ISO 9001:2015 Certified
Live Customer Support
4.5/5 on Trustpilot
100% Quality Guarantee

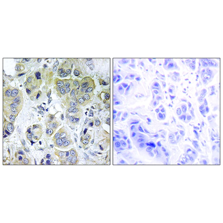
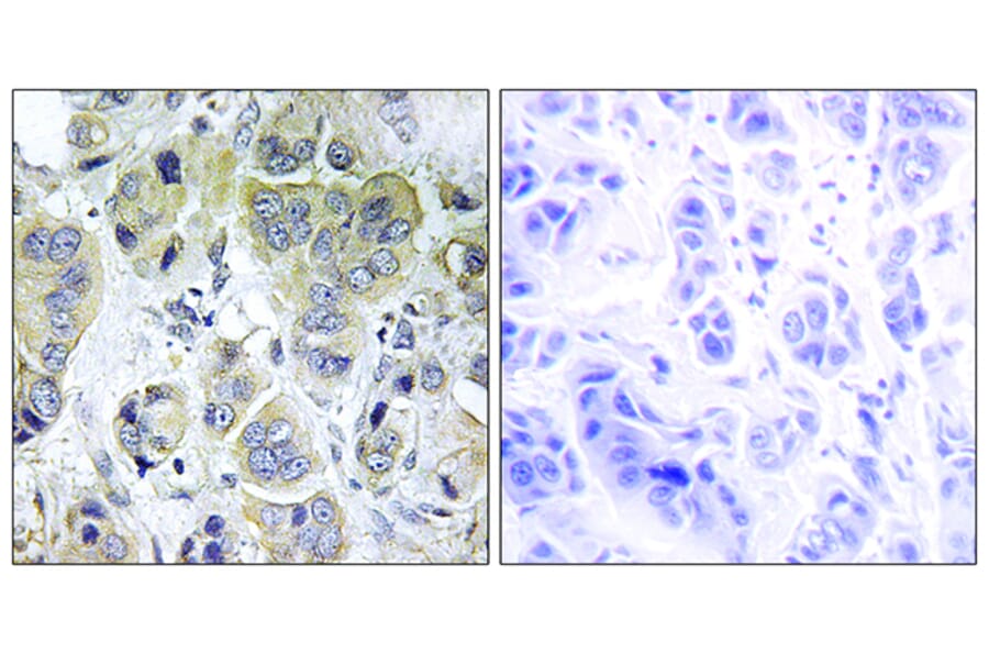
Anti-p70 S6 Kinase Antibody (A94750)

Rabbit polyclonal antibody to p70 S6 Kinase for WB, IHC and ELISA.

Shipping Information

$40
Dispatched from St. Louis, MO.
Lead Time: 6-8 business days.
Name
Anti-p70 S6 Kinase Antibody
Description
Rabbit polyclonal antibody to p70 S6 Kinase.
Applications
WB, IHC, ELISA
Dilutions
WB: 1:500-1:1000, IHC: 1:50-1:100, ELISA: 1:10000
Reactivity
Human, Mouse, Rat
Immunogen
Synthetic peptide derived from human p70 S6 Kinase (amino acids 401-450).
Host
Rabbit
Clonality
Polyclonal
Isotype
IgG
Conjugate

Unconjugated

Purification
Purified from rabbit serum by antigen affinity chromatography using the immunizing peptide.
Molecular Weight
59kDa
Product Form
Liquid
Formulation
Supplied in Phosphate Buffered Saline (without Mg2+ and Ca2+), pH 7.4, with 150mM NaCl, 0.02% Sodium Azide, and 50% Glycerol.
Storage
Shipped at 4°C. Upon delivery aliquot and store at -20°C. Avoid freeze / thaw cycles.
Disclaimer
This product is for research use only. It is not intended for diagnostic or therapeutic use.
Publishing research using Anti-p70 S6 Kinase Antibody (A94750)? Please let us know so that we can list the citation on this page.

Alternative products to Anti-p70 S6 Kinase Antibody (A94750)