Western blot analysis of extracts of various cell lines, using Anti-P cadherin Antibody (A87960) at 1:3,000 dilution. The secondary antibody was Goat Anti-Rabbit IgG H&L Antibody (HRP) at 1:10,000 dilution. Lysates/proteins were present at 25µg per lane. The blocking buffer used was 3% non-fat dry milk in TBST. Detection was with a ECL Basic Kit. Exposure time: 90s.
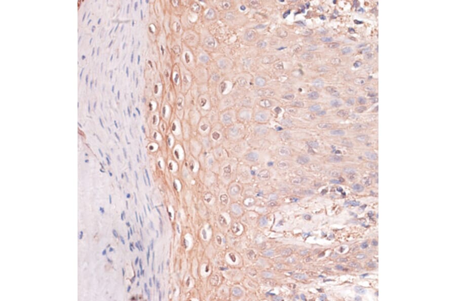
Immunohistochemistry analysis of paraffin-embedded human skin using Anti-P cadherin Antibody (A87960) at a dilution of 1:100 (40x lens). Perform microwave antigen retrieval with 10 mM PBS buffer pH 7.2 before commencing with IHC staining protocol.
Immunofluorescence analysis of A431 cells using Anti-P cadherin Antibody (A87960) at a dilution of 1:100 (40x lens). DAPI was used to stain the cell nuclei (blue).
Publishing research using Anti-P cadherin Antibody (A87960)? Please let us know so that we can list the citation on this page.
Alternative products to Anti-P cadherin Antibody (A87960)
Recombinant human monoclonal antibody to P-Cadherin for use as a research grade FF-21101 biosimilar for ELISA, Flow Cytometry, Functional Studies and in vivo Research.
Recombinant human monoclonal antibody to P-Cadherin for use as a research grade PCA062 biosimilar for ELISA, Flow Cytometry, Functional Studies and in vivo Research.
Recombinant human monoclonal antibody to P-Cadherin for use as a research grade PF-03732010 biosimil for ELISA, Flow Cytometry, Functional Studies and in vivo Research.
Recombinant human monoclonal antibody to P-Cadherin for use as a research grade FF-21101 biosimilar for ELISA, Flow Cytometry, Functional Studies and in vivo Research.
Recombinant human monoclonal antibody to P-Cadherin for use as a research grade PCA062 biosimilar for ELISA, Flow Cytometry, Functional Studies and in vivo Research.
Recombinant human monoclonal antibody to P-Cadherin for use as a research grade PF-03732010 biosimil for ELISA, Flow Cytometry, Functional Studies and in vivo Research.