ISO 9001:2015 Certified
Live Customer Support
4.5/5 on Trustpilot
100% Quality Guarantee

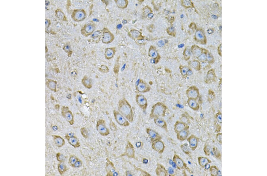
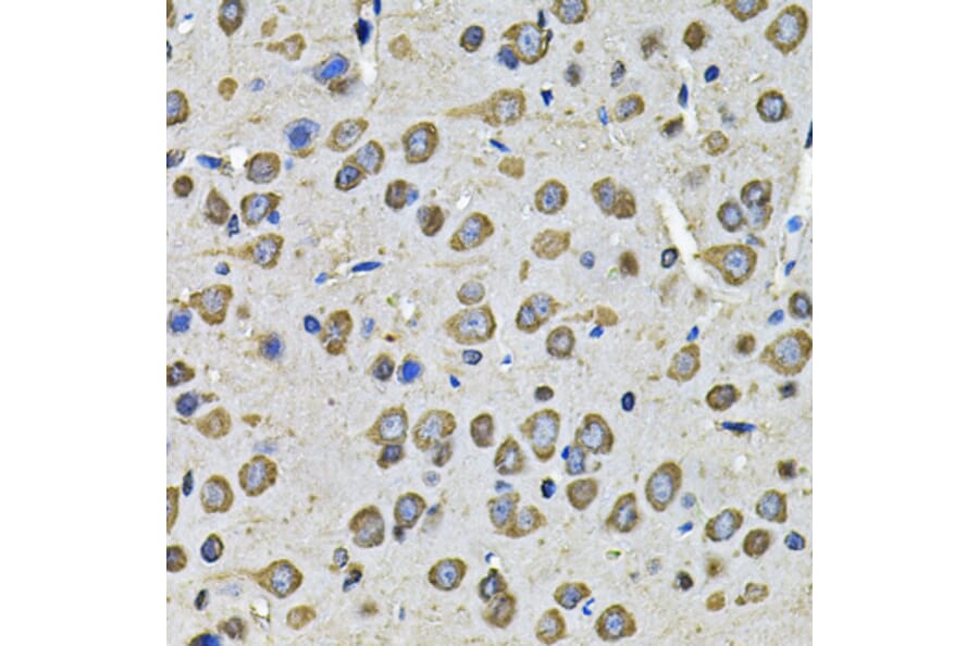
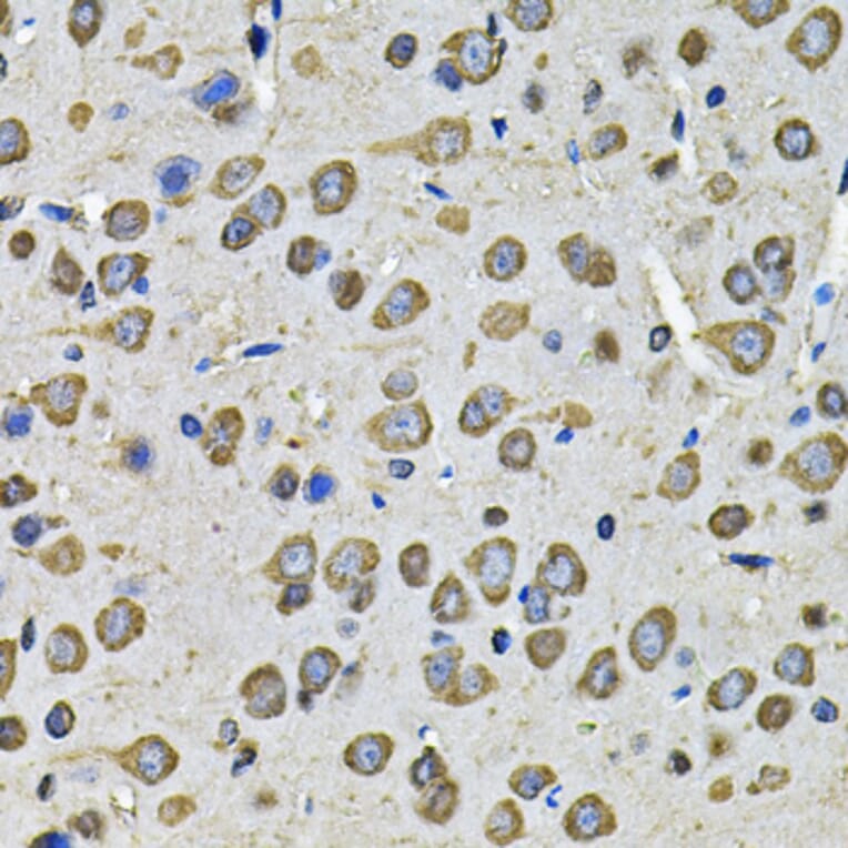
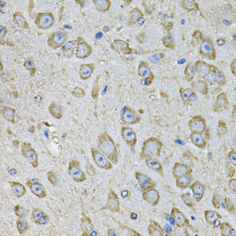
Anti-PDIA6 Antibody (A15513)

