Primary Antibodies
Secondary Antibodies
Proteins & Peptides
ELISA Kits
About Us
Contact Us
Sign In/Register
0
ISO 9001:2015 Certified
Live Customer Support
4.5/5 on Trustpilot
100% Quality Guarantee
Home
Primary Antibodies
Stathmin 1 Antibodies
Anti-op18 Antibody (A48374)
Anti-op18 Antibody (A48374)
Overview
Specifications
Images
Enlarge Image
Enlarge Image
$780
Product Datasheet
Rabbit polyclonal antibody to op18 for ELISA, WB and IHC.
100% Guarantee
Price Match Guarantee
Product Size:
100µl
Quantity:
1
2
3
4
5
6
7
8
9
10
Add To Cart
Request a Quotation
Custom or Bulk Request
Shipping Information
Freight/Packing Charges:
$40
Dispatched from St. Louis, MO.
Lead Time: 6-9 business days.
Specifications
Name
Anti-op18 Antibody
Description
Rabbit polyclonal antibody to op18
Applications
ELISA
,
WB
,
IHC
Reactivity
Human, Mouse, Rat
Immunogen
Raised against a 17 amino acid peptide from near the amino terminus of human op18.
Host
Rabbit
Clonality
Polyclonal
Conjugate
Unconjugated
Purification
Affinity chromatography purified via peptide column
Formulation
Supplied in phosphate-buffered saline with 0.02% Sodium Azide.
Storage
Shipped at 4°C. Upon delivery aliquot and store at -20°C. Avoid freeze/thaw cycles.
Synonyms
C1orf215, LAP18, Leukemia-associated phosphoprotein p18, Metablastin, Oncoprotein 18, Phosphoprotein p19, pp19, Prosolin, Stathmin, STMN1
Suitable Secondaries
Goat Anti-Rabbit IgG H&L Antibody (AP) (A294874)
Goat Anti-Rabbit IgG H&L Antibody (Biotin) (A294795)
Goat Anti-Rabbit IgG H&L Antibody (FITC) (A294887)
Goat Anti-Rabbit IgG H&L Antibody (HRP) (A294888)
See all Anti-Rabbit IgG Secondaries →
Disclaimer
This product is for research use only. It is not intended for diagnostic or therapeutic use.
Scientific Validation Data
Validation Data
(2)
Enlarge Image
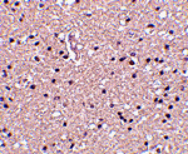
Anti-op18 Antibody (A48374)
Western blot analysis of op18 in human brain tissue lysate with op18 antibody at (A) 0.5 and (B) 1 µg/mL.
Enlarge Image
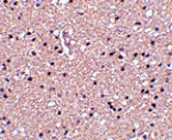
Immunohistochemistry - Anti-op18 Antibody (A48374)
Immunohistochemistry of op18 in human brain tissue with op18 antibody at 2.5 µg/mL.
Publishing research using Anti-op18 Antibody (A48374)? Please
let us know
so that we can list the citation on this page.
Alternative products to Anti-op18 Antibody (A48374)
(7)
A306459
Anti-Stathmin 1 Antibody [ARC0989]
Rabbit monoclonal [ARC0989] antibody to Stathmin 1 for WB, IHC, ICC/IF and IP.
(3)
A93458
Anti-Stathmin 1 (phospho Ser37) Antibody
Rabbit polyclonal antibody to Stathmin 1 (phospho Ser37) for WB, IHC, IF and ELISA.
(6)
A95065
Anti-Stathmin 1 Antibody
Rabbit polyclonal antibody to Stathmin 1 for WB, IHC, IF and ELISA.
(4)
A94571
Anti-Stathmin 1 (phospho Ser15) Antibody
Rabbit polyclonal antibody to Stathmin 1 (phospho Ser15) for WB, IHC, IF and ELISA.
(3)
A83488
Anti-Stathmin 1 Antibody
Goat polyclonal antibody to Stathmin 1 for ELISA, WB and IHC.
