ISO 9001:2015 Certified
Live Customer Support
4.5/5 on Trustpilot
100% Quality Guarantee

Anti-p53 Antibody [DO-7] (A280266)

$370

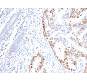
Mouse monoclonal [DO-7] antibody to p53 for WB, IHC-P, IHC-Fr, Flow Cytometry and IP.

Shipping Information

$40
Dispatched from St. Louis, MO.
Lead Time: 5-7 business days.
Name
Anti-p53 Antibody [DO-7]
Description
Mouse monoclonal [DO-7] antibody to p53.
Specificity
This antibody recognises the human 53 kDa p53 tumour suppressor protein, also known as Cellular tumor antigen p53 or Antigen NY-CO-13, encoded by the TP53 gene. p53 is a 393 amino acid protein with an N-terminal transactivation domain, followed by a proline-rich region and a DNA binding domain in the central core region. The C-terminal region contains a tetramirization domain and a terminal regulatory domain. p53 is intimately involved in a number of signaling pathways controlling cell division, cycling and apoptosis and is thus a potent cancer suppressor. In normal cells the level of p53 expression is low but can be induced by DNA damage or other stress signals. Activation of p53 leads to growth arrest through its interaction with p21, GADD45 and 14-3-3s, DNA repair and potentially apoptosis through interaction with Bax, Apaf-1, PUMA and NoxA. p53 is critically regulated by Mdm2 which can trigger p53 degradation by a ubiquitin dependent system recognises an epitope at the N-terminal end of p53 between amino acids 20-25, binding to both wild type and mutant forms. Clone DO-7 is not expected to recognize the multiple isoforms lacking the N-teminal region.
Applications
WB, IHC-P, IHC-Fr, Flow Cytometry, IP
Dilutions
FC 1: 1:50 - 1:100, IHC-P 2: 1:1,000, WB: 1:1,000, Use 10µl of the suggested working dilution to label 1x106 cells in 100µl
Reactivity
Human, Bovine
Cross Reactivity
This antibody does not cross react with Mouse or Rat
Immunogen
Recombinant human p53.
Host
Mouse
Clonality
Monoclonal
Clone ID
DO-7
Isotype
IgG2b
Conjugate

Unconjugated

Purification
Protein A affinity chromatography of tissue culture supernatant.
Concentration
1 mg/ml
Product Form
Liquid
Formulation
Supplied in Phosphate Buffered Saline with 0.09% Sodium Azide.
Storage
Shipped at ambient temperature. Upon delivery aliquot and store at -20°C. When thawed, aliquot the sample as needed. Short term (up to 4 weeks): store at 4°C. Long term: store at -20°C. Avoid freeze / thaw cycles. Storage in frost free freezers is not recommended.
General Notes
Mouse anti p53 antibody, clone DO-7 recognizes the human 53 kDa p53 tumour suppressor protein, also known as Cellular tumor antigen p53 or Antigen NY-CO-13, encoded by the TP53 gene. p53 is a 393 amino acid protein with an N-terminal transactivation domain, followed by a proline-rich region and a DNA binding domain in the central core region. The C-terminal region contains a tetramirization domain and a terminal regulatory domain (Joerger et al. 2010).p53 is intimately involved in a number of signaling pathways controlling cell division, cycling and apoptosis (Haupt et al. 2003) and is thus a potent cancer suppressor. In normal cells the level of p53 expression is low but can be induced by DNA damage or other stress signals (Takagi et al. 2005). Activation of p53 leads to growth arrest through its interaction with p21, GADD45 and 14-3-3s, DNA repair and potentially apoptosis through interaction with Bax, Apaf-1, PUMA and NoxA (Thakur et al. 2010). p53 is critically regulated by Mdm2 which can trigger p53 degradation by a ubiquitin dependent system (Moll and Petrenko 2003) Mouse anti p53 antibody, clone DO-7 recognizes an epitope at the N-terminal end of p53 between amino acids 20-25, binding to both wild type and mutant forms. Clone DO-7 is not expected to recognize the multiple isoforms lacking the N-teminal region.
Synonyms
Antigen NY-CO-13, Cellular tumor antigen p53, Phosphoprotein p53, TP53, Tumor suppressor p53
Disclaimer
This product is for research use only. It is not intended for diagnostic or therapeutic use.
Publishing research using Anti-p53 Antibody [DO-7] (A280266)? Please let us know so that we can list the citation on this page.

Alternative products to Anti-p53 Antibody [DO-7] (A280266)

Proteins predicted to interact with p53

Predicted protein interactions based upon String database. Revelancy score correlates with probability of interaction.
99.9% Relevancy Score
99.9% Relevancy Score
99.9% Relevancy Score
99.9% Relevancy Score
99.9% Relevancy Score
99.9% Relevancy Score
99.9% Relevancy Score
99.9% Relevancy Score
99.9% Relevancy Score