Primary Antibodies
Secondary Antibodies
Proteins & Peptides
ELISA Kits
About Us
Contact Us
Sign In/Register
0
ISO 9001:2015 Certified
Live Customer Support
4.5/5 on Trustpilot
100% Quality Guarantee
Home
Primary Antibodies
ORAI1 Antibodies
Anti-ORAI1 Antibody (A46130)
Anti-ORAI1 Antibody (A46130)
Overview
Specifications
Images
Enlarge Image
Enlarge Image
$430
Product Datasheet
Rabbit polyclonal antibody to ORAI1 for IHC and WB.
100% Guarantee
Price Match Guarantee
Product Size:
100µl
Quantity:
1
2
3
4
5
6
7
8
9
10
Add To Cart
Request a Quotation
Custom or Bulk Request
Shipping Information
Freight/Packing Charges:
$40
Dispatched from St. Louis, MO.
Lead Time: 6-9 business days.
Specifications
Name
Anti-ORAI1 Antibody
Description
Rabbit polyclonal antibody to ORAI1
Specificity
The antibody detects endogenous levels of total ORAI1 protein.
Applications
IHC
,
WB
Reactivity
Human
Immunogen
Synthetic peptide corresponding to a region derived from internal residues of human ORAI calcium release-activated calcium modulator 1
Host
Rabbit
Clonality
Polyclonal
Conjugate
Unconjugated
Purification
Antigen affinity purification.
Concentration
1.6 mg/mL
Formulation
Supplied in PBS, pH 7.3, containing 0.05% sodium azide and 50% glycerol.
Storage
Shipped at 4°C. Upon delivery aliquot and store at -20°C. Avoid freeze/thaw cycles.
Synonyms
Calcium release-activated calcium channel protein 1, CRACM1, Protein orai-1, TMEM142A, Transmembrane protein 142A
Suitable Secondaries
Goat Anti-Rabbit IgG H&L Antibody (AP) (A294874)
Goat Anti-Rabbit IgG H&L Antibody (Biotin) (A294795)
Goat Anti-Rabbit IgG H&L Antibody (FITC) (A294887)
Goat Anti-Rabbit IgG H&L Antibody (HRP) (A294888)
See all Anti-Rabbit IgG Secondaries →
Disclaimer
This product is for research use only. It is not intended for diagnostic or therapeutic use.
Scientific Validation Data
Validation Data
(2)
Enlarge Image
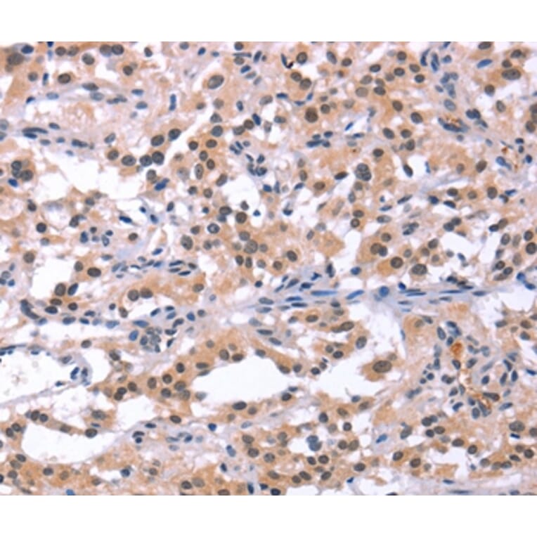
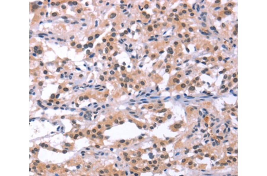
Immunohistochemistry - Anti-ORAI1 Antibody (A46130)
Immunohistochemical analysis of paraffin-embedded Human thyroid cancer tissue using #37133 at dilution 1/25.
Enlarge Image
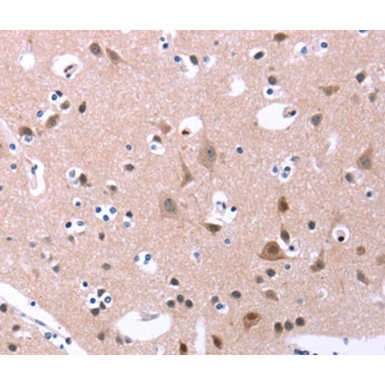
Immunohistochemistry - Anti-ORAI1 Antibody (A46130)
Immunohistochemical analysis of paraffin-embedded Human brain tissue using #37133 at dilution 1/25.
Publishing research using Anti-ORAI1 Antibody (A46130)? Please
let us know
so that we can list the citation on this page.
Alternative products to Anti-ORAI1 Antibody (A46130)
(2)
A47359
Anti-ORAI1 Antibody
Mouse monoclonal antibody to ORAI1 for ELISA, WB and IHC.
(2)
A47360
Anti-ORAI1 Antibody
Mouse monoclonal antibody to ORAI1 for ELISA, WB and IHC.
(2)
A84610
Anti-Orai1 Antibody
Goat polyclonal antibody to Orai1 for ELISA and WB.
(2)
A16900
Anti-Orai1 Antibody
Rabbit polyclonal antibody to Orai1 for WB.
(2)
A324168
Anti-Orai1 Antibody [Research Grade Antibody] - Low endotoxin, Azide free
Recombinant human monoclonal antibody to Orai1 for ELISA, FACS, Functional Assay and In Vivo.
(2)
A47920
Anti-ORAI1 Antibody
Rabbit polyclonal antibody to ORAI1 for ELISA, WB and IHC.
(2)
A47902
Anti-ORAI1 Antibody
Rabbit polyclonal antibody to ORAI1 for ELISA, WB and IHC.
A41635
Anti-ORAI1 (L1) Antibody
Rabbit polyclonal antibody to ORAI1 (L1) for WB.
(2)
A47359
Anti-ORAI1 Antibody
Mouse monoclonal antibody to ORAI1 for ELISA, WB and IHC.
(2)
A47360
Anti-ORAI1 Antibody
Mouse monoclonal antibody to ORAI1 for ELISA, WB and IHC.
(2)
A84610
Anti-Orai1 Antibody
Goat polyclonal antibody to Orai1 for ELISA and WB.
(2)
A16900
Anti-Orai1 Antibody
Rabbit polyclonal antibody to Orai1 for WB.
(2)
A324168
Anti-Orai1 Antibody [Research Grade Antibody] - Low endotoxin, Azide free
Recombinant human monoclonal antibody to Orai1 for ELISA, FACS, Functional Assay and In Vivo.
(2)
A47920
Anti-ORAI1 Antibody
Rabbit polyclonal antibody to ORAI1 for ELISA, WB and IHC.
(2)
A47902
Anti-ORAI1 Antibody
Rabbit polyclonal antibody to ORAI1 for ELISA, WB and IHC.
A41635
Anti-ORAI1 (L1) Antibody
Rabbit polyclonal antibody to ORAI1 (L1) for WB.
See all ORAI1 Antibodies
Proteins predicted to interact with ORAI1
Predicted protein interactions based upon String database. Revelancy score correlates with probability of interaction.
STIM1 Antibodies
99.9% Relevancy Score
STIM2 Antibodies
99.9% Relevancy Score
ORAI3 Antibodies
99.8% Relevancy Score
TRPC1 Antibodies
99.6% Relevancy Score
ORAI2 Antibodies
99.4% Relevancy Score
Calmodulin Antibodies
95.3% Relevancy Score
TRPC3 Antibodies
94.1% Relevancy Score
PKA C alpha Antibodies
92.1% Relevancy Score
PRKACB Antibodies
92% Relevancy Score
Top