ISO 9001:2015 Certified
Live Customer Support
4.5/5 on Trustpilot
100% Quality Guarantee

Anti-PAX8 Antibody [PAX8/1491] - BSA and Azide free (A253540)

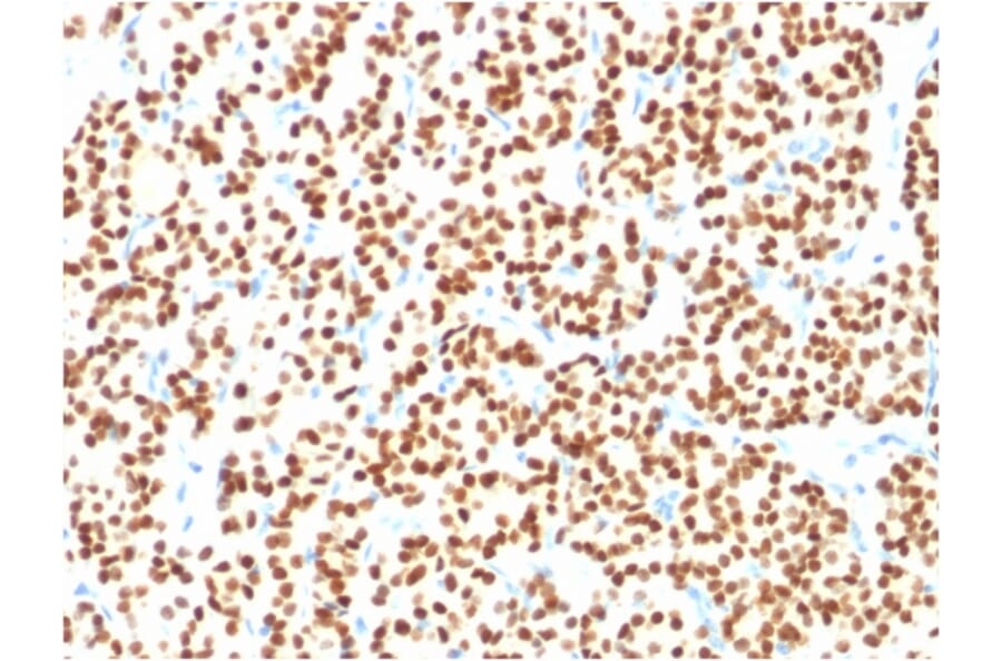
Mouse monoclonal [PAX8/1491] antibody to PAX8 for WB and IHC-P.

Alternative Formats and ConjugatesAlternative Formats

Shipping Information

$40
Dispatched from St. Louis, MO.
Lead Time: 5-8 business days.
Name
Anti-PAX8 Antibody [PAX8/1491] - BSA and Azide free
Description
Mouse monoclonal [PAX8/1491] antibody to PAX8.
Specificity
This antibody recognizes a protein of 62kDa, identified as PAX8. It is a member of the paired box (PAX) family of transcription factors. This nuclear protein is involved in thyroid follicular cell development and expression of thyroid-specific genes. Mutations in this gene have been associated with thyroid dysgenesis, thyroid follicular carcinomas, and atypical thyroid adenomas. PAX-8 is expressed in the thyroid (and associated carcinomas), non-ciliated mucosal cells of the fallopian tubes, and simple ovarian inclusion cysts, but not normal ovarian surface epithelial cells. PAX-8 is expressed in a high percentage of ovarian serous, endometrioid, and clear cell carcinomas, but only rarely in primary ovarian mucinous adenocarcinomas. PAX-8 expression is reported in renal tubules as well as renal cell carcinoma, nephroblastoma, and seminoma. PAX-8 antibody may be used as an additional immunohistochemical marker for renal epithelial tumors.
Applications
WB, IHC-P
Dilutions
WB: 1-2 µg/ml, IHC-P: 1-2 µg/ml
Reactivity
Human
Immunogen
Recombinant fragment, around amino acids 60-261, of human PAX8 protein. The exact sequence is proprietary.
Host
Mouse
Clonality
Monoclonal
Clone ID
PAX8/1491
Isotype
IgG2b
Light Chains
kappa
Conjugate

Unconjugated

Purification
Protein A/G chromatography.
Concentration
1 mg/ml
Molecular Weight
62 kDa
Product Form
Liquid
Formulation
Supplied in 10mM Phosphate Buffered Saline; without Sodium Azide and carrier free.
Storage
Shipped at 4°C. Upon delivery aliquot and store at -20°C. Avoid freeze / thaw cycles.
General Notes
This monoclonal antibody is also available in a different formulation with BSA and Sodium Azide - Anti-PAX8 Antibody [PAX8/1491] (A250360).
Synonyms
Paired box protein Pax-8
Disclaimer
This product is for research use only. It is not intended for diagnostic or therapeutic use.
Publishing research using Anti-PAX8 Antibody [PAX8/1491] - BSA and Azide free (A253540)? Please let us know so that we can list the citation on this page.

Alternative products to Anti-PAX8 Antibody [PAX8/1491] - BSA and Azide free (A253540)

Proteins predicted to interact with PAX8

Predicted protein interactions based upon String database. Revelancy score correlates with probability of interaction.
99.4% Relevancy Score
98% Relevancy Score
94% Relevancy Score
93.3% Relevancy Score
91.8% Relevancy Score
91.7% Relevancy Score
91.3% Relevancy Score
91.3% Relevancy Score
91.3% Relevancy Score