ISO 9001:2015 Certified
Live Customer Support
4.5/5 on Trustpilot
100% Quality Guarantee

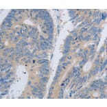
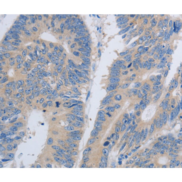
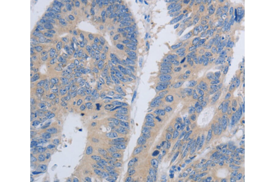
Anti-PAR4 Antibody (A30392)

$435

Rabbit polyclonal antibody to PAR4 for WB and IHC.

Shipping Information

$40
Dispatched from St. Louis, MO.
Lead Time: 7-10 business days.
Name
Anti-PAR4 Antibody
Description
Rabbit polyclonal antibody to PAR4
Specificity
PAR4 pAb detects endogenous levels of PAR4 protein.
Applications
WB, IHC
Reactivity
Human, Mouse, Rat
Immunogen
Recombinant full length Human PAR4.
Host
Rabbit
Clonality
Polyclonal
Conjugate

Unconjugated

Molecular Weight
~ 45 kDa
Purity
The antibody was affinity-purified from rabbit antiserum by affinity-chromatography using epitope-specific immunogen and the purity is > 95% (by SDS-PAGE).
Product Form
1mg/ml in PBSwith0.1%SodiumAzide,50%Glycerol.
Synonyms
2310001G03Rik, PAR 4, PAR-4, Pawr, PAWR_HUMAN, PRKC Apoptosis WT1 Regulator, PRKC apoptosis WT1 regulator protein, Prostate apoptosis response 4 protein, Prostate apoptosis response protein 4, prostate apoptosis response protein PAR-4, Transcriptional repressor Par-4-like protein PAWR, Transcriptional repressor PAR4, WT1 Interacting Protein
Disclaimer
This product is for research use only. It is not intended for diagnostic or therapeutic use.
Publishing research using Anti-PAR4 Antibody (A30392)? Please let us know so that we can list the citation on this page.

Alternative products to Anti-PAR4 Antibody (A30392)