description: | Mouse monoclonal (GA1R) antibody to GAPDH. |
| Applications: | Dot, ELISA, IS, WB |
| Reactivity: | BL-21 Bacteria, Chicken, Hamster, Human, Mouse, Rat, Rabbit, Saccharomyces cerevisiae, Sf9 Insect |
| Conjugate: | Unconjugated |
Anti-HSP70 Antibody [C92F3A-5] (A304773) | |
200µg/$555 | |
| Description: | Mouse monoclonal [C92F3A-5] antibody to HSP70. |
| Applications: | WB, IHC, ICC/IF, ELISA, Flow Cytometry, FACS, IEM, Block/Inhibit, Antibody Microarray |
| Reactivity: | Human, Mouse, Rat, Bovine, C. elegans, Canine, Chicken, Drosophila, Carp, Guinea Pig, Hamster, Monkey, Porcine, Rabbit, Sheep |
| Conjugate: | Unconjugated |
Anti-GAPDH Antibody (A85377) | |
10µl - 100µl/$190 – $545 | |
| Description: | Rabbit polyclonal antibody to GAPDH. |
| Applications: | WB, ICC/IF, IHC |
| Reactivity: | Human, Horse, Bovine, Porcine, Chicken, Rat, Mouse |
| Conjugate: | Unconjugated |
Anti-GAPDH Antibody (A83722) | |
100µg/$495 | |
| Description: | Goat polyclonal antibody to GAPDH. |
| Applications: | ELISA, WB, IF, IHC |
| Reactivity: | Human, Rat |
| Conjugate: | Unconjugated |
Anti-GAPDH Antibody [6C5] (A279474) | |
200µg/$495 | |
| Description: | Mouse monoclonal [6C5] antibody to GAPDH. |
| Applications: | WB, ELISA, IF, IHC-Fr, IP |
| Reactivity: | Rabbit, Human, Pig, Dog, Cat, Rat, Mouse, Xenopus, Tube-nosed Bat, Chicken, Vertebrates, Sheep, African green monkey , Crucian Carp |
| Conjugate: | Unconjugated |
Anti-HSP70 Antibody (A304824) | |
100µl/$520 | |
| Description: | Rabbit polyclonal antibody to HSP70. |
| Applications: | WB, IHC, ICC/IF, IP, ELISA |
| Reactivity: | Human, Mouse, Rat, Beluga, Bovine, Canine, Fish, Carp, Guinea Pig, Hamster, Monkey, Porcine, Sheep, Coral, Plant, Shark, L. amazonensis |
| Conjugate: | Unconjugated |
Anti-HSP70 Antibody [N27F3-4] (A305087) | |
200µg/$560 | |
| Description: | Mouse monoclonal [N27F3-4] antibody to HSP70. |
| Applications: | WB, IHC, ICC/IF, IP, Flow Cytometry, IEM |
| Reactivity: | Human, Mouse, Rat, Bovine, C. elegans, Beluga, Canine, Chicken, Drosophila, Fish, Guinea Pig, Hamster, Monkey, Porcine, Plant, Rabbit, Sheep, Xenopus |
| Conjugate: | Unconjugated |
Anti-HSP70 Antibody [BB70] (A305113) | |
200µg/$540 | |
| Description: | Mouse monoclonal [BB70] antibody to HSP70. |
| Applications: | WB, ICC/IF, IHC, IP |
| Reactivity: | Human, Mouse, Rat, Bovine, Sheep, Canine, Beluga, Fish, Guinea Pig, Porcine, Hamster, Rabbit, Chicken, Xenopus, Drosophila, Yeast |
| Conjugate: | Unconjugated |
Anti-Calreticulin Antibody (A305091) | |
200µl/$440 | |
| Description: | Rabbit polyclonal antibody to Calreticulin. |
