ISO 9001:2015 Certified
Live Customer Support
4.5/5 on Trustpilot
100% Quality Guarantee

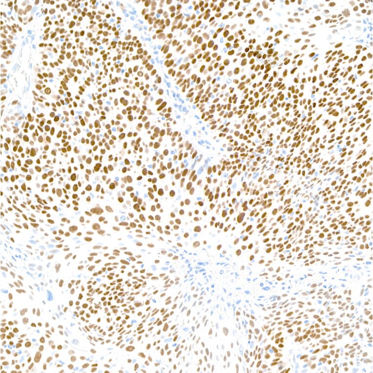
Anti-p40 Antibody [BC28] (A300662)

Mouse monoclonal [BC28] antibody to p40 for WB and IHC.

Shipping Information

$40
Dispatched from St. Louis, MO.
Lead Time: 6-9 business days.
Name
Anti-p40 Antibody [BC28]
Description
Mouse monoclonal [BC28] antibody to p40.
Applications
WB, IHC
Dilutions
IHC: 1:100-1:500, WB: 1:1,000
Reactivity
Human
Immunogen
Synthetic peptide within amino acids 1-50 of human p40.
Host
Mouse
Clonality
Monoclonal
Clone ID
BC28
Isotype
IgG
Conjugate

Unconjugated

Purification
Antigen affinity purification.
Concentration
250 µg/ml
Product Form
Liquid
Formulation
Supplied in Phosphate Buffered Saline, pH 8.2, with 0.1% BSA and 0.09% Sodium Azide.
Storage
Shipped at 4°C. Upon delivery aliquot and store at -20°C. Avoid freeze/thaw cycles.
Synonyms
40 kDa Rab9 effector protein, Rab9 effector protein with kelch motifs, RAB9P40, RABEPK
Isotype Controls
Disclaimer
This product is for research use only. It is not intended for diagnostic or therapeutic use.
Publishing research using Anti-p40 Antibody [BC28] (A300662)? Please let us know so that we can list the citation on this page.

Alternative products to Anti-p40 Antibody [BC28] (A300662)

Proteins predicted to interact with p40

Predicted protein interactions based upon String database. Revelancy score correlates with probability of interaction.
84.7% Relevancy Score
82.8% Relevancy Score
70.1% Relevancy Score
62% Relevancy Score
58.9% Relevancy Score
57.3% Relevancy Score
56.8% Relevancy Score
54.9% Relevancy Score
54.2% Relevancy Score