ISO 9001:2015 Certified
Live Customer Support
4.5/5 on Trustpilot
100% Quality Guarantee

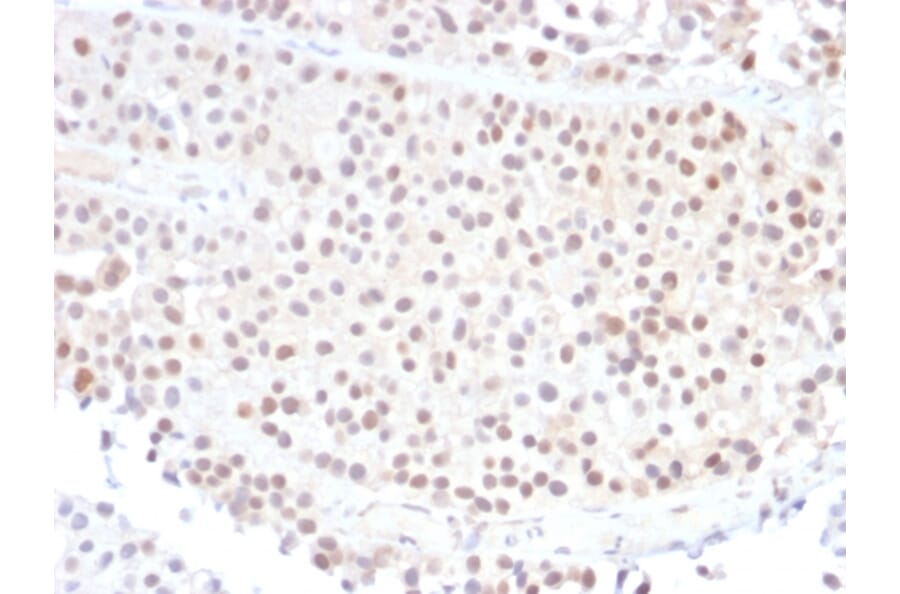
Anti-p21 Antibody [DCS-60.2] - BSA and Azide free (A251267)

Mouse monoclonal [DCS-60.2] antibody to p21 for Flow Cytometry, IF, WB and IHC-P.

Alternative Formats and ConjugatesAlternative Formats

Shipping Information

$40
Dispatched from St. Louis, MO.
Lead Time: 5-8 business days.
Name
Anti-p21 Antibody [DCS-60.2] - BSA and Azide free
Description
Mouse monoclonal [DCS-60.2] antibody to p21.
Specificity
This antibody recognizes a 21kDa protein, identified as the p21WAF1 tumor suppressor protein. This antibody is highly specific to p21 and shows no cross-reaction with other closely related mitotic inhibitors. p21WAF1 is a specific inhibitor of cdks and a tumor suppressor involved in the pathogenesis of a variety of malignancies. The expression of this gene acts as an inhibitor of the cell cycle during G1 phase and is tightly controlled by the tumor suppressor protein p53. Its expression is induced by the wild type, but not mutant, p53 suppressor protein. Normal cells generally display a rather intense nuclear p21 expression. Loss of p21 expression has been reported in many carcinomas (gastric carcinoma, non-small cell lung carcinoma, thyroid carcinoma).
Applications
Flow Cytometry, IF, WB, IHC-P
Dilutions
Flow Cytometry: 1-2 µg/million cells, IF: 1-2 µg/ml, WB: 1-2 µg/ml, IHC-P: 2-4 µg/ml
Reactivity
Human
Cross Reactivity
This antibody does not cross react with Mouse or Rat.
Immunogen
Recombinant full-length human p21 protein.
Host
Mouse
Clonality
Monoclonal
Clone ID
DCS-60.2
Isotype
IgG2a
Light Chains
kappa
Conjugate

Unconjugated

Purification
Protein A/G chromatography.
Concentration
1 mg/ml
Molecular Weight
21 kDa
Product Form
Liquid
Formulation
Supplied in 10mM Phosphate Buffered Saline; without Sodium Azide and carrier free.
Storage
Shipped at 4°C. Upon delivery aliquot and store at -20°C. Avoid freeze / thaw cycles.
General Notes
This monoclonal antibody is also available in a different formulation with BSA and Sodium Azide - Anti-p21 Antibody [DCS-60.2] (A248084).
Synonyms
CAP20, CDK-interacting protein 1, CDKN1, CDKN1A, CIP1, Cyclin-dependent kinase inhibitor 1, MDA-6, MDA6, Melanoma differentiation-associated protein 6, PIC1, SDI1, WAF1
Disclaimer
This product is for research use only. It is not intended for diagnostic or therapeutic use.
Publishing research using Anti-p21 Antibody [DCS-60.2] - BSA and Azide free (A251267)? Please let us know so that we can list the citation on this page.

Alternative products to Anti-p21 Antibody [DCS-60.2] - BSA and Azide free (A251267)

Proteins predicted to interact with p21

Predicted protein interactions based upon String database. Revelancy score correlates with probability of interaction.
99.9% Relevancy Score
99.9% Relevancy Score
99.9% Relevancy Score
99.9% Relevancy Score
99.9% Relevancy Score
99.9% Relevancy Score
99.9% Relevancy Score
99.9% Relevancy Score
99.9% Relevancy Score