| Applications: | WB, IHC, ICC/IF, IP, Flow Cytometry |
| Reactivity: | Human, Mouse, Rat, Bovine, Canine, Chicken, Guinea Pig, Monkey, Porcine, Hamster, Rabbit, Sheep |
| Conjugate: | Unconjugated |
Anti-GAPDH Antibody [ARC50888] (A309068) | |
100µl/$385 | |
| Description: | Rabbit monoclonal [ARC50888] antibody to GAPDH. |
| Applications: | WB, IHC, ICC/IF |
| Reactivity: | Human, Mouse, Rat |
| Conjugate: | Unconjugated |
Anti-TNF alpha Antibody [P/T2] (A251072) | |
100µg/$545 | |
| Description: | Mouse monoclonal [P/T2] antibody to TNF alpha. |
| Applications: | Flow Cytometry, IF, IHC-P |
| Reactivity: | Human, Mouse, Rat, Rabbit, Feline, Canine, Zebrafish |
| Conjugate: | Unconjugated |
Anti-Histone H4 (acetyl Lys8) Antibody (A16744) | |
100µl/$485 | |
| Description: | Rabbit polyclonal antibody to Histone H4 (acetyl Lys8). |
| Applications: | WB, IHC, ICC/IF, IP, ChIP, ChIP-seq |
| Reactivity: | Human, Mouse, Rat |
| Conjugate: | Unconjugated |
Anti-Calreticulin Antibody [6C6] (A85411) | |
10µl - 100µl/$190 – $545 | |
| Description: | Mouse monoclonal [6C6] antibody to Calreticulin. |
| Applications: | WB, ICC/IF, IHC |
| Reactivity: | Human, Rat, Mouse |
| Conjugate: | Unconjugated |
Anti-GAPDH Antibody (A92899) | |
100µl/$195 | |
| Description: | Rabbit polyclonal antibody to GAPDH. |
| Applications: | WB, IHC, ICC/IF, IP |
| Reactivity: | Human, Mouse, Rat |
| Conjugate: | Unconjugated |
Anti-HIF-1alpha Antibody (A95079) | |
10µg - 100µg/$190 – $475 | |
| Description: | Rabbit polyclonal antibody to HIF-1alpha. |
| Applications: | WB, IHC, ELISA |
| Reactivity: | Human, Mouse, Rat |
| Conjugate: | Unconjugated |
Anti-HSP70 Antibody [3A3] (A305077) | |
100µg/$485 | |
| Description: | Mouse monoclonal [3A3] antibody to HSP70. |
| Applications: | WB, IHC, ICC/IF, IP, Antibody Microarray |
| Reactivity: | Human, Mouse, Rat, Amphibians, Chicken, Fish, Yeast, Drosophila, Bacteria, Brine Shrimp |
| Conjugate: | Unconjugated |
Anti-GAPDH (1A6) Antibody (A32410) | |
50µl - 100µl/$390 – $530 | |
| Description: | Mouse monoclonal antibody to GAPDH (1A6) |
| Applications: | ELISA, WB, IHC, IF |
| Reactivity: | Human, Mouse, Rabbit, Frog, Fish, Chicken, Rat |
| Conjugate: | Unconjugated |
Anti-GAPDH Antibody [6C5] (HRP) (A279473) | |
100µg/$435 | |
| Description: | Mouse monoclonal [6C5] antibody to GAPDH (HRP). |
| Applications: | IHC-Fr, WB, ELISA |
| Reactivity: | Rabbit, Human, Pig, Dog, Cat, Rat, Mouse, Xenopus, Tube-nosed Bat, Chicken, Vertebrates, Sheep, African green monkey , Crucian Carp |
| Conjugate: | HRP |
Anti-TNFA Antibody (A96114) | |
10µg - 100µg/$190 – $475 | |