Rabbit polyclonal antibody to PDIA6 for WB and IHC.

Shipping Information

$40
Dispatched from St. Louis, MO.
Lead Time: 7-10 business days.
Name
Anti-PDIA6 Antibody
Description
Rabbit polyclonal antibody to PDIA6.
Applications
WB, IHC
Dilutions
WB: 1:500-1:2,000, IHC: 1:50-1:200
Reactivity
Human, Mouse, Rat
Immunogen
Recombinant fusion protein containing a sequence corresponding to amino acids 20-300 of human PDIA6 (NP_005733.1).
Sequence
LYSSSDDVIELTPSNFNREVIQSDSLWLVEFYAPWCGHCQRLTPEWKKAATALKDVVKVGAVDADKHHSLGGQYGVQGFPTIKIFGSNKNRPEDYQGGRTGEAIVDAALSALRQLVKDRLGGRSGGYSSGKQGRSDSSSKKDVIELTDDSFDKNVLDSEDVWMVEFYAPWCGHCKNLEPEWAAAASEVKEQTKGKVKLAAVDATVNQVLASRYGIRGFPTIKIFQKGESPVDYDGGRTRSDIVSRALDLFSDNAPPPELLEIINEDIAKRTCEEHQLCVVA
Host
Rabbit
Clonality
Polyclonal
Isotype
IgG
Conjugate

Unconjugated

Purification
Affinity purification.
Concentration
Lot Specific
Molecular Weight
48 kDa
Product Form
Liquid
Formulation
Supplied in Phosphate Buffered Saline, pH 7.3, with 50% Glycerol and 0.02% Sodium Azide.
Storage
Shipped at 4°C. Upon delivery aliquot and store at -20°C. Avoid freeze/thaw cycles.
Synonyms
Endoplasmic reticulum protein 5, ER protein 5, ERP5, P5, Protein disulfide isomerase P5, Protein disulfide-isomerase A6, Thioredoxin domain-containing protein 7, TXNDC7
Disclaimer
This product is for research use only. It is not intended for diagnostic or therapeutic use.
Publishing research using Anti-PDIA6 Antibody (A15513)? Please let us know so that we can list the citation on this page.

Alternative products to Anti-PDIA6 Antibody (A15513)

Proteins predicted to interact with PDIA6

Predicted protein interactions based upon String database. Revelancy score correlates with probability of interaction.
99.5% Relevancy Score
99% Relevancy Score
97.6% Relevancy Score
96.1% Relevancy Score
95.9% Relevancy Score
95.5% Relevancy Score
94.4% Relevancy Score
94.3% Relevancy Score
93.7% Relevancy Score