ISO 9001:2015 Certified
Live Customer Support
4.5/5 on Trustpilot
100% Quality Guarantee

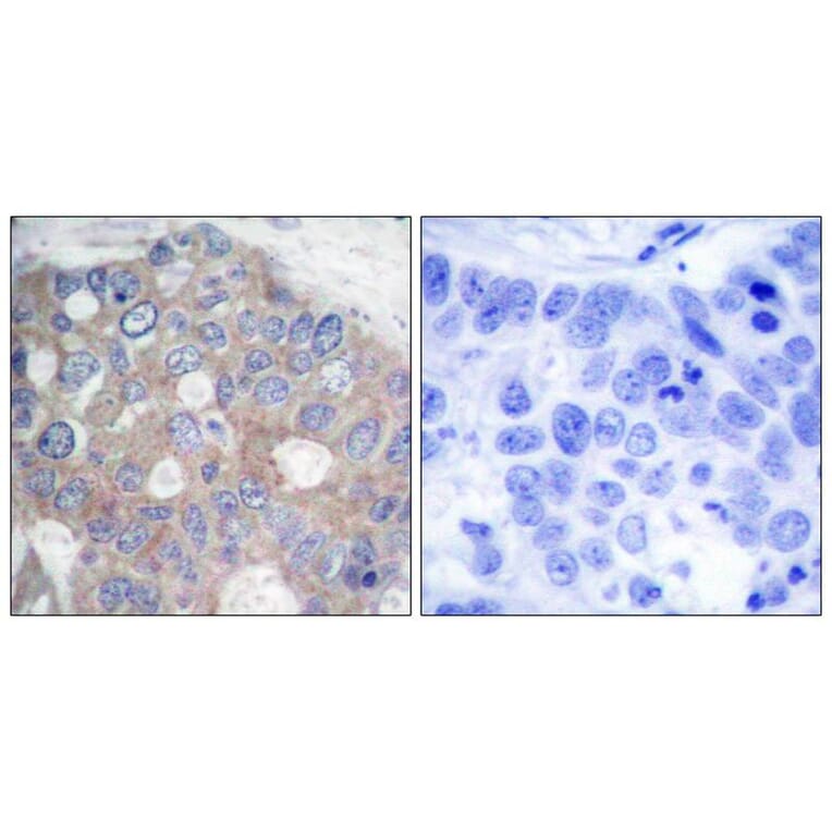
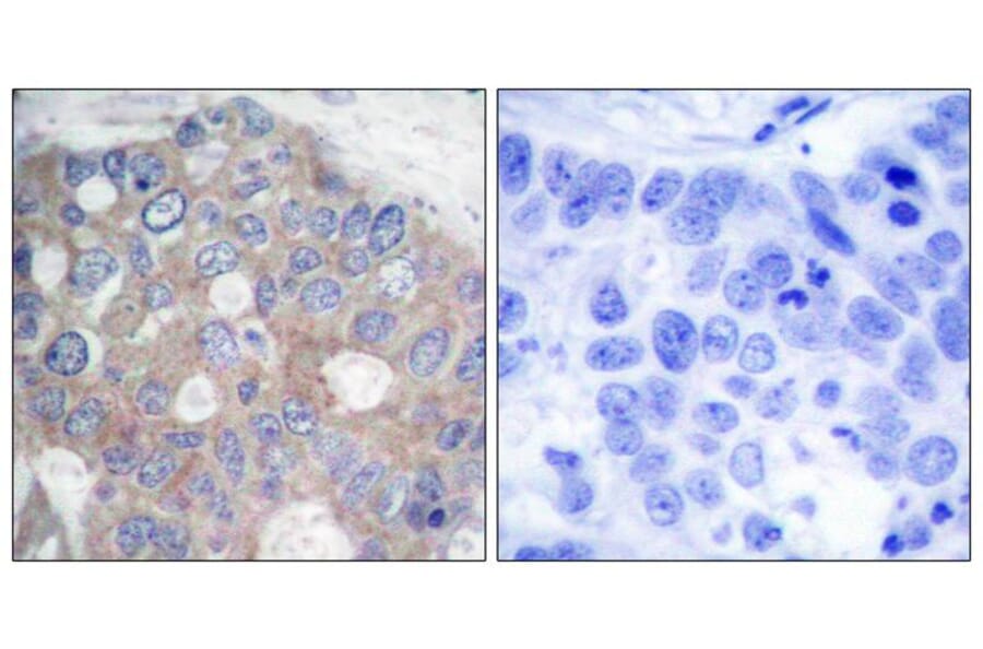
Anti-p70 S6 Kinase (Ab-421) Antibody (A36149)

$290

Rabbit polyclonal antibody to p70 S6 Kinase (Ab-421) for WB and IHC.

Shipping Information

$40
Dispatched from St. Louis, MO.
Lead Time: 6-9 business days.
Name
Anti-p70 S6 Kinase (Ab-421) Antibody
Description
Rabbit polyclonal antibody to p70 S6 Kinase (Ab-421)
Specificity
The antibody detects endogenous level of total p70 S6 Kinase protein.
Applications
WB, IHC
Reactivity
Human, Mouse, Rat
Immunogen
Peptide sequence around aa.419~423 (P-R-T-P-V) derived from Human p70 S6 Kinase.
Host
Rabbit
Clonality
Polyclonal
Conjugate

Unconjugated

Purification
Antibodies were produced by immunizing rabbits with synthetic peptide and KLH conjugates. Antibodies were purified by affinity-chromatography using epitope-specific peptide.
Concentration
1 mg/ml
Formulation
Supplied at 1.0mg / mL in phosphate buffered saline (without Mg2+ and Ca2+), pH 7.4, 150mM NaCl, 0.02% sodium azide and 50% glycerol.
Storage
Store at -20°C for long term preservation (recommended). Store at 4°C for short term use.
Synonyms
70 kDa ribosomal protein S6 kinase 1, p70 ribosomal S6 kinase alpha, p70 S6 kinase alpha, p70 S6K-alpha, p70 S6KA, p70-S6K 1, P70S6K1, Ribosomal protein S6 kinase beta-1, Ribosomal protein S6 kinase I, RPS6KB1, S6K-beta-1, S6K1, Serine/threonine-protein kinase 14A, STK14A
Disclaimer
This product is for research use only. It is not intended for diagnostic or therapeutic use.
Publishing research using Anti-p70 S6 Kinase (Ab-421) Antibody (A36149)? Please let us know so that we can list the citation on this page.

Alternative products to Anti-p70 S6 Kinase (Ab-421) Antibody (A36149)

Proteins predicted to interact with p70 S6 Kinase

Predicted protein interactions based upon String database. Revelancy score correlates with probability of interaction.
99.9% Relevancy Score
99.9% Relevancy Score
99.9% Relevancy Score
99.4% Relevancy Score
99.1% Relevancy Score
99.1% Relevancy Score
99.1% Relevancy Score
99% Relevancy Score
98.6% Relevancy Score