ISO 9001:2015 Certified
Live Customer Support
4.5/5 on Trustpilot
100% Quality Guarantee

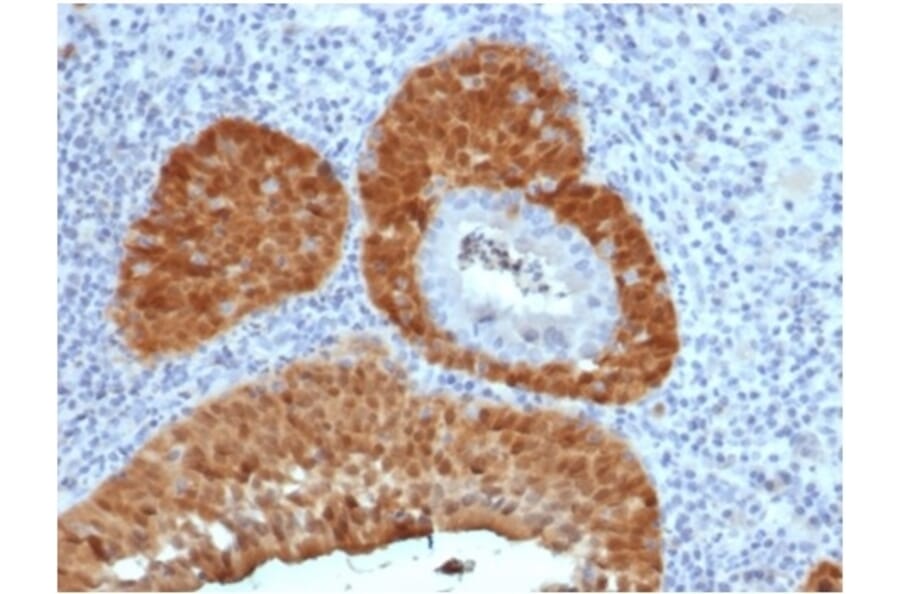
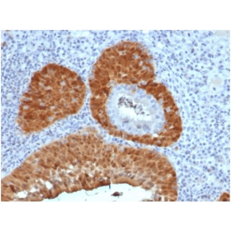
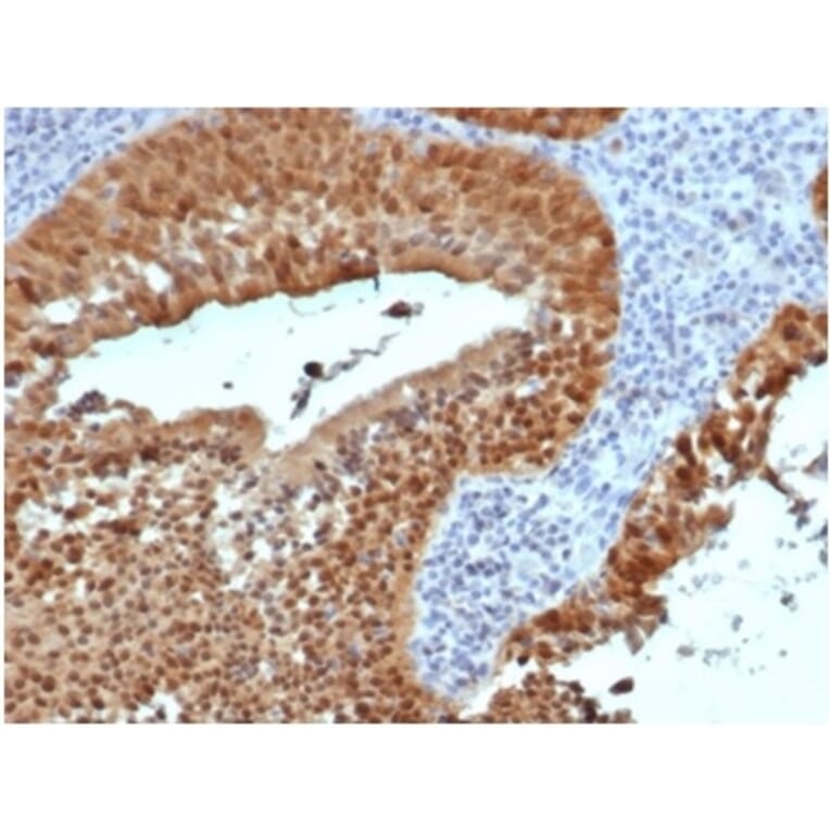
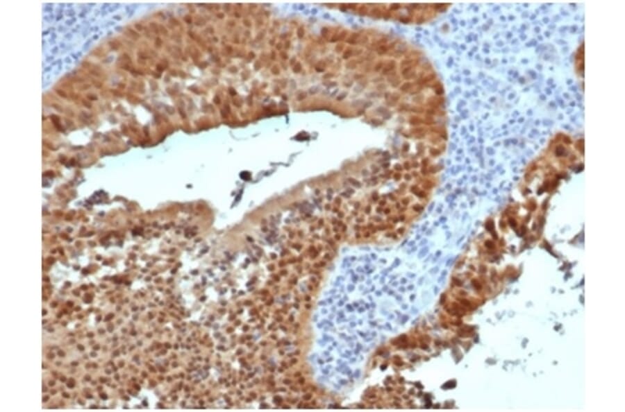
Recombinant Anti-p16INK4a Antibody [rCDKN2A/4845] - BSA and Azide free (A278466)

