ISO 9001:2015 Certified
Live Customer Support
4.5/5 on Trustpilot
100% Quality Guarantee

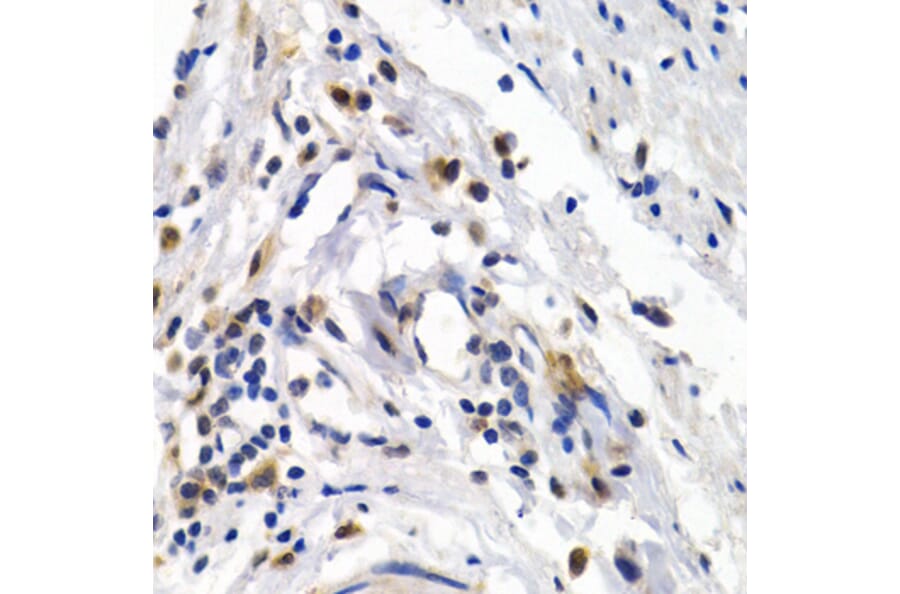
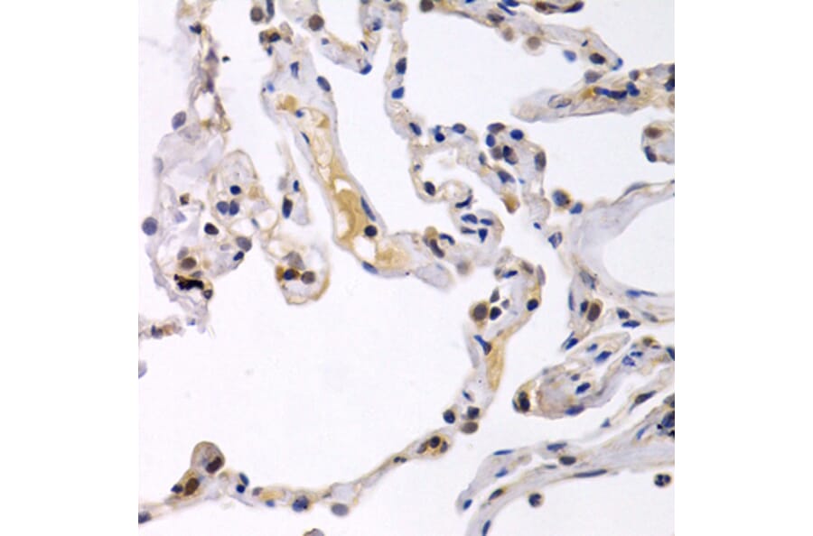
Anti-OAS1 Antibody (A30921)

$435

Rabbit polyclonal antibody to OAS1 for WB, IHC and IF.

Shipping Information

$40
Dispatched from St. Louis, MO.
Lead Time: 7-10 business days.
Name
Anti-OAS1 Antibody
Description
Rabbit polyclonal antibody to OAS1
Specificity
OAS1 pAb detects endogenous levels of OAS1 protein.
Applications
WB, IHC, IF
Reactivity
Human, Mouse, Rat
Immunogen
Recombinant full length Human OAS1.
Host
Rabbit
Clonality
Polyclonal
Conjugate

Unconjugated

Molecular Weight
~ 46 kDa
Purity
The antibody was affinity-purified from rabbit antiserum by affinity-chromatography using epitope-specific immunogen and the purity is > 95% (by SDS-PAGE).
Product Form
1mg/ml in PBS with 0.1% Sodium Azide, 50% Glycerol.
Synonyms
(2-5')oligo(A) synthase 1, 2'-5'-oligoadenylate synthase 1, 2-5A synthase 1, E18/E16, OIAS, p46/p42 OAS
Disclaimer
This product is for research use only. It is not intended for diagnostic or therapeutic use.
Publishing research using Anti-OAS1 Antibody (A30921)? Please let us know so that we can list the citation on this page.

Alternative products to Anti-OAS1 Antibody (A30921)

Proteins predicted to interact with OAS1

Predicted protein interactions based upon String database. Revelancy score correlates with probability of interaction.
99.9% Relevancy Score
98.6% Relevancy Score
98.5% Relevancy Score
98.3% Relevancy Score
96.7% Relevancy Score
96.6% Relevancy Score
96.4% Relevancy Score
96.1% Relevancy Score
96% Relevancy Score