Western Blot - Anti-PD-L1 Antibody [ARC5110-01] (A93289)
Western blot analysis of extracts of Raji cells, using Anti-PD-L1 Antibody [ARC5110-01] (A93289) at 1:500 dilution. The secondary antibody was Goat Anti-Rabbit IgG H&L Antibody (HRP) at 1:10,000 dilution. Lysates/proteins were present at 25µg per lane. The blocking buffer used was 3% non-fat dry milk in TBST. Detection was with a ECL Basic Kit. Exposure time: 3min.
Western Blot - Anti-PD-L1 Antibody [ARC5110-01] (A93289)
Western blot analysis of various lysates, using Anti-PD-L1 Antibody [ARC5110-01] (A93289) at 1:400 dilution. A-549 cells were treated by IFNG (100 ng/ml) at 37°C for 48 hours. The secondary antibody was Goat Anti-Rabbit IgG H&L Antibody (HRP) at 1:10,000 dilution. Lysates/proteins were present at 25µg per lane. The blocking buffer used was 3% non-fat dry milk in TBST. Detection was with a ECL Basic Kit. Exposure time: 20s.
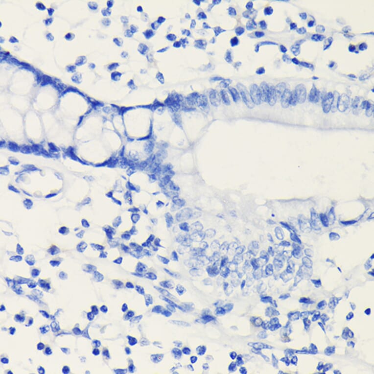
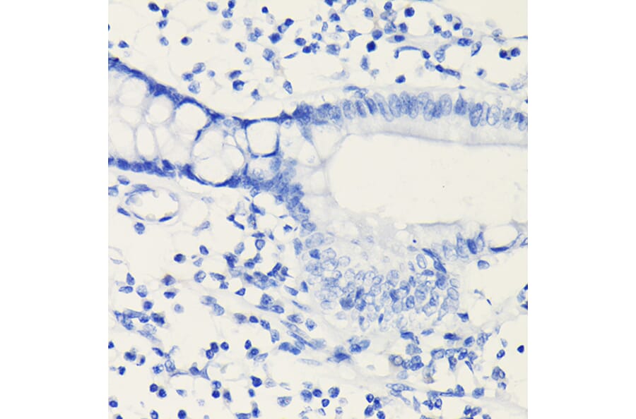
Immunohistochemistry analysis of paraffin-embedded human intestinal adenocarcinoma (negative control samples) using Anti-PD-L1 Antibody [ARC5110-01] (A93289) at a dilution of 1:100 (40x lens). Perform high pressure antigen retrieval with 10 mM citrate buffer pH 6.0 before commencing with IHC staining protocol.
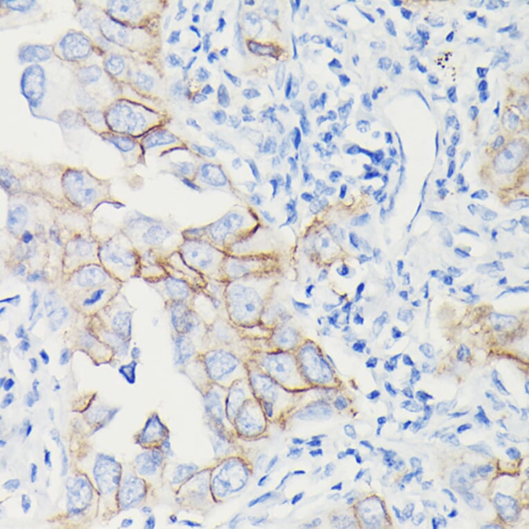
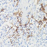
Immunohistochemistry analysis of paraffin-embedded human lung squamous carcinoma tissue using Anti-PD-L1 Antibody [ARC5110-01] (A93289) at a dilution of 1:100 (40x lens). Perform high pressure antigen retrieval with 10 mM citrate buffer pH 6.0 before commencing with IHC staining protocol.