Recombinant mouse monoclonal [rCDKN2A/4845] antibody to p16INK4a for WB and IHC-P.

Alternative Formats and ConjugatesAlternative Formats

Shipping Information

$40
Dispatched from St. Louis, MO.
Lead Time: 5-8 business days.
Name
Anti-p16INK4a Antibody [rCDKN2A/4845] - BSA and Azide free
Description
Recombinant mouse monoclonal [rCDKN2A/4845] antibody to p16INK4a.
Specificity
p16INK4a is a tumor suppressor protein. It is a specific inhibitor of cdk4/cdk6, and a tumor suppressor involved in the pathogenesis of a variety of malignancies. Recent analyses of the p16INK4a gene revealed homozygous deletions, nonsense, missense, or frameshift mutations in several human cancers. Although the frequency of p16INK4a abnormalities is higher in tumor derived cell lines than in unselected primary tumors, significant subsets of clinical cases with aberrant p16INK4a gene have been reported among melanomas, gliomas, esophageal, pancreatic, lung, and urinary bladder carcinomas, and some types of leukemia. Expression of p16INK4a (p16 positive) is highly correlated with human papilloma virus (HPV) infection in head and neck squamous cell carcinomas (HNSCC). p16 status is an important prognostic indicator in HNSCC and the p16 positive/HPV16 negative group is likely a distinct subgroup lacking any HPV genotype.
Applications
WB, IHC-P
Dilutions
WB: 1-2 µg/ml, IHC-P: 1-2 µg/ml
Reactivity
Human
Immunogen
Recombinant full-length human p16INK4a protein, expressed in and purified from E. coli.
Host
Mouse
Clonality
Monoclonal
Clone ID
rCDKN2A/4845
Isotype
IgG2a
Light Chains
kappa
Conjugate

Unconjugated

Purification
Protein A/G chromatography.
Concentration
1 mg/ml
Molecular Weight
14 kDa
Product Form
Liquid
Formulation
Supplied in 10mM Phosphate Buffered Saline; without Sodium Azide and carrier free.
Storage
Shipped at 4°C. Upon delivery aliquot and store at -20°C. Avoid freeze / thaw cycles.
General Notes
This monoclonal antibody is also available in a different formulation with BSA and Sodium Azide - Anti-p16INK4a Antibody [rCDKN2A/4845] (A277878).
Synonyms
CDK4I, CDKN2, CDKN2A, Cyclin-dependent kinase 4 inhibitor A, Cyclin-dependent kinase inhibitor 2A, MTS-1, MTS1, Multiple tumor suppressor 1, p16-INK4, p16-INK4a
Disclaimer
This product is for research use only. It is not intended for diagnostic or therapeutic use.
Publishing research using Recombinant Anti-p16INK4a Antibody [rCDKN2A/4845] - BSA and Azide free (A278466)? Please let us know so that we can list the citation on this page.

Alternative products to Anti-p16INK4a Antibody [rCDKN2A/4845] - BSA and Azide free (A278466)

Proteins predicted to interact with p16 INK4a

Predicted protein interactions based upon String database. Revelancy score correlates with probability of interaction.
99.9% Relevancy Score
99.9% Relevancy Score
99.9% Relevancy Score
99.9% Relevancy Score
99.9% Relevancy Score
99.8% Relevancy Score
99.8% Relevancy Score
99.3% Relevancy Score
99.2% Relevancy Score