Primary Antibodies
Secondary Antibodies
Proteins & Peptides
ELISA Kits
About Us
Contact Us
Sign In/Register
0
ISO 9001:2015 Certified
Live Customer Support
4.5/5 on Trustpilot
100% Quality Guarantee
Home
Primary Antibodies
PIM1 Antibodies
Anti-PIM1 Antibody (A46766)
Anti-PIM1 Antibody (A46766)
Overview
Specifications
Images
Enlarge Image
Enlarge Image
$405
Rabbit polyclonal antibody to PIM1 for IHC.
100% Guarantee
Price Match Guarantee
Product Size:
100µl
Quantity:
1
2
3
4
5
6
7
8
9
10
Add To Cart
Request a Quotation
Custom or Bulk Request
Shipping Information
Freight/Packing Charges:
$40
Dispatched from St. Louis, MO.
Lead Time: 6-9 business days.
Specifications
Name
Anti-PIM1 Antibody
Description
Rabbit polyclonal antibody to PIM1
Specificity
The antibody detects endogenous levels of total PIM1 protein.
Applications
IHC
Reactivity
Human
Immunogen
Fusion protein corresponding to residues near the C terminal of human pim-1 oncogene
Host
Rabbit
Clonality
Polyclonal
Conjugate
Unconjugated
Purification
Antigen affinity purification.
Concentration
1.7mg / ml
Formulation
Rabbit IgG in pH7.3 PBS, 0.05% NaN3, 50% Glycerol.
Storage
Store at -20˚C
Synonyms
Serine/threonine-protein kinase pim-1
Suitable Secondaries
Goat Anti-Rabbit IgG H&L Antibody (AP) (A294874)
Goat Anti-Rabbit IgG H&L Antibody (Biotin) (A294795)
Goat Anti-Rabbit IgG H&L Antibody (FITC) (A294887)
Goat Anti-Rabbit IgG H&L Antibody (HRP) (A294888)
See all Anti-Rabbit IgG Secondaries →
Disclaimer
This product is for research use only. It is not intended for diagnostic or therapeutic use.
Scientific Validation Data
Validation Data
(2)
Enlarge Image
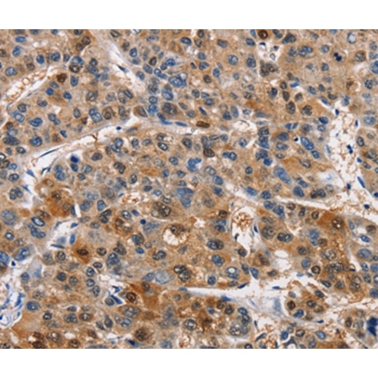
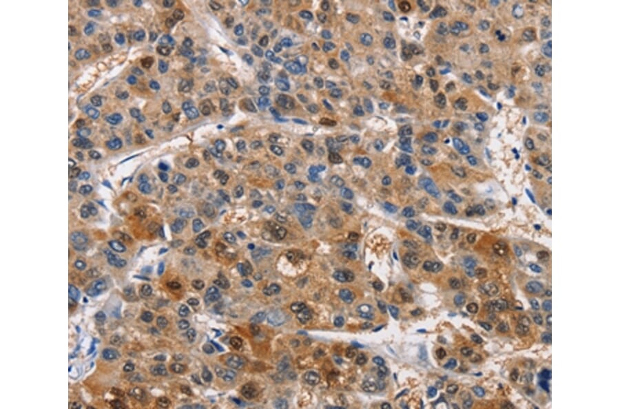
Immunohistochemistry - Anti-PIM1 Antibody (A46766)
Immunohistochemical analysis of paraffin-embedded Human liver cancer tissue using #36202 at dilution 1/40.
