ISO 9001:2015 Certified
Live Customer Support
4.5/5 on Trustpilot
100% Quality Guarantee

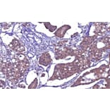
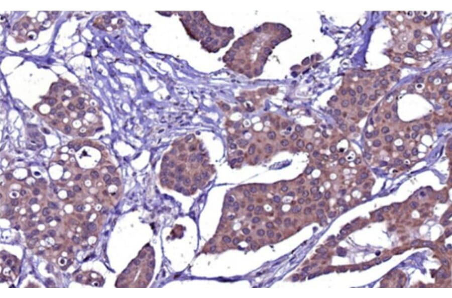
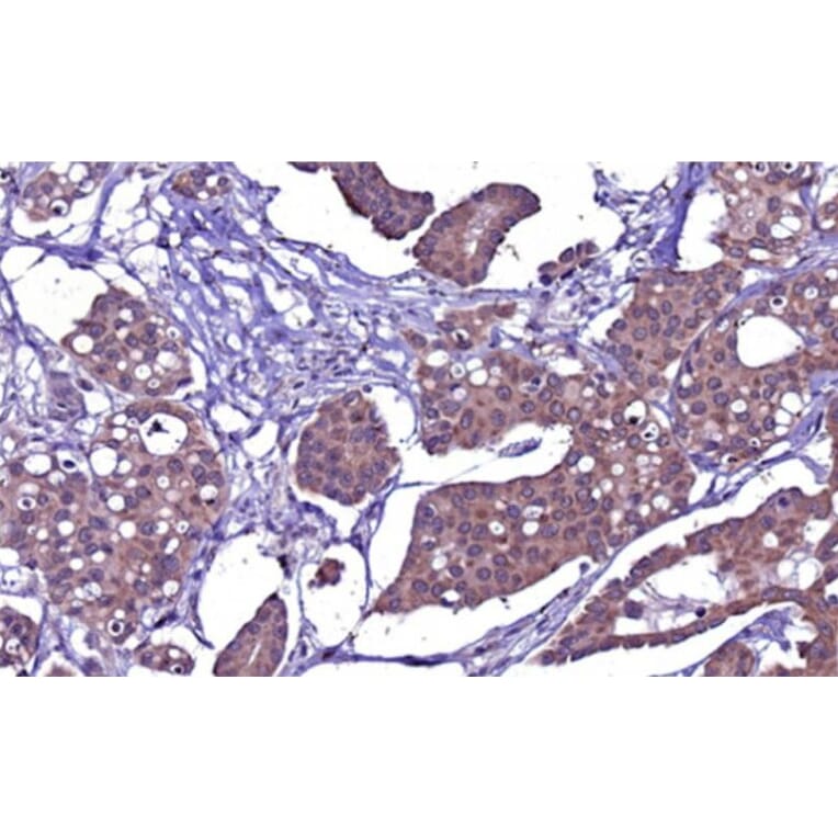
Anti-PAX3 Antibody [PAX3/8426] - BSA and Azide free (A316851)

Mouse monoclonal [PAX3/8426] antibody to PAX3 for IHC-P.

Alternative Formats and ConjugatesAlternative Formats

Shipping Information

$40
Dispatched from St. Louis, MO.
Lead Time: 5-8 business days.
Name
Anti-PAX3 Antibody [PAX3/8426] - BSA and Azide free
Description
Mouse monoclonal [PAX3/8426] antibody to PAX3.
Specificity
Pax genes contain paired domains that share strong homology to genes in Drosophila which are involved in programming early development. The product of the PAX3 gene is a DNA-binding protein expressed during early neurogenesis. Pax-3 is a protein containing both a paired domain and a paired-type homeodomain. During early neurogenesis, Pax-3 expression is limited to mitotic cells in the ventricular zone of the developing spinal cord and to distinct regions in the hindbrain, midbrain and diencephalon. In 10-12 day embryos, expression of Pax-3 is also seen in neural crest cells of the developing spinal ganglia, the craniofacial mesectoderm and in limb mesenchyme. Mutations in the MITF and Pax-3 genes, encoding transcription factors, are responsible for Waardenburg syndrome II (WSII) and WSI/WSIII, respectively.
Applications
IHC-P
Positive Control
Human skin and skeletal muscle tissue.
Dilutions
IHC: 1-2 µg/ml
Reactivity
Human
Immunogen
Recombinant fragment (around Amino Acids 150-350) of human PAX3 protein. The exact sequence is proprietary.
Host
Mouse
Clonality
Monoclonal
Clone ID
PAX3/8426
Isotype
IgG1
Light Chains
kappa
Conjugate

Unconjugated

Purification
Protein A/G chromatography.
Concentration
1 mg/ml
Molecular Weight
56 kDa
Product Form
Liquid
Formulation
Supplied in 10mM Phosphate Buffered Saline; without Sodium Azide and carrier free.
Storage
Shipped at 4°C. Upon delivery aliquot and store at -20°C. Avoid freeze / thaw cycles.
Synonyms
HUP2, Paired box protein Pax-3
Disclaimer
This product is for research use only. It is not intended for diagnostic or therapeutic use.
Publishing research using Anti-PAX3 Antibody [PAX3/8426] - BSA and Azide free (A316851)? Please let us know so that we can list the citation on this page.

Alternative products to Anti-PAX3 Antibody [PAX3/8426] - BSA and Azide free (A316851)

Proteins predicted to interact with PAX3

Predicted protein interactions based upon String database. Revelancy score correlates with probability of interaction.
99.7% Relevancy Score
95.9% Relevancy Score
95% Relevancy Score
94.5% Relevancy Score
93.8% Relevancy Score
93.6% Relevancy Score
92.5% Relevancy Score
90.7% Relevancy Score
90% Relevancy Score