(2)
A94405
Anti-STMN1 (phospho Ser62) Antibody
Rabbit polyclonal antibody to STMN1 (phospho Ser62) for WB, IHC, IF and ELISA.
(3)
A93459
Anti-Stathmin 1 (phospho Ser24) Antibody
Rabbit polyclonal antibody to Stathmin 1 (phospho Ser24) for WB, IHC, IF and ELISA.
(2)
A34500
Anti-Op18 Antibody
Rabbit polyclonal antibody to Op18 for ELISA, WB, ICC/IF and IHC.
(2)
A27032
Anti-Op18 (A18) Antibody
Rabbit polyclonal antibody to Op18 (A18) for WB, IHC and IF.
(3)
A16523
Anti-Stathmin 1 (phospho Ser25) Antibody
Rabbit polyclonal antibody to Stathmin 1 (phospho Ser25) for WB and IHC.
A50114
Anti-Op18 (Phospho-Ser16) Antibody
Rabbit polyclonal antibody to Op18 (Phospho-Ser16) for WB, IHC, ICC/IF and ELISA.
(2)
A27033
Anti-Op18 (V31) Antibody
Rabbit polyclonal antibody to Op18 (V31) for WB and IHC.
(7)
A306459
Anti-Stathmin 1 Antibody [ARC0989]
Rabbit monoclonal [ARC0989] antibody to Stathmin 1 for WB, IHC, ICC/IF and IP.
(3)
A93458
Anti-Stathmin 1 (phospho Ser37) Antibody
Rabbit polyclonal antibody to Stathmin 1 (phospho Ser37) for WB, IHC, IF and ELISA.
(6)
A95065
Anti-Stathmin 1 Antibody
Rabbit polyclonal antibody to Stathmin 1 for WB, IHC, IF and ELISA.
(4)
A94571
Anti-Stathmin 1 (phospho Ser15) Antibody
Rabbit polyclonal antibody to Stathmin 1 (phospho Ser15) for WB, IHC, IF and ELISA.
(3)
A83488
Anti-Stathmin 1 Antibody
Goat polyclonal antibody to Stathmin 1 for ELISA, WB and IHC.
(2)
A94405
Anti-STMN1 (phospho Ser62) Antibody
Rabbit polyclonal antibody to STMN1 (phospho Ser62) for WB, IHC, IF and ELISA.
(3)
A93459
Anti-Stathmin 1 (phospho Ser24) Antibody
Rabbit polyclonal antibody to Stathmin 1 (phospho Ser24) for WB, IHC, IF and ELISA.
(2)
A34500
Anti-Op18 Antibody
Rabbit polyclonal antibody to Op18 for ELISA, WB, ICC/IF and IHC.
(2)
A27032
Anti-Op18 (A18) Antibody
Rabbit polyclonal antibody to Op18 (A18) for WB, IHC and IF.
(3)
A16523
Anti-Stathmin 1 (phospho Ser25) Antibody
Rabbit polyclonal antibody to Stathmin 1 (phospho Ser25) for WB and IHC.
A50114
Anti-Op18 (Phospho-Ser16) Antibody
Rabbit polyclonal antibody to Op18 (Phospho-Ser16) for WB, IHC, ICC/IF and ELISA.
(2)
A27033
Anti-Op18 (V31) Antibody
Rabbit polyclonal antibody to Op18 (V31) for WB and IHC.
See all op18 Antibodies
Proteins predicted to interact with Stathmin 1
Predicted protein interactions based upon String database. Revelancy score correlates with probability of interaction.
STAT3 Antibodies
95.4% Relevancy Score
p27 Antibodies
95.1% Relevancy Score
ERK2 Antibodies
94.9% Relevancy Score
ERK1 Antibodies
93.1% Relevancy Score
KIST Antibodies
91.7% Relevancy Score
ErbB4 Antibodies
77.4% Relevancy Score
p53 Antibodies
76.6% Relevancy Score
MAP4 Antibodies
73% Relevancy Score
Thymidylate Synthase Antibodies
72.1% Relevancy Score
Top