| Description: | Rabbit polyclonal antibody to TNFA. |
| Applications: | IHC, IF, ELISA |
| Reactivity: | Human, Mouse, Rat |
| Conjugate: | Unconjugated |
Anti-Hsp70 Antibody (A32267) | |
50µl - 100µl/$455 – $635 | |
| Description: | Rabbit monoclonal antibody to Hsp70 |
| Applications: | WB, ICC/IF, IHC, FC |
| Reactivity: | Human, Mouse, Rat |
| Conjugate: | Unconjugated |
Anti-NUP98 Antibody [2H10] (A378) | |
100µg/$555 | |
| Description: | Rat monoclonal (2H10) antibody to NUP98. |
| Applications: | WB, DB, ICC/IF, ELISA, IP |
| Reactivity: | Human, Mouse, Rat, Schizosaccharomyces pombe |
| Conjugate: | Unconjugated |
Anti-TNF alpha Antibody (A80560) | |
100µl/$355 | |
| Description: | Rabbit polyclonal antibody to TNF alpha. |
| Applications: | WB, IHC-P, ICC/IF, ELISA |
| Reactivity: | Human, Mouse, Rat |
| Conjugate: | Unconjugated |
Anti-Calreticulin Antibody (A13022) | |
100µl/$355 | |
| Description: | Rabbit polyclonal antibody to Calreticulin. |
| Applications: | WB, IHC, ICC/IF |
| Reactivity: | Human, Mouse, Rat |
| Conjugate: | Unconjugated |
Anti-Histone H4 (di methyl Lys20) Antibody (A16719) | |
100µl/$485 | |
| Description: | Rabbit polyclonal antibody to Histone H4 (di methyl Lys20). |
| Applications: | WB, IHC, ICC/IF, IP, ChIP, ChIP-seq |
| Reactivity: | Human, Mouse, Rat |
| Conjugate: | Unconjugated |
Anti-HSP70 Antibody [5A5] (A305076) | |
100µg/$485 | |
| Description: | Mouse monoclonal [5A5] antibody to HSP70. |
| Applications: | WB, IHC, ICC/IF, IP, Antibody Microarray |
| Reactivity: | Human, Mouse, Rat, Amphibians, Chicken, Fish, Yeast, Drosophila |
| Conjugate: | Unconjugated |
Anti-Histone H4 (Acetyl-K5) Antibody (A32325) | |
50µl - 100µl/$455 – $635 | |
| Description: | Rabbit monoclonal antibody to Histone H4 (Acetyl-K5) |
| Applications: | WB, ICC/IF, IHC |
| Reactivity: | Human, Mouse, Rat |
| Conjugate: | Unconjugated |
Anti-GAPDH Antibody (A82908) | |
100µg/$495 | |
| Description: | Goat polyclonal antibody to GAPDH. |
| Applications: | ELISA, WB, IHC, IF |
| Reactivity: | Human, Mouse, Rat |
| Conjugate: | Unconjugated |
Anti-GAPDH Antibody [4G5] (A279385) | |
200µg/$495 | |
| Description: | Mouse monoclonal [4G5] antibody to GAPDH. |
| Applications: | WB, ELISA, IF, IHC-Fr, IP |
| Reactivity: | Human, Bovine, Pig, Goat, Cat, Rat, Mouse, Dog, Rabbit, Fish |
| Conjugate: | Unconjugated |
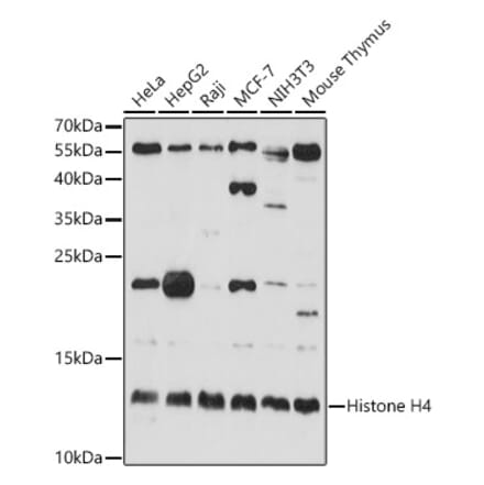
Anti-Histone H4 Antibody (A34292) | |
50µl - 100µl/$275 – $405 | |
| Description: | Rabbit polyclonal antibody to Histone H4 |
| Applications: | WB, IHC, IF, ELISA |
| Reactivity: | Human, Mouse, Rat, Monkey |
