ISO 9001:2015 Certified
Live Customer Support
4.5/5 on Trustpilot
100% Quality Guarantee

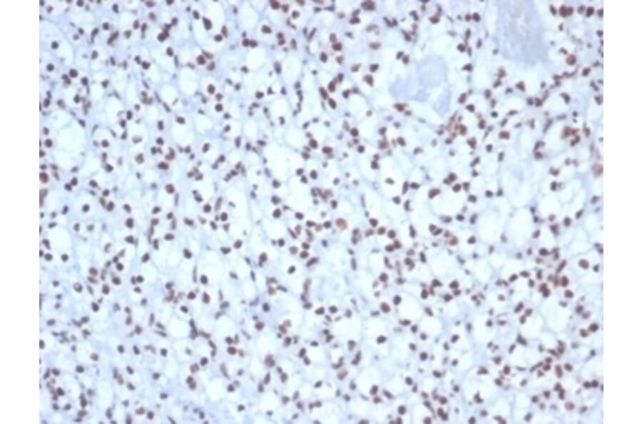
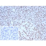
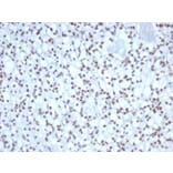
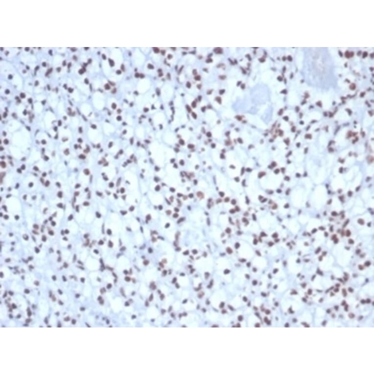
Anti-Nucleolin Antibody [NCL/7338] - BSA and Azide free (A278310)

Mouse monoclonal [NCL/7338] antibody to Nucleolin for IHC-P.

Alternative Formats and ConjugatesAlternative Formats

Shipping Information

$40
Dispatched from St. Louis, MO.
Lead Time: 5-8 business days.
Name
Anti-Nucleolin Antibody [NCL/7338] - BSA and Azide free
Description
Mouse monoclonal [NCL/7338] antibody to Nucleolin.
Specificity
This antibody recognizes a protein of ~76kDa, which is identified as Nucleolin (NCL). It is the major nucleolar phosphoprotein of growing eukaryotic cells. NCL is located mainly in dense fibrillar regions of the nucleolus. It is found associated with intranucleolar chromatin and pre-ribosomal particles. Human NCL gene consists of 14 exons with 13 introns and spans approximately 11kb. It induces chromatin decondensation by binding to histone H1. It is thought to play a role in pre-rRNA transcription and ribosome assembly.This MAb can be used to stain the nucleoli in cell or tissue preparations and can be used as a marker of the nucleoli in subcellular fractions. It produces a speckled pattern in the nuclei of cells of normal and malignant cells and may be used to stain the nucleoli of cells in fixed or frozen tissue sections. It can be used with paraformaldehyde fixed frozen tissue or cell preparations and formalin fixed, paraffin-embedded tissue sections.
Applications
IHC-P
Dilutions
IHC-P: 1-2 µg/ml
Reactivity
Human
Cross Reactivity
This antibody does not cross react with Mouse, Feline, Bovine, Canine, or Horse.
Immunogen
Recombinant full-length human NCL protein.
Host
Mouse
Clonality
Monoclonal
Clone ID
NCL/7338
Isotype
IgG2b
Light Chains
kappa
Conjugate

Unconjugated

Purification
Protein A/G chromatography.
Concentration
1 mg/ml
Molecular Weight
76 kDa
Product Form
Liquid
Formulation
Supplied in 10mM Phosphate Buffered Saline; without Sodium Azide and carrier free.
Storage
Shipped at 4°C. Upon delivery aliquot and store at -20°C. Avoid freeze / thaw cycles.
General Notes
This monoclonal antibody is also available in a different formulation with BSA and Sodium Azide - Anti-Nucleolin Antibody [NCL/7338] (A277722).
Synonyms
NCL, Protein C23
Disclaimer
This product is for research use only. It is not intended for diagnostic or therapeutic use.
Publishing research using Anti-Nucleolin Antibody [NCL/7338] - BSA and Azide free (A278310)? Please let us know so that we can list the citation on this page.

Alternative products to Anti-Nucleolin Antibody [NCL/7338] - BSA and Azide free (A278310)

Proteins predicted to interact with Nucleolin

Predicted protein interactions based upon String database. Revelancy score correlates with probability of interaction.
99.9% Relevancy Score
99.7% Relevancy Score
99.3% Relevancy Score
97.4% Relevancy Score
97.1% Relevancy Score
96.6% Relevancy Score
96.6% Relevancy Score
96.1% Relevancy Score
95.7% Relevancy Score