Primary Antibodies
Secondary Antibodies
Proteins & Peptides
ELISA Kits
About Us
Contact Us
Sign In/Register
0
ISO 9001:2015 Certified
Live Customer Support
4.5/5 on Trustpilot
100% Quality Guarantee
Home
Primary Antibodies
p47phox Antibodies
Anti-p47 phox (phospho Ser370) Antibody (A94381)
Anti-p47 phox (phospho Ser370) Antibody (A94381)
Overview
Specifications
Images
Enlarge Image
Enlarge Image
$200
Product Datasheet
Rabbit polyclonal antibody to p47 phox (phospho Ser370) for WB, IHC, IF and ELISA.
100% Guarantee
Price Match Guarantee
Product Size:
10µg
100µg
Quantity:
1
2
3
4
5
6
7
8
9
10
Add To Cart
Request a Quotation
Custom or Bulk Request
Shipping Information
Freight/Packing Charges:
$40
Dispatched from St. Louis, MO.
Lead Time: 6-8 business days.
Specifications
Name
Anti-p47 phox (phospho Ser370) Antibody
Description
Rabbit polyclonal antibody to p47 phox (phospho Ser370).
Specificity
This antibody detects endogenous levels of p47 phox only when phosphorylated at Ser370.
Applications
WB
,
IHC
,
IF
,
ELISA
Dilutions
WB: 1:500~1:1000, ELISA: 1:10000
Reactivity
Human, Mouse, Rat
Cross Reactivity
No reported cross-reactivity.
Immunogen
Synthetic peptide derived from human p47 phox around the phosphorylation site of Ser370 (amino acids 341-390).
Host
Rabbit
Clonality
Polyclonal
Isotype
IgG
Conjugate
Unconjugated
Purification
Purified from rabbit serum by antigen affinity chromatography using the immunizing phospho peptide.
Molecular Weight
44kDa
Product Form
Liquid
Formulation
Supplied in Phosphate Buffered Saline (without Mg2+ and Ca2+), pH 7.4, with 150mM NaCl, 0.02% Sodium Azide, and 50% Glycerol.
Storage
Shipped at 4°C. Upon delivery aliquot and store at -20°C. Avoid freeze / thaw cycles.
Synonyms
47 kDa autosomal chronic granulomatous disease protein, 47 kDa neutrophil oxidase factor, NCF-1, NCF-47K, NCF1, Neutrophil cytosol factor 1, Neutrophil NADPH oxidase factor 1, Nox organizer 2, NOXO2, SH3PXD1A
Isotype Controls
Rabbit IgG (A82272)
Rabbit IgG (A17360)
Suitable Secondaries
Goat Anti-Rabbit IgG H&L Antibody (AP) (A294874)
Goat Anti-Rabbit IgG H&L Antibody (Biotin) (A294795)
Goat Anti-Rabbit IgG H&L Antibody (FITC) (A294887)
Goat Anti-Rabbit IgG H&L Antibody (HRP) (A294888)
See all Anti-Rabbit IgG Secondaries →
Disclaimer
This product is for research use only. It is not intended for diagnostic or therapeutic use.
Scientific Validation Data
Validation Data
(2)
Enlarge Image
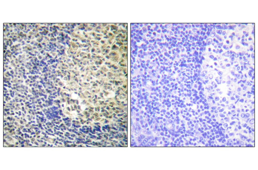
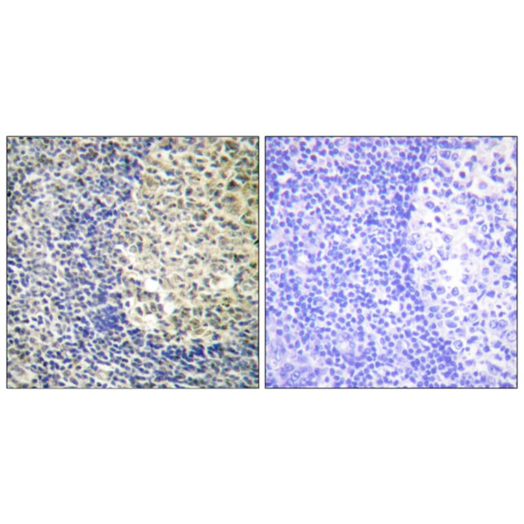
Immunohistochemistry - Anti-p47 phox (phospho Ser370) Antibody (A94381)
Immunohistochemical analysis of paraffin-embedded human tonsil using Anti-p47 phox (phospho Ser370) Antibody. The right hand panel represents a negative control, where the antibody was pre-incubated with the immunising peptide.
Enlarge Image
Western Blot - Anti-p47 phox (phospho Ser370) Antibody (A94381)
Western blot analysis of VEC using Anti-p47 phox (phospho Ser370) Antibody.