| Conjugate: | Unconjugated |
Anti-GAPDH Antibody (A121579) | |
400µg - 1mg/$555 – $740 | |
| Description: | Goat polyclonal antibody to GAPDH. |
| Applications: | WB, IF, IHC-P, IHC-Fr |
| Reactivity: | Human, Rat, Mouse, Zebrafish, Canine, Monkey |
| Conjugate: | Unconjugated |
Anti-Histone H4 (acetyl Lys5) Antibody [ARC0002] (A306100) | |
100µl/$485 | |
| Description: | Rabbit monoclonal [ARC0002] antibody to Histone H4 (acetyl Lys5). |
| Applications: | WB, IHC, ICC/IF, Dot Blot |
| Reactivity: | Human, Mouse, Rat |
| Conjugate: | Unconjugated |
Anti-HSP70 Antibody [2A4] (A305075) | |
100µg/$485 | |
| Description: | Mouse monoclonal [2A4] antibody to HSP70. |
| Applications: | WB, IHC, ICC/IF, IP, Antibody Microarray |
| Reactivity: | Human, Mouse, Rat, Amphibians, Chicken, Fish, Yeast, Drosophila |
| Conjugate: | Unconjugated |
Anti-Histone H2A Antibody [ARC2072] (A307778) | |
100µl/$485 | |
| Description: | Rabbit monoclonal [ARC2072] antibody to Histone H2A. |
| Applications: | WB, IHC, IP |
| Reactivity: | Human, Mouse, Rat |
| Conjugate: | Unconjugated |
Anti-TNF alpha Antibody [MAb11] (A86713) | |
10µg - 100µg/$200 – $340 | |
| Description: | Mouse monoclonal [MAb11] antibody to TNF alpha. |
| Applications: | Flow Cytometry, IHC-Fr, ICC, ELISA |
| Reactivity: | Porcine, Human, Non-Human Primates |
| Conjugate: | Unconjugated |
Anti-TNF alpha Antibody [4C6-H8] (A251070) | |
100µg/$545 | |
| Description: | Mouse monoclonal [4C6-H8] antibody to TNF alpha. |
| Applications: | Flow Cytometry, IF, IHC-P |
| Reactivity: | Human, Mouse, Rat, Rabbit, Feline, Canine, Zebrafish |
| Conjugate: | Unconjugated |
Anti-ASH2L Antibody (A32374) | |
50µl - 100µl/$455 – $635 | |
| Description: | Rabbit monoclonal antibody to ASH2L |
| Applications: | WB, ICC/IF, IHC |
| Reactivity: | Human, Mouse, Rat |
| Conjugate: | Unconjugated |
Anti-TNF alpha Antibody [SPM543] (A251071) | |
100µg/$545 | |
| Description: | Mouse monoclonal [SPM543] antibody to TNF alpha. |
| Applications: | Flow Cytometry, IF, IHC-P |
| Reactivity: | Human, Mouse, Rat, Rabbit, Feline, Canine, Zebrafish |
| Conjugate: | Unconjugated |
Anti-Histone H4 (mono methyl Lys20) Antibody (A16718) | |
100µl/$485 | |
| Description: | Rabbit polyclonal antibody to Histone H4 (mono methyl Lys20). |
| Applications: | WB, IHC, ICC/IF, Dot Blot |
| Reactivity: | Human, Mouse, Rat |
| Conjugate: | Unconjugated |
Anti-NUP98 Antibody [21A10] (A382) | |
100µg/$555 | |
| Description: | Mouse monoclonal (21A10) antibody to NUP98. |
| Applications: | WB, ICC/IF |
| Reactivity: | Human, Mouse, Saccharomyces cerevisiae, Schizosaccharomyces pombe, Tetrahymena |
