ISO 9001:2015 Certified
Live Customer Support
4.5/5 on Trustpilot
100% Quality Guarantee

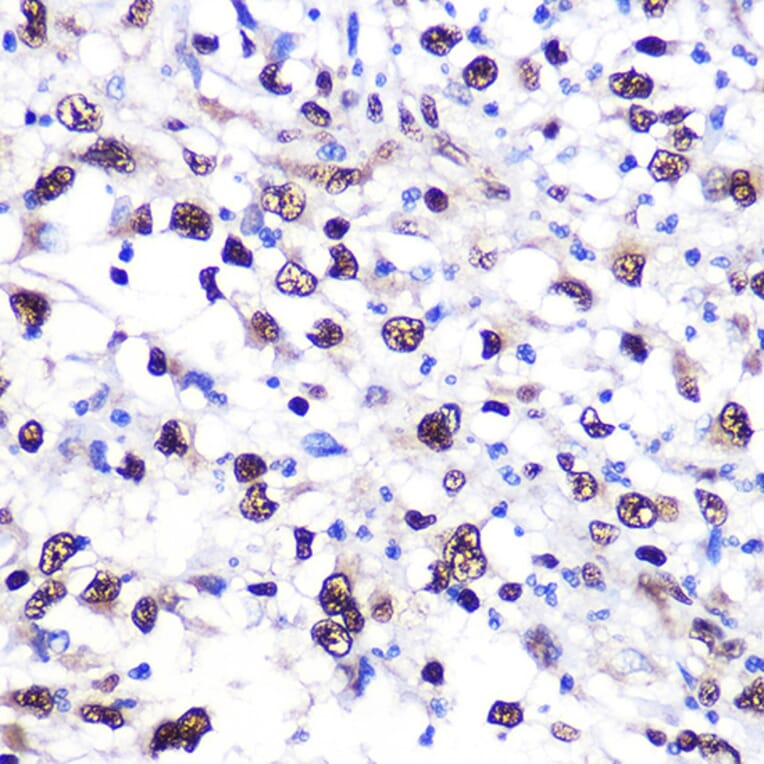
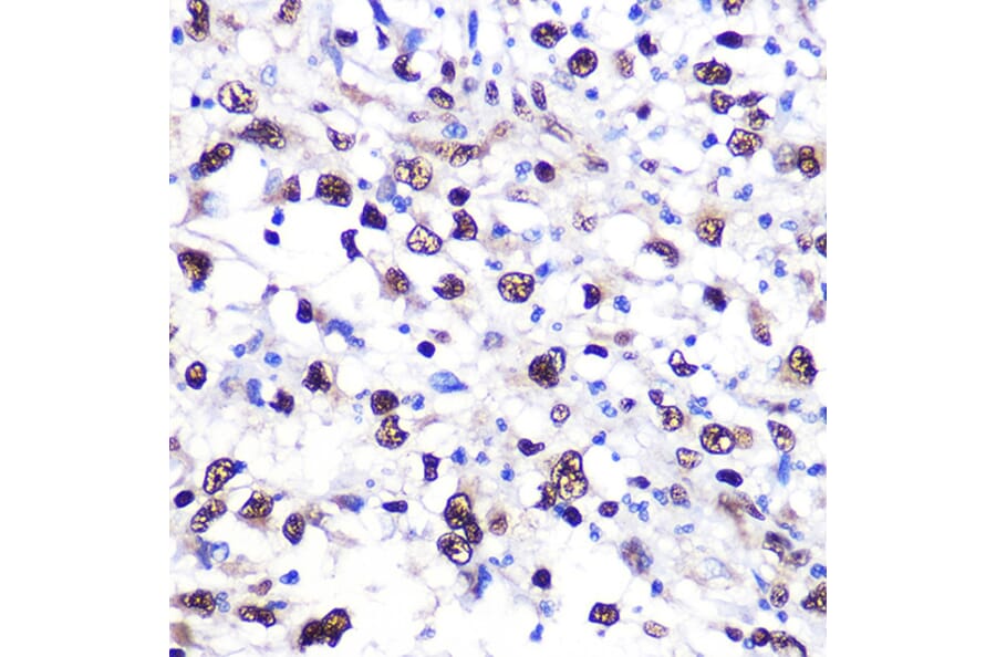
Anti-Nucleolin Antibody (A15046)

Rabbit polyclonal antibody to Nucleolin for WB and IHC.

Shipping Information

$40
Dispatched from St. Louis, MO.
Lead Time: 7-10 business days.
Name
Anti-Nucleolin Antibody
Description
Rabbit polyclonal antibody to Nucleolin.
Applications
WB, IHC
Dilutions
WB: 1:500-1:2,000, IHC: 1:50-1:200
Reactivity
Human, Mouse
Immunogen
Recombinant fusion protein containing a sequence corresponding to amino acids 300-466 of human NCL (NP_005372.2).
Sequence
GTEPTTAFNLFVGNLNFNKSAPELKTGISDVFAKNDLAVVDVRIGMTRKFGYVDFESAEDLEKALELTGLKVFGNEIKLEKPKGKDSKKERDARTLLAKNLPYKVTQDELKEVFEDAAEIRLVSKDGKSKGIAYIEFKTEADAEKTFEEKQGTEIDGRSISLYYTGE
Host
Rabbit
Clonality
Polyclonal
Isotype
IgG
Conjugate

Unconjugated

Purification
Affinity purification.
Concentration
Lot Specific
Molecular Weight
110 kDa
Product Form
Liquid
Formulation
Supplied in Phosphate Buffered Saline, pH 7.3, with 50% Glycerol and 0.01% Thiomersal.
Storage
Shipped at 4°C. Upon delivery aliquot and store at -20°C. Avoid freeze/thaw cycles.
Synonyms
NCL, Protein C23
Disclaimer
This product is for research use only. It is not intended for diagnostic or therapeutic use.
Publishing research using Anti-Nucleolin Antibody (A15046)? Please let us know so that we can list the citation on this page.

Alternative products to Anti-Nucleolin Antibody (A15046)

Proteins predicted to interact with Nucleolin

Predicted protein interactions based upon String database. Revelancy score correlates with probability of interaction.
99.9% Relevancy Score
99.7% Relevancy Score
99.3% Relevancy Score
97.4% Relevancy Score
97.1% Relevancy Score
96.6% Relevancy Score
96.6% Relevancy Score
96.1% Relevancy Score
95.7% Relevancy Score