ISO 9001:2015 Certified
Live Customer Support
4.5/5 on Trustpilot
100% Quality Guarantee

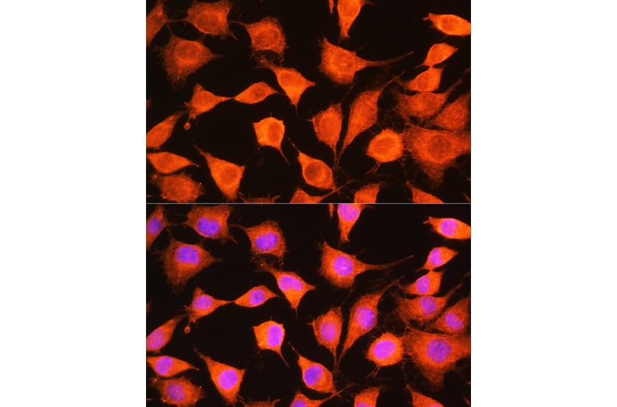
Anti-PHKG2 Antibody (A308523)

This product is discontinued

Anti-PHKG2 Antibody (A308523) has been discontinued and is no longer available.

View all PHKG2 Antibodies.

Name
Anti-PHKG2 Antibody
Description
Rabbit polyclonal antibody to PHKG2.
Applications
WB, ICC/IF
Dilutions
WB: 1:500-1:2,000, ICC/IF: 1:50-1:200
Reactivity
Human, Mouse, Rat
Immunogen
Recombinant fusion protein containing a sequence corresponding to amino acids 237-406 of human PHKG2 (NP_000285.1).
Sequence
RQILMLRMIMEGQYQFSSPEWDDRSSTVKDLISRLLQVDPEARLTAEQALQHPFFERCEGSQPWNLTPRQRFRVAVWTVLAAGRVALSTHRVRPLTKNALLRDPYALRSVRHLIDNCAFRLYGHWVKKGEQQNRAALFQHRPPGPFPIMGPEEEGDSAAITEDEAVLVLG
Host
Rabbit
Clonality
Polyclonal
Isotype
IgG
Conjugate

Unconjugated

Purification
Affinity purification.
Molecular Weight
42 kDa
Product Form
Liquid
Formulation
Supplied in Phosphate Buffered Saline, pH 7.3, with 50% Glycerol and 0.01% Thiomersal.
Storage
Shipped at 4°C. Upon delivery aliquot and store at -20°C. Avoid freeze / thaw cycles.
Synonyms
PHK-gamma-LT, PHK-gamma-T, Phosphorylase b kinase gamma catalytic chain, liver/testis isoform, Phosphorylase kinase subunit gamma-2, PSK-C3
Disclaimer
This product is for research use only. It is not intended for diagnostic or therapeutic use.

Alternative products to Anti-PHKG2 Antibody (A308523)

Proteins predicted to interact with PHKG2

Predicted protein interactions based upon String database. Revelancy score correlates with probability of interaction.
99.9% Relevancy Score
99.9% Relevancy Score
99.9% Relevancy Score
93.9% Relevancy Score
92.2% Relevancy Score
92% Relevancy Score
85.8% Relevancy Score
82.4% Relevancy Score
81% Relevancy Score