ISO 9001:2015 Certified
Live Customer Support
4.5/5 on Trustpilot
100% Quality Guarantee

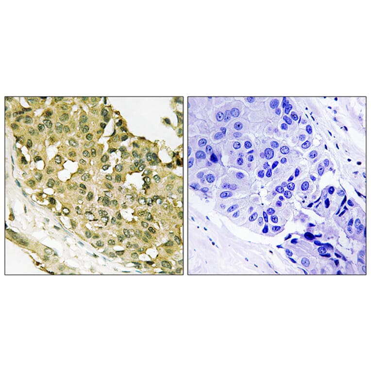
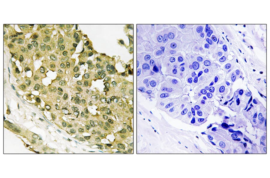
Anti-STMN1 (phospho Ser62) Antibody (A94405)

Rabbit polyclonal antibody to STMN1 (phospho Ser62) for WB, IHC, IF and ELISA.

Shipping Information

$40
Dispatched from St. Louis, MO.
Lead Time: 6-8 business days.
Name
Anti-STMN1 (phospho Ser62) Antibody
Description
Rabbit polyclonal antibody to STMN1 (phospho Ser62).
Specificity
This antibody detects endogenous levels of STMN1 only when phosphorylated at Ser62.
Applications
WB, IHC, IF, ELISA
Dilutions
WB: 1:500~1:1000, IHC: 1:50~1:100, ELISA: 1:40000
Reactivity
Human, Mouse, Rat, Monkey
Cross Reactivity
No reported cross-reactivity.
Immunogen
Synthetic peptide derived from human STMN1 around the phosphorylation site of Ser62 (amino acids 26-75).
Host
Rabbit
Clonality
Polyclonal
Isotype
IgG
Conjugate

Unconjugated

Purification
Purified from rabbit serum by antigen affinity chromatography using the immunizing phospho peptide.
Molecular Weight
17kDa
Product Form
Liquid
Formulation
Supplied in Phosphate Buffered Saline (without Mg2+ and Ca2+), pH 7.4, with 150mM NaCl, 0.02% Sodium Azide, and 50% Glycerol.
Storage
Shipped at 4°C. Upon delivery aliquot and store at -20°C. Avoid freeze / thaw cycles.
Synonyms
C1orf215, LAP18, Leukemia-associated phosphoprotein p18, Metablastin, Oncoprotein 18, OP18, Phosphoprotein p19, pp19, Prosolin, Stathmin, STMN1
Disclaimer
This product is for research use only. It is not intended for diagnostic or therapeutic use.
Publishing research using Anti-STMN1 (phospho Ser62) Antibody (A94405)? Please let us know so that we can list the citation on this page.

Alternative products to Anti-STMN1 (phospho Ser62) Antibody (A94405)

Proteins predicted to interact with Stathmin 1

Predicted protein interactions based upon String database. Revelancy score correlates with probability of interaction.
95.4% Relevancy Score
95.1% Relevancy Score
94.9% Relevancy Score
93.1% Relevancy Score
91.7% Relevancy Score
77.4% Relevancy Score
76.6% Relevancy Score
73% Relevancy Score
72.1% Relevancy Score