ISO 9001:2015 Certified
Live Customer Support
4.5/5 on Trustpilot
100% Quality Guarantee

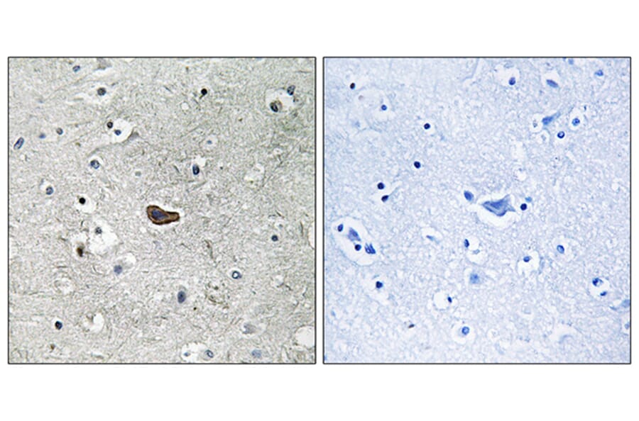
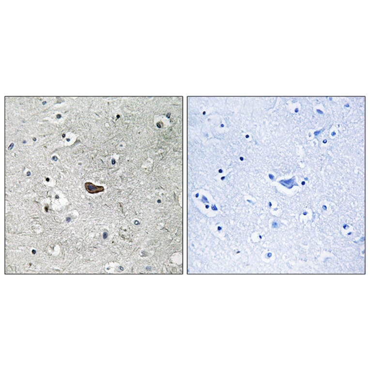
Anti-PKC delta Antibody (A98566)

Rabbit polyclonal antibody to PKC delta for WB, IHC, IF and ELISA.

Shipping Information

$40
Dispatched from St. Louis, MO.
Lead Time: 6-8 business days.
Name
Anti-PKC delta Antibody
Description
Rabbit polyclonal antibody to PKC delta.
Applications
WB, IHC, IF, ELISA
Dilutions
WB: 1:500~1:1000, IHC: 1:50~1:100, ELISA: 1:10000
Reactivity
Human, Rat, Mouse
Cross Reactivity
No reported cross-reactivity.
Immunogen
Synthetic peptide derived from human PKC delta (amino acids 612-661).
Host
Rabbit
Clonality
Polyclonal
Isotype
IgG
Conjugate

Unconjugated

Purification
Purified from rabbit serum by antigen affinity chromatography using the immunizing peptide.
Molecular Weight
77kDa
Product Form
Liquid
Formulation
Supplied in Phosphate Buffered Saline (without Mg2+ and Ca2+), pH 7.4, with 150mM NaCl, 0.02% Sodium Azide, and 50% Glycerol.
Storage
Shipped at 4°C. Upon delivery aliquot and store at -20°C. Avoid freeze / thaw cycles.
Synonyms
EC:2.7.10.2, nPKC-delta, PKCD, PRKCD, Protein kinase C delta type, Tyrosine-protein kinase PRKCD
Disclaimer
This product is for research use only. It is not intended for diagnostic or therapeutic use.
Publishing research using Anti-PKC delta Antibody (A98566)? Please let us know so that we can list the citation on this page.

Alternative products to Anti-PKC delta Antibody (A98566)

Proteins predicted to interact with PKC delta

Predicted protein interactions based upon String database. Revelancy score correlates with probability of interaction.
98.3% Relevancy Score
96.7% Relevancy Score
96.6% Relevancy Score
96.6% Relevancy Score
96.6% Relevancy Score
96.2% Relevancy Score
95.5% Relevancy Score
95.2% Relevancy Score
94.9% Relevancy Score