Primary Antibodies
Secondary Antibodies
Proteins & Peptides
ELISA Kits
About Us
Contact Us
Sign In/Register
0
ISO 9001:2015 Certified
Live Customer Support
4.5/5 on Trustpilot
100% Quality Guarantee
Home
Primary Antibodies
OAS1 Antibodies
Anti-OAS1 Antibody (A39974)
Anti-OAS1 Antibody (A39974)
Overview
Specifications
Images
Enlarge Image
Enlarge Image
Enlarge Image
$415
Product Datasheet
Rabbit polyclonal antibody to OAS1 for WB.
100% Guarantee
Price Match Guarantee
Product Size:
50µl
100µl
Quantity:
1
2
3
4
5
6
7
8
9
10
Add To Cart
Request a Quotation
Custom or Bulk Request
Shipping Information
Freight/Packing Charges:
$40
Dispatched from St. Louis, MO.
Lead Time: 6-9 business days.
Specifications
Name
Anti-OAS1 Antibody
Description
Rabbit polyclonal antibody to OAS1
Specificity
The antibody detects endogenous level of total OAS1 antibody.
Applications
WB
Dilutions
Western blotting: 1:500 - 1:2000 Immunofluorescence: 1:50 - 1:100
Reactivity
Human, Mouse
Immunogen
Recombinant protein of human OAS1.
Host
Rabbit
Clonality
Polyclonal
Conjugate
Unconjugated
Purification
Antibodies were purified by affinity purification using immunogen.
Concentration
1.0 mg/mL
Formulation
Supplied in phosphate-buffered saline (without Mg²? and Ca²?), pH 7.4, containing 150 mM NaCl, 0.02% sodium azide, and 50% glycerol.
Storage
Shipped at 4°C. Upon delivery aliquot and store at -20°C. Avoid freeze/thaw cycles.
Synonyms
(2-5')oligo(A) synthase 1, 2'-5'-oligoadenylate synthase 1, 2-5A synthase 1, E18/E16, OIAS, p46/p42 OAS
Suitable Secondaries
Goat Anti-Rabbit IgG H&L Antibody (AP) (A294874)
Goat Anti-Rabbit IgG H&L Antibody (Biotin) (A294795)
Goat Anti-Rabbit IgG H&L Antibody (FITC) (A294887)
Goat Anti-Rabbit IgG H&L Antibody (HRP) (A294888)
See all Anti-Rabbit IgG Secondaries →
Disclaimer
This product is for research use only. It is not intended for diagnostic or therapeutic use.
Scientific Validation Data
Validation Data
(3)
Enlarge Image
Immunofluorescence - Anti-OAS1 Antibody (A39974)
Immunofluorescence analysis of HeLa cell using OAS1 antibody.
Enlarge Image
Immunohistochemistry - Anti-OAS1 Antibody (A39974)
Immunohistochemistry of paraffin-embedded human normal colon using OAS1 antibody at dilution of 1: 200 (400x lens).
Enlarge Image
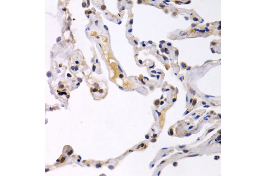
Immunohistochemistry - Anti-OAS1 Antibody (A39974)
Immunohistochemistry of paraffin-embedded human normal lung using OAS1 antibody at dilution of 1: 200 (400x lens).
Publishing research using Anti-OAS1 Antibody (A39974)? Please
let us know
so that we can list the citation on this page.
Alternative products to Anti-OAS1 Antibody (A39974)
(3)
A30921
Anti-OAS1 Antibody
Rabbit polyclonal antibody to OAS1 for WB, IHC and IF.
(2)
A48544
Anti-OAS1 Antibody
Rabbit polyclonal antibody to OAS1 for ELISA, WB and IHC.
A90010
Anti-OAS1 Antibody
Rabbit polyclonal antibody to OAS1 for WB and ELISA.
A82610
Anti-OAS1 Antibody
Goat polyclonal antibody to OAS1 for ELISA and WB.
A14038
Anti-OAS1 Antibody
Rabbit polyclonal antibody to OAS1 for WB.
A320096
Anti-OAS1 Antibody
Goat polyclonal antibody to OAS1 for WB.
(3)
A30921
Anti-OAS1 Antibody
Rabbit polyclonal antibody to OAS1 for WB, IHC and IF.
(2)
A48544
Anti-OAS1 Antibody
Rabbit polyclonal antibody to OAS1 for ELISA, WB and IHC.
A90010
Anti-OAS1 Antibody
Rabbit polyclonal antibody to OAS1 for WB and ELISA.
A82610
Anti-OAS1 Antibody
Goat polyclonal antibody to OAS1 for ELISA and WB.
A14038
Anti-OAS1 Antibody
Rabbit polyclonal antibody to OAS1 for WB.
A320096
Anti-OAS1 Antibody
Goat polyclonal antibody to OAS1 for WB.
See all OAS1 Antibodies
Proteins predicted to interact with OAS1
Predicted protein interactions based upon String database. Revelancy score correlates with probability of interaction.
OAS2 Antibodies
99.9% Relevancy Score
OAS3 Antibodies
98.6% Relevancy Score
MX1 Antibodies
98.5% Relevancy Score
ISG15 Antibodies
98.3% Relevancy Score
Viperin Antibodies
96.7% Relevancy Score
STAT1 Antibodies
96.6% Relevancy Score
RNase L Antibodies
96.4% Relevancy Score
IFI44 Antibodies
96.1% Relevancy Score
IFIT1 Antibodies
96% Relevancy Score
Top