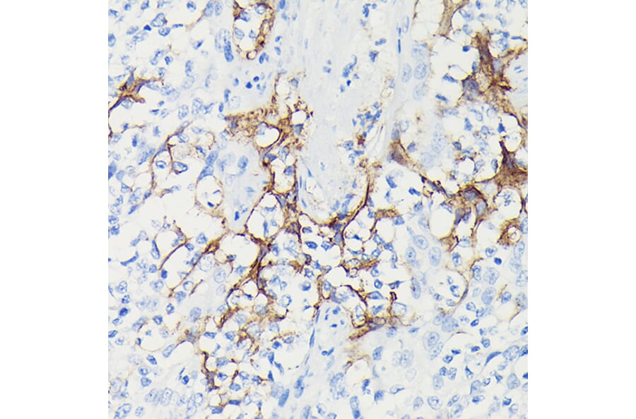
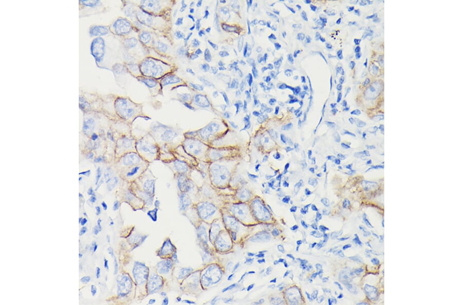
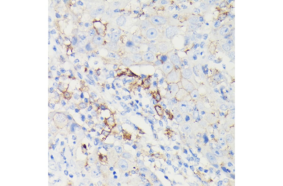
Immunohistochemistry analysis of paraffin-embedded human lung adenocarcinoma using Anti-PD-L1 Antibody [ARC5110-01] (A93289) at a dilution of 1:100 (40x lens). Perform high pressure antigen retrieval with 10 mM citrate buffer pH 6.0 before commencing with IHC staining protocol.
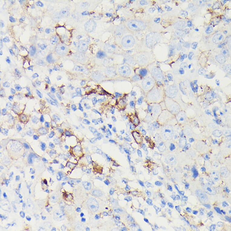
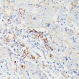
Immunohistochemistry analysis of paraffin-embedded human chronic tonsillitis using Anti-PD-L1 Antibody [ARC5110-01] (A93289) at a dilution of 1:100 (40x lens). Perform high pressure antigen retrieval with 10 mM citrate buffer pH 6.0 before commencing with IHC staining protocol.
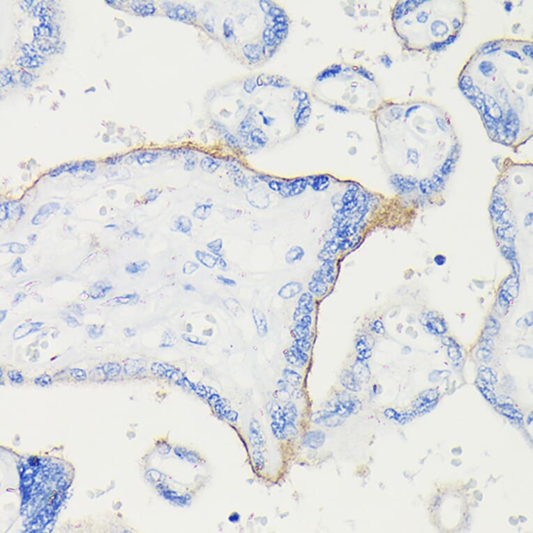
Immunohistochemistry analysis of paraffin-embedded human placenta using Anti-PD-L1 Antibody [ARC5110-01] (A93289) at a dilution of 1:100 (40x lens). Perform high pressure antigen retrieval with 10 mM citrate buffer pH 6.0 before commencing with IHC staining protocol.