ISO 9001:2015 Certified
Live Customer Support
4.5/5 on Trustpilot
100% Quality Guarantee

Recombinant Anti-p40 Antibody [P40/4396R] - BSA and Azide free (A278671)

Recombinant rabbit monoclonal [P40/4396R] antibody to p40 for ELISA, Flow Cytometry and IHC-P.

Alternative Formats and ConjugatesAlternative Formats

Shipping Information

$40
Dispatched from St. Louis, MO.
Lead Time: 5-8 business days.
Name
Anti-p40 Antibody [P40/4396R] - BSA and Azide free
Description
Recombinant rabbit monoclonal [P40/4396R] antibody to p40.
Specificity
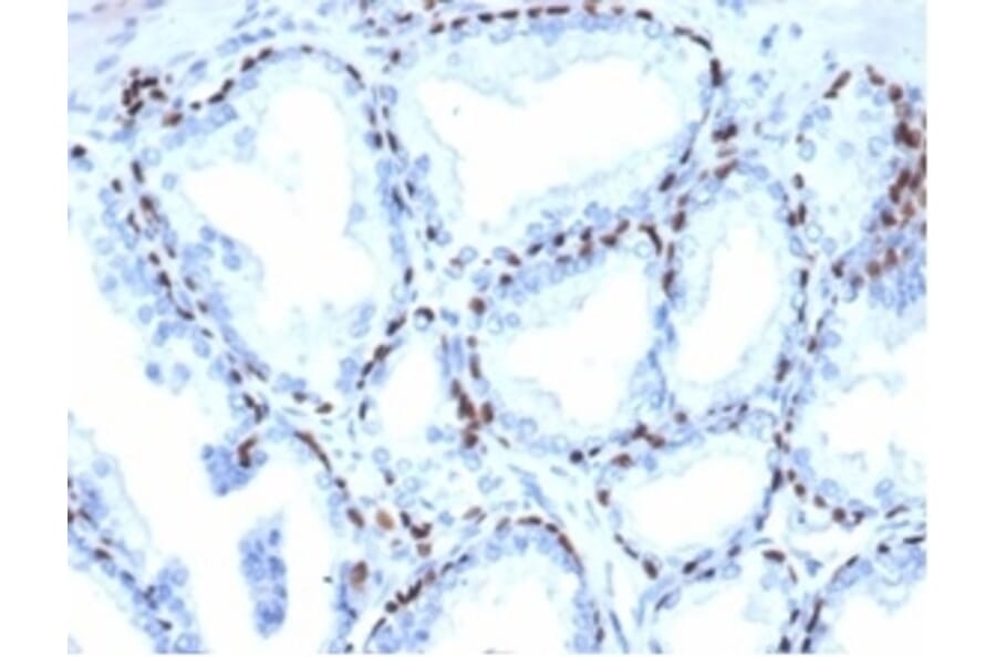
p40 antibody (antibody recognizing Np63 only) is an isoform of p63, is thought to function as a stem cell factor, responsible for maintaining cells in an uncommitted state with regenerative potential a role that may be recapitulated in tumors derived from these cells. p40 is normally expressed in the basal or progenitor cell layer of stratified epithelia (eg. squamous, urothelial, bronchial), basal cells of some glandular epithelia (eg. prostate), as well as myoepithelial cells of breast and salivary glands, trophoblasts and thymic epithelial cells. In tumor tissues, p40 expression is specific for squamous cell carcinoma. p40 is equivalent to p63 in sensitivity for lung squamous cell carcinoma, but it is markedly superior to p63 in specificity, which eliminates a potential pitfall of misinterpreting a p63-positive adenocarcinoma or unsuspected lymphoma as squamous cell carcinoma. p40 appears to be a more reliable marker for squamous cell carcinoma.
Applications
ELISA, Flow Cytometry, IHC-P
Dilutions
Flow Cytometry: 1-2µg/million cells, IHC-P: 1-2 µg/ml
Reactivity
Human
Immunogen
Recombinant fragment, around amino acids 1-100, of human p40 protein. The exact sequence is proprietary.
Host
Rabbit
Clonality
Monoclonal
Clone ID
P40/4396R
Isotype
IgG
Light Chains
kappa
Conjugate

Unconjugated

Purification
Protein A chromatography.
Concentration
1 mg/ml
Molecular Weight
63 kDa
Product Form
Liquid
Formulation
Supplied in 10mM Phosphate Buffered Saline; without Sodium Azide and carrier free.
Storage
Shipped at 4°C. Upon delivery aliquot and store at -20°C. Avoid freeze / thaw cycles.
General Notes
This monoclonal antibody is also available in a different formulation with BSA and Sodium Azide - Anti-p40 Antibody [P40/4396R] (A278083).
Synonyms
40 kDa Rab9 effector protein, Rab9 effector protein with kelch motifs, RAB9P40, RABEPK
Disclaimer
This product is for research use only. It is not intended for diagnostic or therapeutic use.
Publishing research using Recombinant Anti-p40 Antibody [P40/4396R] - BSA and Azide free (A278671)? Please let us know so that we can list the citation on this page.

Alternative products to Anti-p40 Antibody [P40/4396R] - BSA and Azide free (A278671)

Proteins predicted to interact with p40

Predicted protein interactions based upon String database. Revelancy score correlates with probability of interaction.
84.7% Relevancy Score
82.8% Relevancy Score
70.1% Relevancy Score
62% Relevancy Score
58.9% Relevancy Score
57.3% Relevancy Score
56.8% Relevancy Score
54.9% Relevancy Score
54.2% Relevancy Score