| Conjugate: | Unconjugated |
Anti-Histone H4 (di methyl Arg3) Antibody (A16733) | |
100µl/$485 | |
| Description: | Rabbit polyclonal antibody to Histone H4 (di methyl Arg3). |
| Applications: | IHC, ICC/IF, Dot Blot |
| Reactivity: | Human, Mouse, Rat |
| Conjugate: | Unconjugated |
Anti-Histone H4 (acetyl Lys5) Antibody (A306101) | |
100µl/$485 | |
| Description: | Rabbit polyclonal antibody to Histone H4 (acetyl Lys5). |
| Applications: | WB, IHC, IP, ChIP |
| Reactivity: | Human, Mouse, Rat |
| Conjugate: | Unconjugated |
Anti-TNF alpha Antibody [P/T2] - BSA and Azide free (A254349) | |
100µg/$545 | |
| Description: | Mouse monoclonal [P/T2] antibody to TNF alpha. |
| Applications: | Flow Cytometry, IF, IHC-P |
| Reactivity: | Human, Mouse, Rat, Rabbit, Feline, Canine, Zebrafish |
| Conjugate: | Unconjugated |
Anti-Histone H2A (Acetyl-K9) Antibody (A32319) | |
50µl - 100µl/$455 – $635 | |
| Description: | Rabbit monoclonal antibody to Histone H2A (Acetyl-K9) |
| Applications: | WB, ICC/IF, IHC |
| Reactivity: | Human, Mouse, Rat |
| Conjugate: | Unconjugated |
Anti-ASH2L Antibody [ARC0326] (A305306) | |
100µl/$485 | |
| Description: | Rabbit monoclonal [ARC0326] antibody to ASH2L. |
| Applications: | WB, IHC, ICC/IF |
| Reactivity: | Human, Mouse, Rat |
| Conjugate: | Unconjugated |
Anti-HIF-1 alpha Antibody (A295407) | |
100µl/$440 | |
| Description: | Rabbit polyclonal antibody to HIF-1 alpha. |
| Applications: | WB, IP, IHC, ICC/IF |
| Reactivity: | Human, Mouse |
| Conjugate: | Unconjugated |
Anti-Histone H4 (acetyl Lys12) Antibody (A91511) | |
100µl/$485 | |
| Description: | Rabbit polyclonal antibody to Histone H4 (acetyl Lys12). |
| Applications: | WB, IHC, ICC/IF |
| Reactivity: | Human, Mouse, Rat |
| Conjugate: | Unconjugated |
Anti-Calreticulin Antibody (A304193) | |
100µl/$510 | |
| Description: | Rabbit polyclonal antibody to Calreticulin. |
| Applications: | WB |
| Reactivity: | Human, Mouse, Rat, Bovine, Canine, Chicken, Guinea Pig, Monkey, Porcine, Hamster, Rabbit, Sheep |
| Conjugate: | Unconjugated |
Anti-NUP98 Antibody [13C2 + 21A10] (A383) | |
100µg/$555 | |
| Description: | Mouse monoclonal (13C2 + 21A10) antibody to NUP98. |
| Applications: | WB, ICC/IF |
| Reactivity: | Human, Saccharomyces cerevisiae, Schizosaccharomyces pombe, Tetrahymena |
| Conjugate: | Unconjugated |
Anti-SIRT1 Antibody (A91756) | |
100µl/$355 | |
| Description: | Rabbit polyclonal antibody to SIRT1. |
| Applications: | WB, ICC/IF, IP, ChIP |
| Reactivity: | Human, Mouse |
| Conjugate: | Unconjugated |
Showing 1-50 of 424 products