Primary Antibodies
Secondary Antibodies
Proteins & Peptides
ELISA Kits
About Us
Contact Us
Sign In/Register
0
ISO 9001:2015 Certified
Live Customer Support
4.5/5 on Trustpilot
100% Quality Guarantee
Home
Primary Antibodies
PAX8 Antibodies
Anti-PAX8 Antibody (A38686)
Anti-PAX8 Antibody (A38686)
Overview
Specifications
Images
Enlarge Image
Enlarge Image
$430
Product Datasheet
Rabbit polyclonal antibody to PAX8 for WB and IHC.
100% Guarantee
Price Match Guarantee
Product Size:
100µl
Quantity:
1
2
3
4
5
6
7
8
9
10
Add To Cart
Request a Quotation
Custom or Bulk Request
Shipping Information
Freight/Packing Charges:
$40
Dispatched from St. Louis, MO.
Lead Time: 6-9 business days.
Specifications
Name
Anti-PAX8 Antibody
Description
Rabbit polyclonal antibody to PAX8
Specificity
The antibody detects endogenous levels of total PAX8 protein.
Applications
WB
,
IHC
Reactivity
Human, Mouse
Immunogen
Fusion protein corresponding to residues near the C terminal of human Paired box 8
Host
Rabbit
Clonality
Polyclonal
Conjugate
Unconjugated
Purification
Antigen affinity purification.
Concentration
1 mg/mL
Formulation
Supplied in PBS, pH 7.3, containing 0.05% sodium azide and 50% glycerol.
Storage
Shipped at 4°C. Upon delivery aliquot and store at -20°C. Avoid freeze/thaw cycles.
Synonyms
Paired box protein Pax-8
Suitable Secondaries
Goat Anti-Rabbit IgG H&L Antibody (AP) (A294874)
Goat Anti-Rabbit IgG H&L Antibody (Biotin) (A294795)
Goat Anti-Rabbit IgG H&L Antibody (FITC) (A294887)
Goat Anti-Rabbit IgG H&L Antibody (HRP) (A294888)
See all Anti-Rabbit IgG Secondaries →
Disclaimer
This product is for research use only. It is not intended for diagnostic or therapeutic use.
Scientific Validation Data
Validation Data
(2)
Enlarge Image
Anti-PAX8 Antibody (A38686)
Gel: 10% SDS-PAGE Lysates (from left to right): MCF7 cell and mouse brain tissue Amount of lysate: 40ug per lane Primary antibody: 1/250 dilution Secondary antibody dilution: 1/8000 Exposure time: 2 minutes
Enlarge Image
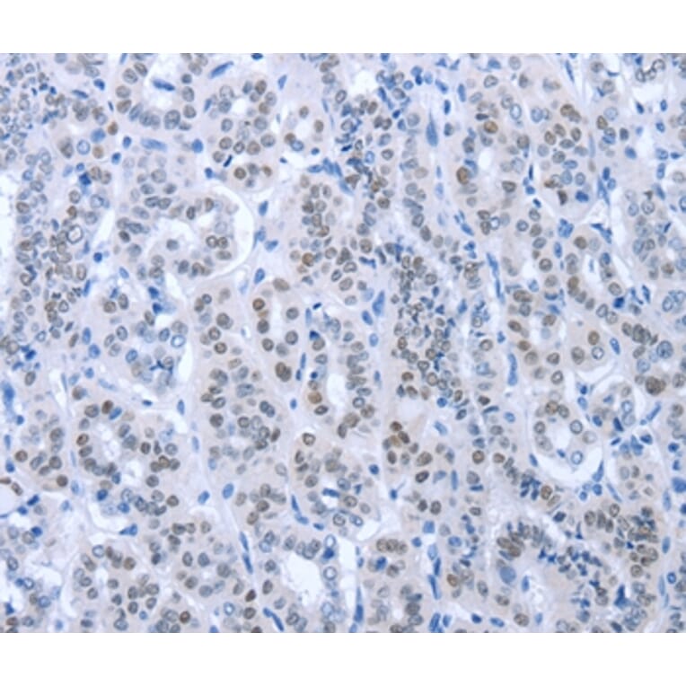
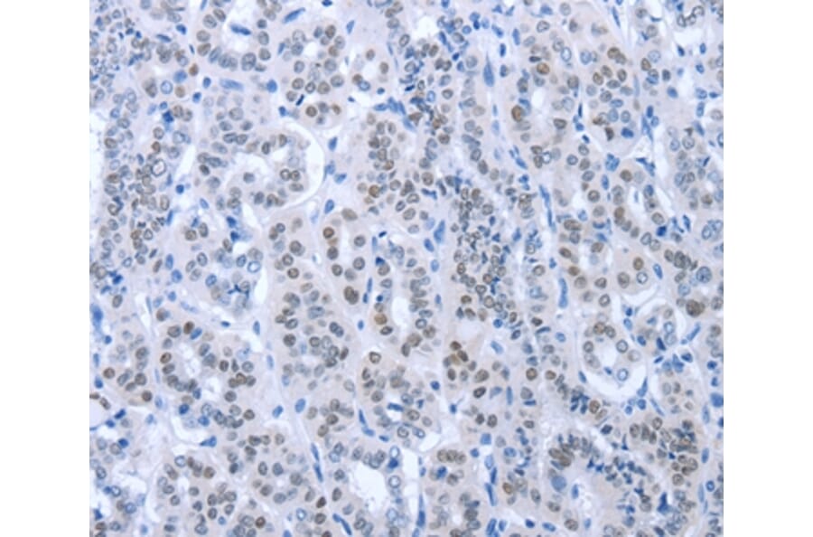
Immunohistochemistry - Anti-PAX8 Antibody (A38686)
Immunohistochemical analysis of paraffin-embedded Human thyroid cancer tissue using #35870 at dilution 1/35.
