ISO 9001:2015 Certified
Live Customer Support
4.5/5 on Trustpilot
100% Quality Guarantee

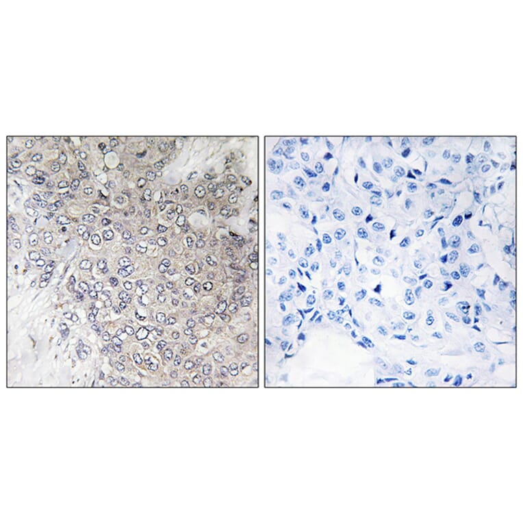
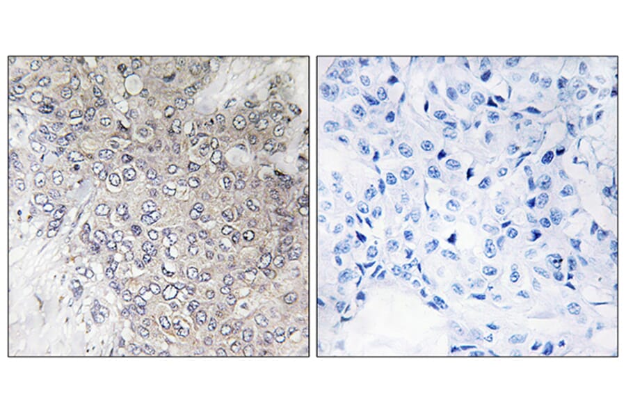
Anti-p70 S6 Kinase (phospho Thr421) Antibody (A94564)

Rabbit polyclonal antibody to p70 S6 Kinase (phospho Thr421) for WB, IHC, IF and ELISA.

Shipping Information

$40
Dispatched from St. Louis, MO.
Lead Time: 6-8 business days.
Name
Anti-p70 S6 Kinase (phospho Thr421) Antibody
Description
Rabbit polyclonal antibody to p70 S6 Kinase (phospho Thr421).
Specificity
This antibody detects endogenous levels of p70 S6 Kinase only when phosphorylated at Thr421.
Applications
WB, IHC, IF, ELISA
Dilutions
WB: 1:500~1:1000, IHC: 1:50~1:100, ELISA: 1:10000
Reactivity
Human, Mouse, Rat
Cross Reactivity
No reported cross-reactivity.
Immunogen
Synthetic peptide derived from human p70 S6 Kinase around the phosphorylation site of Thr421 (amino acids 411-460).
Host
Rabbit
Clonality
Polyclonal
Isotype
IgG
Conjugate

Unconjugated

Purification
Purified from rabbit serum by antigen affinity chromatography using the immunizing peptide.
Molecular Weight
59kDa
Product Form
Liquid
Formulation
Supplied in Phosphate Buffered Saline (without Mg2+ and Ca2+), pH 7.4, with 150mM NaCl, 0.02% Sodium Azide, and 50% Glycerol.
Storage
Shipped at 4°C. Upon delivery aliquot and store at -20°C. Avoid freeze / thaw cycles.
Synonyms
70 kDa ribosomal protein S6 kinase 1, p70 ribosomal S6 kinase alpha, p70 S6 kinase alpha, p70 S6K-alpha, p70 S6KA, p70-S6K 1, P70S6K1, Ribosomal protein S6 kinase beta-1, Ribosomal protein S6 kinase I, RPS6KB1, S6K-beta-1, S6K1, Serine/threonine-protein kinase 14A, STK14A
Disclaimer
This product is for research use only. It is not intended for diagnostic or therapeutic use.
Publishing research using Anti-p70 S6 Kinase (phospho Thr421) Antibody (A94564)? Please let us know so that we can list the citation on this page.

Alternative products to Anti-p70 S6 Kinase (phospho Thr421) Antibody (A94564)

Proteins predicted to interact with p70 S6 Kinase

Predicted protein interactions based upon String database. Revelancy score correlates with probability of interaction.
99.9% Relevancy Score
99.9% Relevancy Score
99.9% Relevancy Score
99.4% Relevancy Score
99.1% Relevancy Score
99.1% Relevancy Score
99.1% Relevancy Score
99% Relevancy Score
98.6% Relevancy Score