ISO 9001:2015 Certified
Live Customer Support
4.5/5 on Trustpilot
100% Quality Guarantee

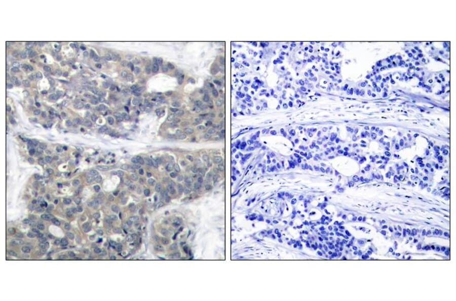
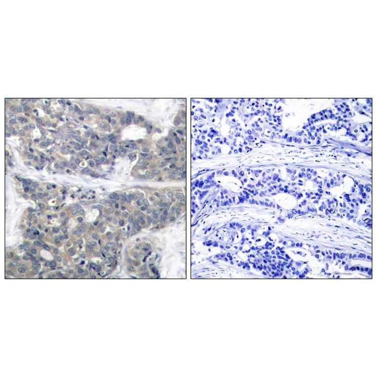
Anti-p70 S6 Kinase (Phospho-Thr421) Antibody (A50130)

$290

Rabbit polyclonal antibody to p70 S6 Kinase (Phospho-Thr421) for WB, IHC and IF.

Shipping Information

$40
Dispatched from St. Louis, MO.
Lead Time: 6-9 business days.
Name
Anti-p70 S6 Kinase (Phospho-Thr421) Antibody
Description
Rabbit polyclonal antibody to p70 S6 Kinase (Phospho-Thr421)
Specificity
The antibody detects endogenous level of p70 S6 Kinase only when phosphorylated at threonine 421.
Applications
WB, IHC, IF
Reactivity
Human, Mouse, Rat
Immunogen
Peptide sequence around phosphorylation site of threonine 421 (P-R-T(p)-P-V) derived from Human p70 S6 Kinase.
Host
Rabbit
Clonality
Polyclonal
Conjugate

Unconjugated

Purification
Antibodies were produced by immunizing rabbits with synthetic phosphopeptide and KLH conjugates. Antibodies were purified by affinity-chromatography using epitope-specific phosphopeptide. Non-phospho specific antibodies were removed by chromatogramphy using non-phosphopeptide.
Concentration
1 mg/ml
Formulation
Supplied at 1.0mg / mL in phosphate buffered saline (without Mg2+ and Ca2+), pH 7.4, 150mM NaCl, 0.02% sodium azide and 50% glycerol.
Storage
Store at -20°C for long term preservation (recommended). Store at 4°C for short term use.
Synonyms
70 kDa ribosomal protein S6 kinase 1, p70 ribosomal S6 kinase alpha, p70 S6 kinase alpha, p70 S6K-alpha, p70 S6KA, p70-S6K 1, P70S6K1, Ribosomal protein S6 kinase beta-1, Ribosomal protein S6 kinase I, RPS6KB1, S6K-beta-1, S6K1, Serine/threonine-protein kinase 14A, STK14A
Disclaimer
This product is for research use only. It is not intended for diagnostic or therapeutic use.
Publishing research using Anti-p70 S6 Kinase (Phospho-Thr421) Antibody (A50130)? Please let us know so that we can list the citation on this page.

Alternative products to Anti-p70 S6 Kinase (Phospho-Thr421) Antibody (A50130)

Proteins predicted to interact with p70 S6 Kinase

Predicted protein interactions based upon String database. Revelancy score correlates with probability of interaction.
99.9% Relevancy Score
99.9% Relevancy Score
99.9% Relevancy Score
99.4% Relevancy Score
99.1% Relevancy Score
99.1% Relevancy Score
99.1% Relevancy Score
99% Relevancy Score
98.6% Relevancy Score