ISO 9001:2015 Certified
Live Customer Support
4.5/5 on Trustpilot
100% Quality Guarantee

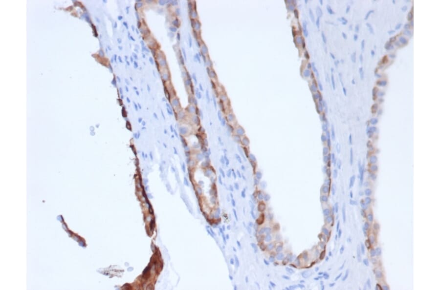
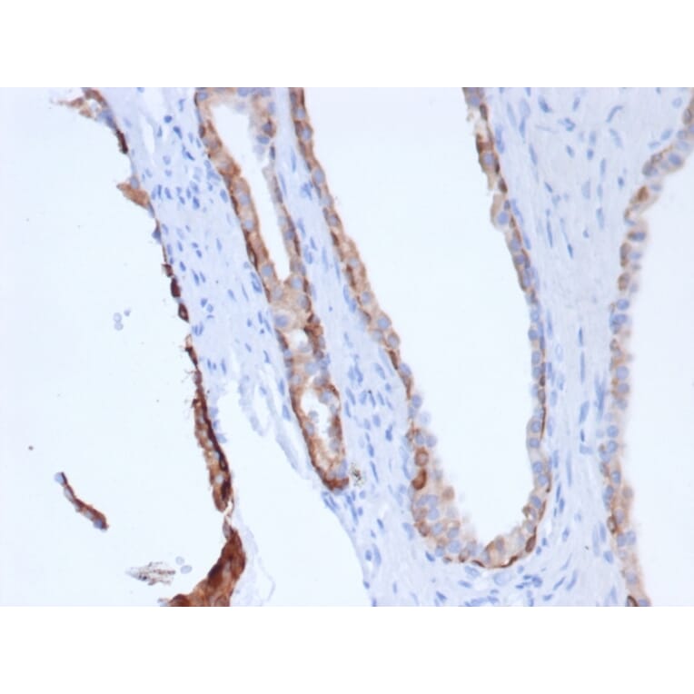
Recombinant Anti-pan Cytokeratin Antibody [Cocktail rPCK/6750] - BSA and Azide free (A278532)

Recombinant mouse monoclonal [Cocktail rPCK/6750] antibody to pan Cytokeratin for Flow Cytometry, IF and IHC-P.

Alternative Formats and ConjugatesAlternative Formats

Shipping Information

$40
Dispatched from St. Louis, MO.
Lead Time: 5-8 business days.
Name
Anti-pan Cytokeratin Antibody [Cocktail rPCK/6750] - BSA and Azide free
Description
Recombinant mouse monoclonal [Cocktail rPCK/6750] antibody to pan Cytokeratin.
Specificity
Anti-cytokeratin clone rPCK/6750 (CK rPCK/6750) demonstrates a broad spectrum of cytokeratin reactivity. In normal tissues, rPCK/6750 is reactive with most epithelial types, including bile ducts and hepatocytes in liver, bladder epithelium, breast ducts, bronchial epithelium, endometrium, intestinal epithelium of stomach, duodenum, ileum, colon, rectum, pancreas, ovarian epithelium, pancreatic acini, pituitary acini, pneumocytes, prostate, thyroid, skin (positive on the basal layer and negative on the superficial layers of squamous epithelium), and apocrine and sweat glands. In tumors, rPCK/6750 is reactive with most carcinomas, including breast, transitional cell (TCC), renal cell (RCC), lung adenocarcinoma, lung small cell, lung squamous cell, endometrial, prostate, ovarian, hepatocellular (HCC), colorectal CA, stomach and thyroid. It is negative in certain normal tissues, including brain, lymphocytes and all cells of hematolymphoid origin, muscle, brain, nerves, endothelium and in certain tumors including most melanomas, sarcomas, lymphomas, primitive neuroectodermal tumors (PNET)/Ewings and gastrointestinal stromal tumors (GIST). Positivity has been seen on some dendritic cells in lymph nodes, some endothelia, and some muscle cells.
Applications
Flow Cytometry, IF, IHC-P
Dilutions
Flow Cytometry: 1-2 µg/million cells, IF: 1-2 µg/ml, IHC-P: 1-2 µg/ml
Reactivity
Human, Feline, Canine
Immunogen
Crude cytokeratin extract prepared from RT-4 and MCF-7 cells.
Host
Mouse
Clonality
Monoclonal
Clone ID
Cocktail rPCK/6750
Isotype
IgG1
Light Chains
kappa
Conjugate

Unconjugated

Purification
Protein A/G chromatography.
Concentration
1 mg/ml
Molecular Weight
40-67 kDa (Multiple)
Product Form
Liquid
Formulation
Supplied in 10mM Phosphate Buffered Saline; without Sodium Azide and carrier free.
Storage
Shipped at 4°C. Upon delivery aliquot and store at -20°C. Avoid freeze / thaw cycles.
General Notes
This monoclonal antibody is also available in a different formulation with BSA and Sodium Azide - Anti-pan Cytokeratin Antibody [Cocktail rPCK/6750] (A277944).
Disclaimer
This product is for research use only. It is not intended for diagnostic or therapeutic use.
Publishing research using Recombinant Anti-pan Cytokeratin Antibody [Cocktail rPCK/6750] - BSA and Azide free (A278532)? Please let us know so that we can list the citation on this page.

Alternative products to Anti-pan Cytokeratin Antibody [Cocktail rPCK/6750] - BSA and Azide free (A278532)