ISO 9001:2015 Certified
Live Customer Support
4.5/5 on Trustpilot
100% Quality Guarantee

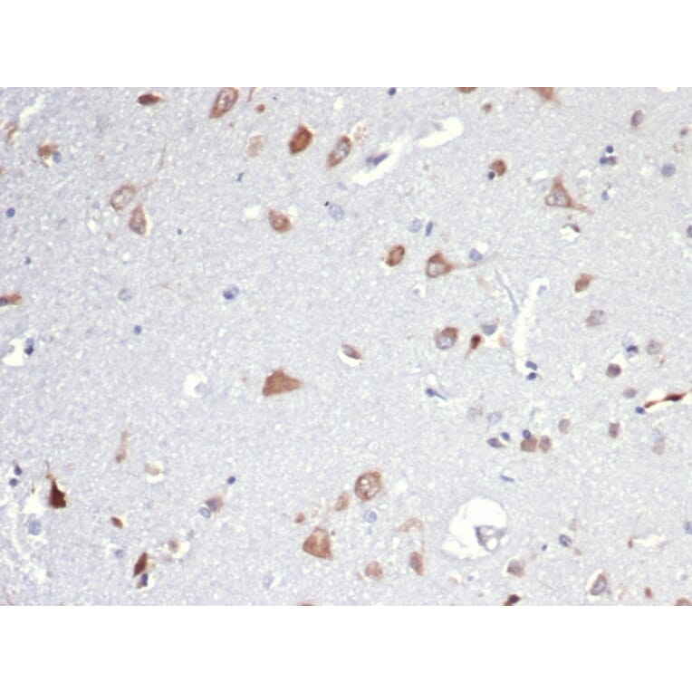
Anti-Osteopontin Antibody [OSP/4589] - BSA and Azide free (A253215)

Mouse monoclonal [OSP/4589] antibody to Osteopontin for Flow Cytometry, IF, WB and IHC-P.

Alternative Formats and ConjugatesAlternative Formats

Shipping Information

$40
Dispatched from St. Louis, MO.
Lead Time: 5-8 business days.
Name
Anti-Osteopontin Antibody [OSP/4589] - BSA and Azide free
Description
Mouse monoclonal [OSP/4589] antibody to Osteopontin.
Applications
Flow Cytometry, IF, WB, IHC-P
Dilutions
Flow Cytometry: 1-2 µg/million cells, IF: 1-2 µg/ml, WB: 1-2 µg/ml, IHC-P: 1-2 µg/ml
Reactivity
Human, Canine, Mink, Mouse, Rabbit, Rat, Turkey
Immunogen
Recombinant full-length rat Osteopontin protein.
Host
Mouse
Clonality
Monoclonal
Clone ID
OSP/4589
Isotype
IgG1
Light Chains
kappa
Conjugate

Unconjugated

Purification
Protein A/G chromatography.
Concentration
1 mg/ml
Molecular Weight
34.9 kDa
Product Form
Liquid
Formulation
Supplied in 10mM Phosphate Buffered Saline; without Sodium Azide and carrier free.
Storage
Shipped at 4°C. Upon delivery aliquot and store at -20°C. Avoid freeze / thaw cycles.
General Notes
This monoclonal antibody is also available in a different formulation with BSA and Sodium Azide - Anti-Osteopontin Antibody [OSP/4589] (A250035).
Synonyms
BNSP, Bone sialoprotein 1, Nephropontin, OPN, Secreted phosphoprotein 1, SPP-1, SPP1, Urinary stone protein, Uropontin
Disclaimer
This product is for research use only. It is not intended for diagnostic or therapeutic use.
Publishing research using Anti-Osteopontin Antibody [OSP/4589] - BSA and Azide free (A253215)? Please let us know so that we can list the citation on this page.

Alternative products to Anti-Osteopontin Antibody [OSP/4589] - BSA and Azide free (A253215)

Proteins predicted to interact with Osteopontin

Predicted protein interactions based upon String database. Revelancy score correlates with probability of interaction.
99.9% Relevancy Score
99.9% Relevancy Score
99.7% Relevancy Score
99.6% Relevancy Score
99.6% Relevancy Score
99.4% Relevancy Score
99.4% Relevancy Score
99.1% Relevancy Score
98.4% Relevancy Score