Publishing research using Anti-PAX8 Antibody (A38686)? Please
let us know
so that we can list the citation on this page.
Alternative products to Anti-PAX8 Antibody (A38686)
(5)
A95818
Anti-Pax-8 Antibody
Rabbit polyclonal antibody to Pax-8 for WB, IHC, IF and ELISA.
(6)
A253541
Anti-PAX8 Antibody [PAX8/1492] - BSA and Azide free
Mouse monoclonal [PAX8/1492] antibody to PAX8 for Flow Cytometry, IF, WB and IHC-P.
(6)
A250361
Anti-PAX8 Antibody [PAX8/1492]
Mouse monoclonal [PAX8/1492] antibody to PAX8 for Flow Cytometry, IF, WB and IHC-P.
(5)
A253540
Anti-PAX8 Antibody [PAX8/1491] - BSA and Azide free
Mouse monoclonal [PAX8/1491] antibody to PAX8 for WB and IHC-P.
(5)
A250360
Anti-PAX8 Antibody [PAX8/1491]
Mouse monoclonal [PAX8/1491] antibody to PAX8 for WB and IHC-P.
(2)
A253542
Anti-PAX8 Antibody [PAX8/1491 + PAX8/1492] - BSA and Azide free
Mouse monoclonal [PAX8/1491 + PAX8/1492] antibody to PAX8 for Flow Cytometry, IF, WB and IHC-P.
(3)
A305642
Anti-PAX8 Antibody [ARC55538]
Rabbit monoclonal [ARC55538] antibody to PAX8 for IHC.
(2)
A83481
Anti-PAX8 Antibody
Goat polyclonal antibody to the N-terminus of PAX8 for ELISA, WB and IHC.
(2)
A250362
Anti-PAX8 Antibody [PAX8/1491 + PAX8/1492]
Mouse monoclonal [PAX8/1491 + PAX8/1492] antibody to PAX8 for Flow Cytometry, IF, WB and IHC-P.
A55053
Anti-PAX8 Antibody
Rabbit polyclonal antibody to PAX8 for ELISA, IP and WB.
A55054
Anti-PAX8 Antibody
Rabbit polyclonal antibody to PAX8 for ELISA, IP and WB.
A55055
Anti-PAX8 Antibody
Rabbit polyclonal antibody to PAX8 for ELISA, IP and WB.
(5)
A95818
Anti-Pax-8 Antibody
Rabbit polyclonal antibody to Pax-8 for WB, IHC, IF and ELISA.
(6)
A253541
Anti-PAX8 Antibody [PAX8/1492] - BSA and Azide free
Mouse monoclonal [PAX8/1492] antibody to PAX8 for Flow Cytometry, IF, WB and IHC-P.
(6)
A250361
Anti-PAX8 Antibody [PAX8/1492]
Mouse monoclonal [PAX8/1492] antibody to PAX8 for Flow Cytometry, IF, WB and IHC-P.
(5)
A253540
Anti-PAX8 Antibody [PAX8/1491] - BSA and Azide free
Mouse monoclonal [PAX8/1491] antibody to PAX8 for WB and IHC-P.
(5)
A250360
Anti-PAX8 Antibody [PAX8/1491]
Mouse monoclonal [PAX8/1491] antibody to PAX8 for WB and IHC-P.
(2)
A253542
Anti-PAX8 Antibody [PAX8/1491 + PAX8/1492] - BSA and Azide free
Mouse monoclonal [PAX8/1491 + PAX8/1492] antibody to PAX8 for Flow Cytometry, IF, WB and IHC-P.
(3)
A305642
Anti-PAX8 Antibody [ARC55538]
Rabbit monoclonal [ARC55538] antibody to PAX8 for IHC.
(2)
A83481
Anti-PAX8 Antibody
Goat polyclonal antibody to the N-terminus of PAX8 for ELISA, WB and IHC.
(2)
A250362
Anti-PAX8 Antibody [PAX8/1491 + PAX8/1492]
Mouse monoclonal [PAX8/1491 + PAX8/1492] antibody to PAX8 for Flow Cytometry, IF, WB and IHC-P.
A55053
Anti-PAX8 Antibody
Rabbit polyclonal antibody to PAX8 for ELISA, IP and WB.
A55054
Anti-PAX8 Antibody
Rabbit polyclonal antibody to PAX8 for ELISA, IP and WB.
A55055
Anti-PAX8 Antibody
Rabbit polyclonal antibody to PAX8 for ELISA, IP and WB.
See all PAX8 Antibodies
Proteins predicted to interact with PAX8
Predicted protein interactions based upon String database. Revelancy score correlates with probability of interaction.
PPAR gamma Antibodies
99.4% Relevancy Score
TTF1 Antibodies
98% Relevancy Score
FOXE1 Antibodies
94% Relevancy Score
Thyroglobulin Antibodies
93.3% Relevancy Score
PKC beta Antibodies
91.8% Relevancy Score
TSHR Antibodies
91.7% Relevancy Score
PRKACG Antibodies
91.3% Relevancy Score
PKA C alpha Antibodies
91.3% Relevancy Score
PRKACB Antibodies
91.3% Relevancy Score
Top