Primary Antibodies
Secondary Antibodies
Proteins & Peptides
ELISA Kits
About Us
Contact Us
Sign In/Register
0
ISO 9001:2015 Certified
Live Customer Support
4.5/5 on Trustpilot
100% Quality Guarantee
Home
Primary Antibodies
ORAI1 Antibodies
Anti-ORAI1 Antibody (A47359)
Anti-ORAI1 Antibody (A47359)
Overview
Specifications
Images
Enlarge Image
Enlarge Image
$780
Product Datasheet
Mouse monoclonal antibody to ORAI1 for ELISA, WB and IHC.
100% Guarantee
Price Match Guarantee
Product Size:
100µl
Quantity:
1
2
3
4
5
6
7
8
9
10
Add To Cart
Request a Quotation
Custom or Bulk Request
Shipping Information
Freight/Packing Charges:
$40
Dispatched from St. Louis, MO.
Lead Time: 6-9 business days.
Specifications
Name
Anti-ORAI1 Antibody
Description
Mouse monoclonal antibody to ORAI1
Applications
ELISA
,
WB
,
IHC
Reactivity
Human, Mouse, Rat
Immunogen
Raised against a 16 amino acid peptide from near the carboxy terminus of human ORAI1.
Host
Mouse
Clonality
Monoclonal
Conjugate
Unconjugated
Purification
Immunoaffinity chromotography purified IgG
Formulation
Supplied in phosphate-buffered saline with 0.02% Sodium Azide.
Storage
Shipped at 4°C. Upon delivery aliquot and store at -20°C. Avoid freeze/thaw cycles.
Synonyms
Calcium release-activated calcium channel protein 1, CRACM1, Protein orai-1, TMEM142A, Transmembrane protein 142A
Suitable Secondaries
Goat Anti-Mouse IgG H&L Antibody (AP) (A301438)
Goat Anti-Mouse IgG H&L Antibody (Biotin) (A301439)
Goat Anti-Mouse IgG H&L Antibody (FITC) (A301669)
Goat Anti-Mouse IgG H&L Antibody (HRP) (A301445)
See all Anti-Mouse IgG Secondaries →
Disclaimer
This product is for research use only. It is not intended for diagnostic or therapeutic use.
Scientific Validation Data
Validation Data
(2)
Enlarge Image
Anti-ORAI1 Antibody (A47359)
Western blot analysis of ORAI1 in human ovary tissue lysate with ORAI1 antibody at (A) 1 and (B) 2 µg/mL.
Enlarge Image
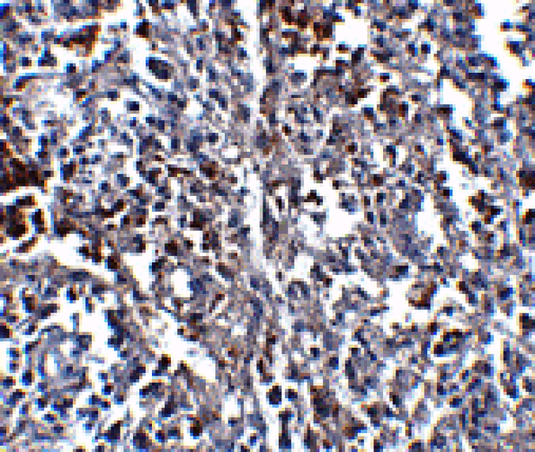
Immunohistochemistry - Anti-ORAI1 Antibody (A47359)
Immunohistochemistry of ORAI1 in human spleen tissue with ORAI1 antibody at 2.5 µg/mL.
Publishing research using Anti-ORAI1 Antibody (A47359)? Please
let us know
so that we can list the citation on this page.
Alternative products to Anti-ORAI1 Antibody (A47359)
(2)
A47360
Anti-ORAI1 Antibody
Mouse monoclonal antibody to ORAI1 for ELISA, WB and IHC.
(2)
A84610
Anti-Orai1 Antibody
Goat polyclonal antibody to Orai1 for ELISA and WB.
(2)
A16900
Anti-Orai1 Antibody
Rabbit polyclonal antibody to Orai1 for WB.
(2)
A324168
Anti-Orai1 Antibody [Research Grade Antibody] - Low endotoxin, Azide free
Recombinant human monoclonal antibody to Orai1 for ELISA, FACS, Functional Assay and In Vivo.
(2)
A47920
Anti-ORAI1 Antibody
Rabbit polyclonal antibody to ORAI1 for ELISA, WB and IHC.
(2)
A47902
Anti-ORAI1 Antibody
Rabbit polyclonal antibody to ORAI1 for ELISA, WB and IHC.
A41635
Anti-ORAI1 (L1) Antibody
Rabbit polyclonal antibody to ORAI1 (L1) for WB.
(2)
A46130
Anti-ORAI1 Antibody
Rabbit polyclonal antibody to ORAI1 for IHC and WB.
(2)
A47360
Anti-ORAI1 Antibody
Mouse monoclonal antibody to ORAI1 for ELISA, WB and IHC.
(2)
A84610
Anti-Orai1 Antibody
Goat polyclonal antibody to Orai1 for ELISA and WB.
(2)
A16900
Anti-Orai1 Antibody
Rabbit polyclonal antibody to Orai1 for WB.
(2)
A324168
Anti-Orai1 Antibody [Research Grade Antibody] - Low endotoxin, Azide free
Recombinant human monoclonal antibody to Orai1 for ELISA, FACS, Functional Assay and In Vivo.
(2)
A47920
Anti-ORAI1 Antibody
Rabbit polyclonal antibody to ORAI1 for ELISA, WB and IHC.
(2)
A47902
Anti-ORAI1 Antibody
Rabbit polyclonal antibody to ORAI1 for ELISA, WB and IHC.
A41635
Anti-ORAI1 (L1) Antibody
Rabbit polyclonal antibody to ORAI1 (L1) for WB.
(2)
A46130
Anti-ORAI1 Antibody
Rabbit polyclonal antibody to ORAI1 for IHC and WB.
See all ORAI1 Antibodies
Proteins predicted to interact with ORAI1
Predicted protein interactions based upon String database. Revelancy score correlates with probability of interaction.
STIM1 Antibodies
99.9% Relevancy Score
STIM2 Antibodies
99.9% Relevancy Score
ORAI3 Antibodies
99.8% Relevancy Score
TRPC1 Antibodies
99.6% Relevancy Score
ORAI2 Antibodies
99.4% Relevancy Score
Calmodulin Antibodies
95.3% Relevancy Score
TRPC3 Antibodies
94.1% Relevancy Score
PKA C alpha Antibodies
92.1% Relevancy Score
PRKACB Antibodies
92% Relevancy Score
Top