ISO 9001:2015 Certified
Live Customer Support
4.5/5 on Trustpilot
100% Quality Guarantee

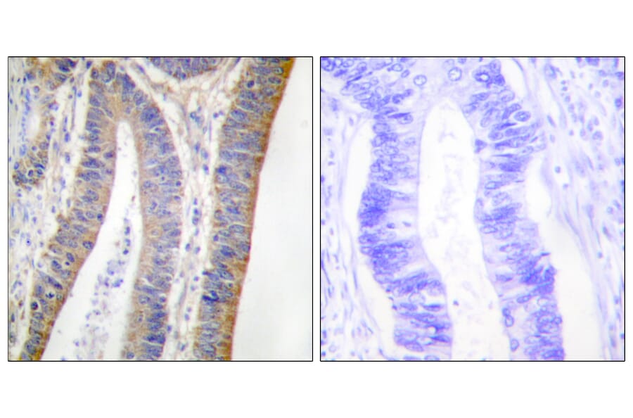
Anti-p47 phox (phospho Ser359) Antibody (A93800)

Rabbit polyclonal antibody to p47 phox (phospho Ser359) for WB, IHC, IF and ELISA.

Shipping Information

$40
Dispatched from St. Louis, MO.
Lead Time: 6-8 business days.
Name
Anti-p47 phox (phospho Ser359) Antibody
Description
Rabbit polyclonal antibody to p47 phox (phospho Ser359).
Specificity
This antibody detects endogenous levels of p47 phox only when phosphorylated at Ser359.
Applications
WB, IHC, IF, ELISA
Dilutions
WB: 1:500~1:1000, IHC: 1:50~1:100, IF: 1:100~1:500, ELISA: 1:1000
Reactivity
Human, Rat, Mouse
Cross Reactivity
No reported cross-reactivity.
Immunogen
Synthetic peptide derived from human p47 phox around the phosphorylation site of Ser359 (amino acids 331-380).
Host
Rabbit
Clonality
Polyclonal
Isotype
IgG
Conjugate

Unconjugated

Purification
Purified from rabbit serum by antigen affinity chromatography using the immunizing phospho peptide.
Molecular Weight
44kDa
Product Form
Liquid
Formulation
Supplied in Phosphate Buffered Saline (without Mg2+ and Ca2+), pH 7.4, with 150mM NaCl, 0.02% Sodium Azide, and 50% Glycerol.
Storage
Shipped at 4°C. Upon delivery aliquot and store at -20°C. Avoid freeze / thaw cycles.
Synonyms
47 kDa autosomal chronic granulomatous disease protein, 47 kDa neutrophil oxidase factor, NCF-1, NCF-47K, NCF1, Neutrophil cytosol factor 1, Neutrophil NADPH oxidase factor 1, Nox organizer 2, NOXO2, SH3PXD1A
Disclaimer
This product is for research use only. It is not intended for diagnostic or therapeutic use.
Publishing research using Anti-p47 phox (phospho Ser359) Antibody (A93800)? Please let us know so that we can list the citation on this page.

Alternative products to Anti-p47 phox (phospho Ser359) Antibody (A93800)

Proteins predicted to interact with p47phox

Predicted protein interactions based upon String database. Revelancy score correlates with probability of interaction.
99.9% Relevancy Score
99.9% Relevancy Score
99.9% Relevancy Score
99.9% Relevancy Score
99.9% Relevancy Score
99.9% Relevancy Score
99.9% Relevancy Score
99.8% Relevancy Score
99.6% Relevancy Score