ISO 9001:2015 Certified
Live Customer Support
4.5/5 on Trustpilot
100% Quality Guarantee

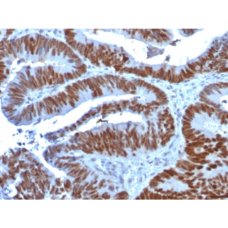
Anti-p53 Antibody [TP53/1739] - BSA and Azide free (A253369)

Mouse monoclonal [TP53/1739] antibody to p53 for WB and IHC-P.

Alternative Formats and ConjugatesAlternative Formats

Shipping Information

$40
Dispatched from St. Louis, MO.
Lead Time: 5-8 business days.
Name
Anti-p53 Antibody [TP53/1739] - BSA and Azide free
Description
Mouse monoclonal [TP53/1739] antibody to p53.
Specificity
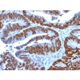
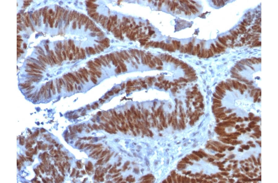
The specificity of this monoclonal antibody to its intended target was validated by HuProtTM Array, containing more than 19,000 full-length human proteins. Recognizes a 53kDa protein, which is identified as p53 suppressor gene product. It reacts with the mutant as well as the wild form of p53. It is a tumor suppressor protein expressed in a wide variety of tissue types and is involved in regulating cell growth, replication, and apoptosis. It binds to MDM2, SV40 T antigen and human papilloma virus E6 protein. Positive nuclear staining with p53 antibody has been reported to be a negative prognostic factor in breast, lung, colorectal, and urothelial carcinoma. Anti-p53 positivity has also been used to differentiate uterine serous carcinoma from endometrioid carcinoma as well as to detect intratubular germ cell neoplasia. Mutations involving p53 are found in many malignant tumors, including breast, ovarian, bladder, colon, lung, and melanoma.
Applications
WB, IHC-P
Dilutions
WB: 1-2 µg/ml, IHC-P: 0.25-0.5 µg/ml
Reactivity
Human
Immunogen
Recombinant full-length human TP53 protein.
Host
Mouse
Clonality
Monoclonal
Clone ID
TP53/1739
Isotype
IgG2a
Light Chains
kappa
Conjugate

Unconjugated

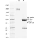
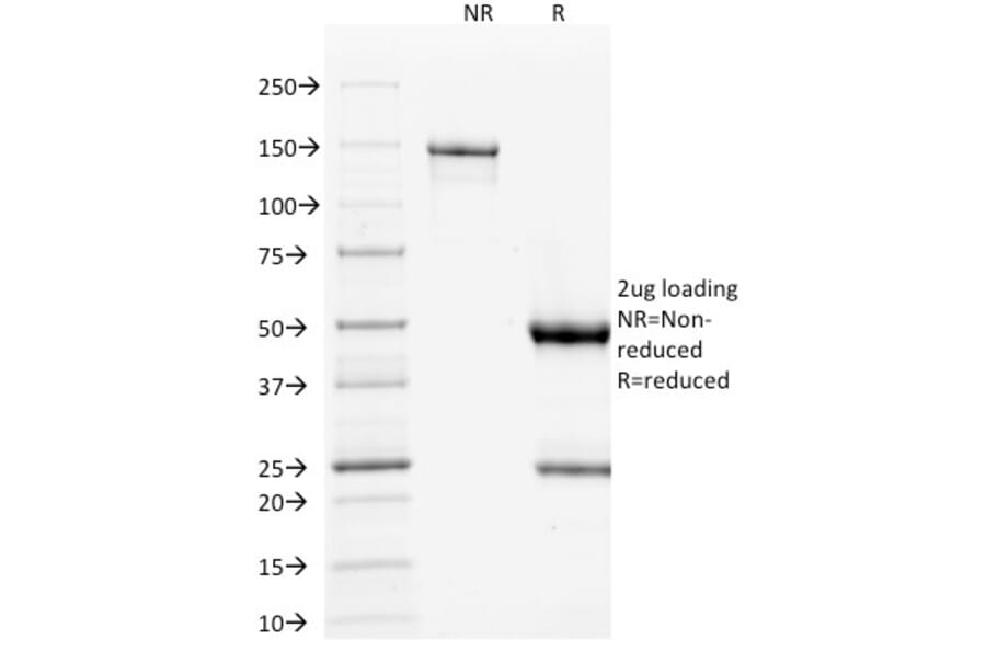
Purification
Protein A/G chromatography.
Concentration
1 mg/ml
Molecular Weight
53 kDa
Product Form
Liquid
Formulation
Supplied in 10mM Phosphate Buffered Saline; without Sodium Azide and carrier free.
Storage
Shipped at 4°C. Upon delivery aliquot and store at -20°C. Avoid freeze / thaw cycles.
General Notes
This monoclonal antibody is also available in a different formulation with BSA and Sodium Azide - Anti-p53 Antibody [TP53/1739] (A250189).
Synonyms
Antigen NY-CO-13, Cellular tumor antigen p53, Phosphoprotein p53, TP53, Tumor suppressor p53
Disclaimer
This product is for research use only. It is not intended for diagnostic or therapeutic use.
Publishing research using Anti-p53 Antibody [TP53/1739] - BSA and Azide free (A253369)? Please let us know so that we can list the citation on this page.

Alternative products to Anti-p53 Antibody [TP53/1739] - BSA and Azide free (A253369)

Proteins predicted to interact with p53

Predicted protein interactions based upon String database. Revelancy score correlates with probability of interaction.
99.9% Relevancy Score
99.9% Relevancy Score
99.9% Relevancy Score
99.9% Relevancy Score
99.9% Relevancy Score
99.9% Relevancy Score
99.9% Relevancy Score
99.9% Relevancy Score
99.9% Relevancy Score