Enlarge Image
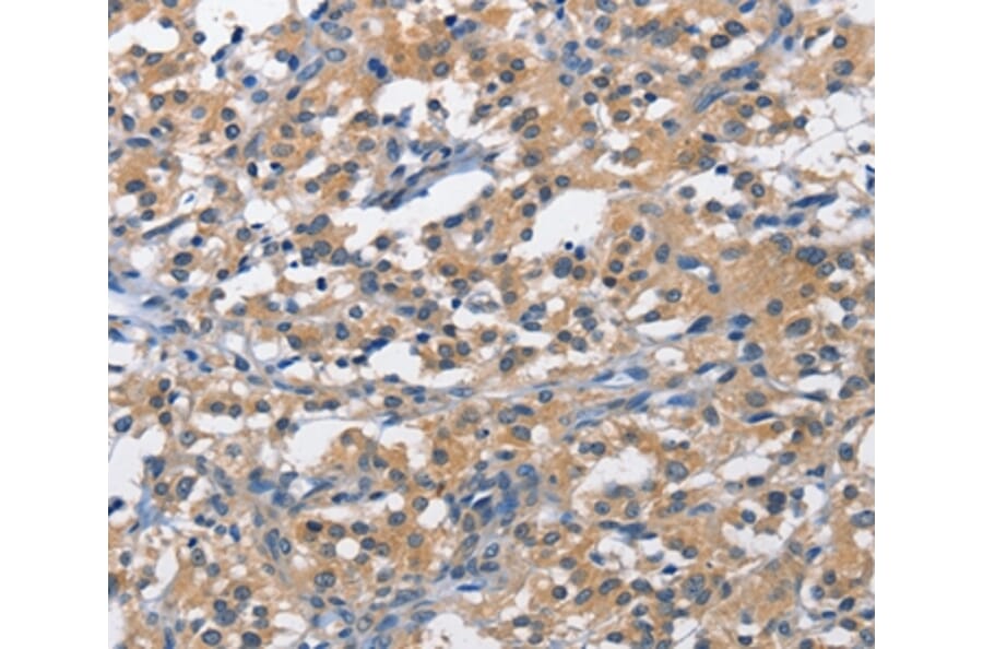
Immunohistochemistry - Anti-PIM1 Antibody (A46766)
Immunohistochemical analysis of paraffin-embedded Human thyroid cancer tissue using #36202 at dilution 1/40.
Publishing research using Anti-PIM1 Antibody (A46766)? Please
let us know
so that we can list the citation on this page.
Alternative products to Anti-PIM1 Antibody (A46766)
(9)
A32400
Anti-PIM1 Antibody
Rabbit monoclonal antibody to PIM1 for WB, ICC/IF and IHC.
(4)
A307510
Anti-PIM1 Antibody [ARC0175]
Rabbit monoclonal [ARC0175] antibody to PIM1 for WB and IHC.
A93823
Anti-Pim-1 (phospho Tyr309) Antibody
Rabbit polyclonal antibody to Pim-1 (phospho Tyr309) for WB and ELISA.
A97345
Anti-Pim-1 Antibody
Rabbit polyclonal antibody to Pim-1 for WB and ELISA.
(2)
A89386
Anti-PIM1 Antibody
Rabbit polyclonal antibody to PIM1 for WB.
A329745
Anti-PIM1 Antibody
Rabbit polyclonal antibody to PIM1 for WB and ELISA.
A26627
Anti-PIM1 (I302) Antibody
Rabbit polyclonal antibody to PIM1 (I302) for WB.
A50963
Anti-Pim-1 (Phospho-Tyr309) Antibody
Rabbit polyclonal antibody to Pim-1 (Phospho-Tyr309) for WB.
A89627
Anti-PIM1 Antibody
Rabbit polyclonal antibody to PIM1 for WB.
(9)
A32400
Anti-PIM1 Antibody
Rabbit monoclonal antibody to PIM1 for WB, ICC/IF and IHC.
(4)
A307510
Anti-PIM1 Antibody [ARC0175]
Rabbit monoclonal [ARC0175] antibody to PIM1 for WB and IHC.
A93823
Anti-Pim-1 (phospho Tyr309) Antibody
Rabbit polyclonal antibody to Pim-1 (phospho Tyr309) for WB and ELISA.
A97345
Anti-Pim-1 Antibody
Rabbit polyclonal antibody to Pim-1 for WB and ELISA.
(2)
A89386
Anti-PIM1 Antibody
Rabbit polyclonal antibody to PIM1 for WB.
A329745
Anti-PIM1 Antibody
Rabbit polyclonal antibody to PIM1 for WB and ELISA.
A26627
Anti-PIM1 (I302) Antibody
Rabbit polyclonal antibody to PIM1 (I302) for WB.
A50963
Anti-Pim-1 (Phospho-Tyr309) Antibody
Rabbit polyclonal antibody to Pim-1 (Phospho-Tyr309) for WB.
A89627
Anti-PIM1 Antibody
Rabbit polyclonal antibody to PIM1 for WB.
See all PIM1 Antibodies
Proteins predicted to interact with PIM1
Predicted protein interactions based upon String database. Revelancy score correlates with probability of interaction.
PIM2 Antibodies
92.4% Relevancy Score
alpha 1 Antitrypsin Antibodies
86.3% Relevancy Score
DDX6 Antibodies
86.2% Relevancy Score
DCP1A Antibodies
84.9% Relevancy Score
EDC3 Antibodies
84.3% Relevancy Score
DCP1B Antibodies
83.4% Relevancy Score
STAT5A Antibodies
83.3% Relevancy Score
STAT5B Antibodies
82.1% Relevancy Score
c-Myc Antibodies
79.6% Relevancy Score
Top