Publishing research using Anti-p47 phox (phospho Ser370) Antibody (A94381)? Please
let us know
so that we can list the citation on this page.
Alternative products to Anti-p47 phox (phospho Ser370) Antibody (A94381)
(4)
A94702
Anti-p47 phox (phospho Ser345) Antibody
Rabbit polyclonal antibody to p47 phox (phospho Ser345) for WB, IHC, IF and ELISA.
(5)
A93800
Anti-p47 phox (phospho Ser359) Antibody
Rabbit polyclonal antibody to p47 phox (phospho Ser359) for WB, IHC, IF and ELISA.
(4)
A95329
Anti-p47 phox Antibody
Rabbit polyclonal antibody to p47 phox for WB, IHC, IF and ELISA.
A95502
Anti-Neutrophil Cytosol Factor 1 (phospho Ser328) Antibody
Rabbit polyclonal antibody to Neutrophil Cytosol Factor 1 (phospho Ser328) for WB, IHC, IF and ELISA.
(2)
A94982
Anti-Neutrophil Cytosol Factor 1 (phospho Ser304) Antibody
Rabbit polyclonal antibody to Neutrophil Cytosol Factor 1 (phospho Ser304) for WB, IHC, IF and ELISA.
A38413
Anti-NCF1 Antibody
Rabbit polyclonal antibody to NCF1 for WB and ICC/IF.
(3)
A39320
Anti-Neutrophil Cytosol Factor 1 (Ab-304) Antibody
Rabbit polyclonal antibody to Neutrophil Cytosol Factor 1 (Ab-304) for WB and ICC/IF.
A47513
Anti-p47phox Antibody
Rabbit polyclonal antibody to p47phox for ELISA, WB and IHC.
A29662
Anti-NCF1 (phospho-S328) Antibody
Rabbit polyclonal antibody to NCF1 (phospho-S328) for WB.
A50620
Anti-Neutrophil Cytosol Factor 1 (Phospho-Ser304) Antibody
Rabbit polyclonal antibody to Neutrophil Cytosol Factor 1 (Phospho-Ser304) for WB.
(4)
A94702
Anti-p47 phox (phospho Ser345) Antibody
Rabbit polyclonal antibody to p47 phox (phospho Ser345) for WB, IHC, IF and ELISA.
(5)
A93800
Anti-p47 phox (phospho Ser359) Antibody
Rabbit polyclonal antibody to p47 phox (phospho Ser359) for WB, IHC, IF and ELISA.
(4)
A95329
Anti-p47 phox Antibody
Rabbit polyclonal antibody to p47 phox for WB, IHC, IF and ELISA.
A95502
Anti-Neutrophil Cytosol Factor 1 (phospho Ser328) Antibody
Rabbit polyclonal antibody to Neutrophil Cytosol Factor 1 (phospho Ser328) for WB, IHC, IF and ELISA.
(2)
A94982
Anti-Neutrophil Cytosol Factor 1 (phospho Ser304) Antibody
Rabbit polyclonal antibody to Neutrophil Cytosol Factor 1 (phospho Ser304) for WB, IHC, IF and ELISA.
A38413
Anti-NCF1 Antibody
Rabbit polyclonal antibody to NCF1 for WB and ICC/IF.
(3)
A39320
Anti-Neutrophil Cytosol Factor 1 (Ab-304) Antibody
Rabbit polyclonal antibody to Neutrophil Cytosol Factor 1 (Ab-304) for WB and ICC/IF.
A47513
Anti-p47phox Antibody
Rabbit polyclonal antibody to p47phox for ELISA, WB and IHC.
A29662
Anti-NCF1 (phospho-S328) Antibody
Rabbit polyclonal antibody to NCF1 (phospho-S328) for WB.
A50620
Anti-Neutrophil Cytosol Factor 1 (Phospho-Ser304) Antibody
Rabbit polyclonal antibody to Neutrophil Cytosol Factor 1 (Phospho-Ser304) for WB.
See all p47phox Antibodies
Proteins predicted to interact with p47phox
Predicted protein interactions based upon String database. Revelancy score correlates with probability of interaction.
p67phox Antibodies
99.9% Relevancy Score
NOXA1 Antibodies
99.9% Relevancy Score
p40-phox Antibodies
99.9% Relevancy Score
NOX1 Antibodies
99.9% Relevancy Score
p22phox Antibodies
99.9% Relevancy Score
RAC2 Antibodies
99.9% Relevancy Score
NOX2 Antibodies
99.9% Relevancy Score
NOX4 Antibodies
99.8% Relevancy Score
NOXO1 Antibodies
99.6% Relevancy Score
Top